











































以下是引用天南地北在2007-7-10 17:47:00的发言:[br][br]






















































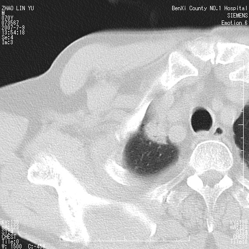
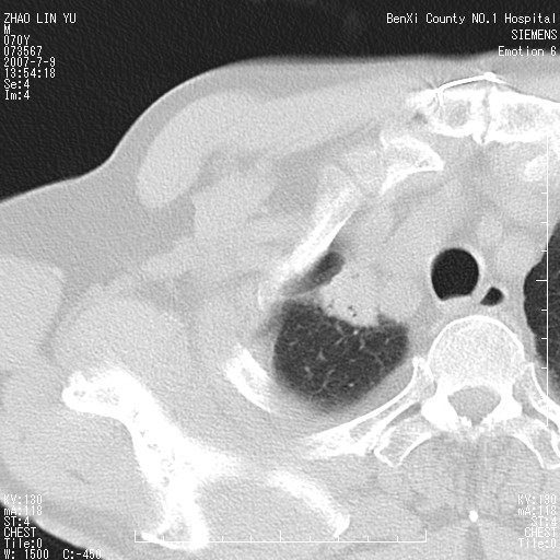
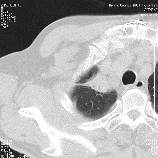
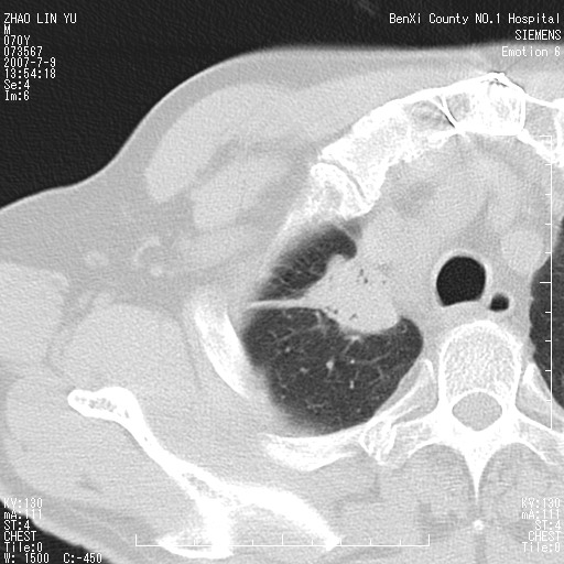
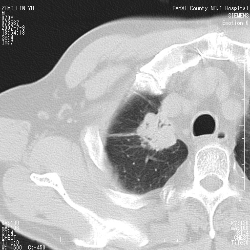
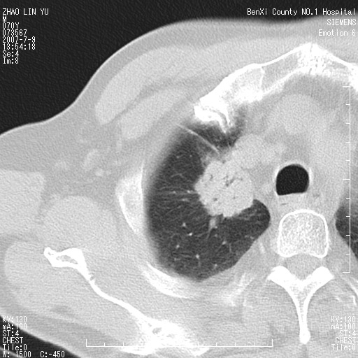
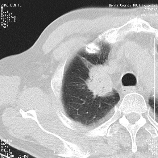
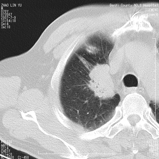
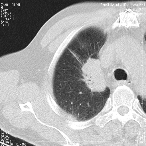
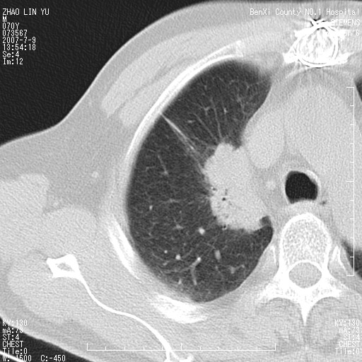
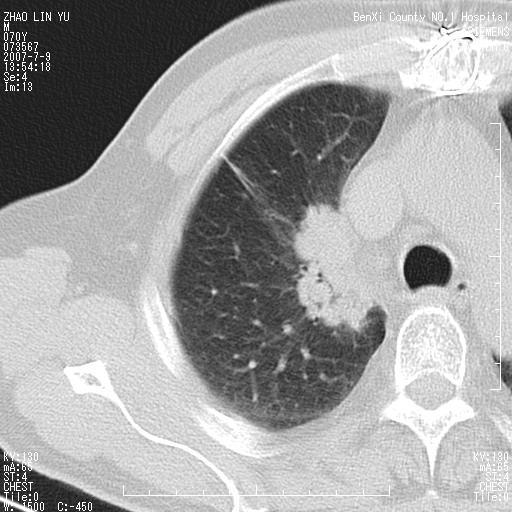
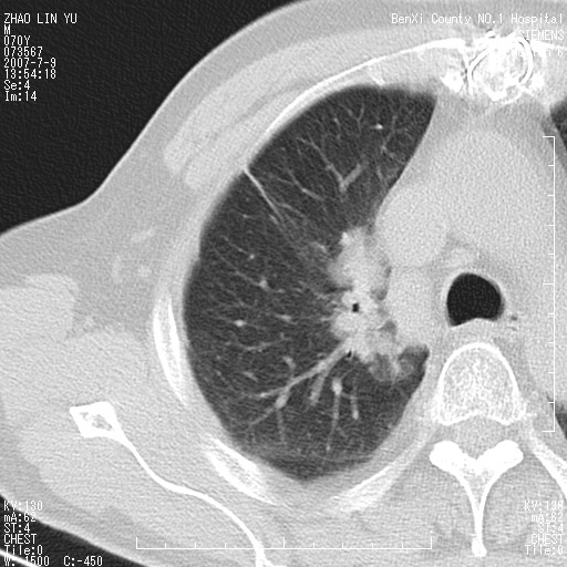
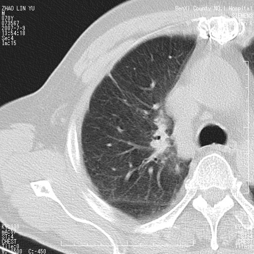
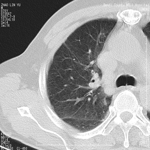
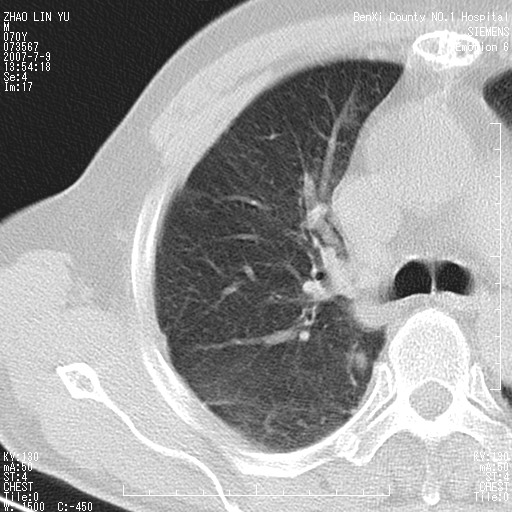
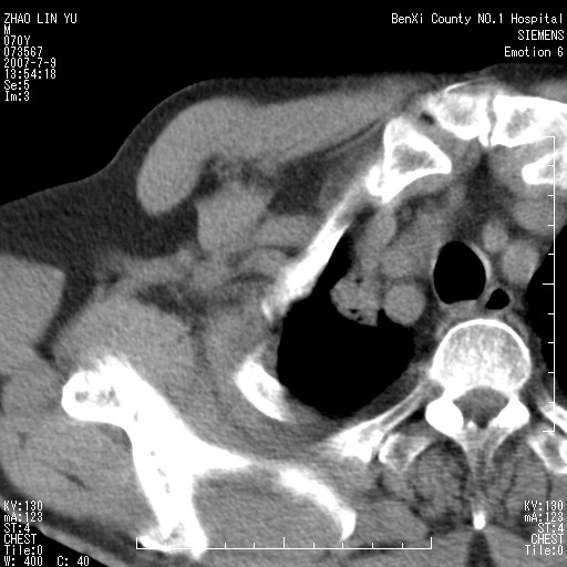
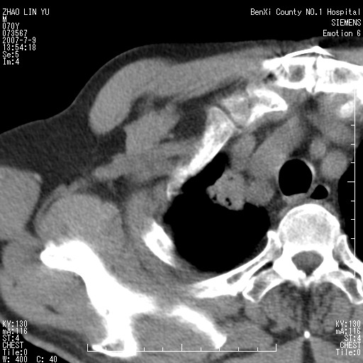
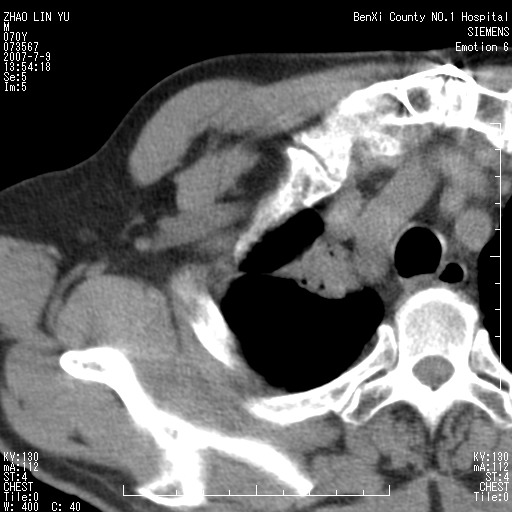
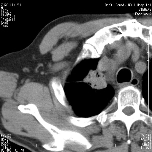
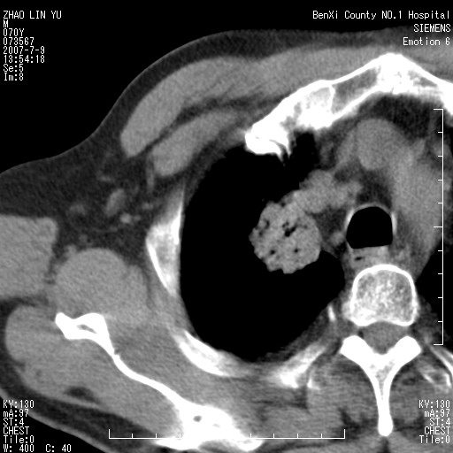
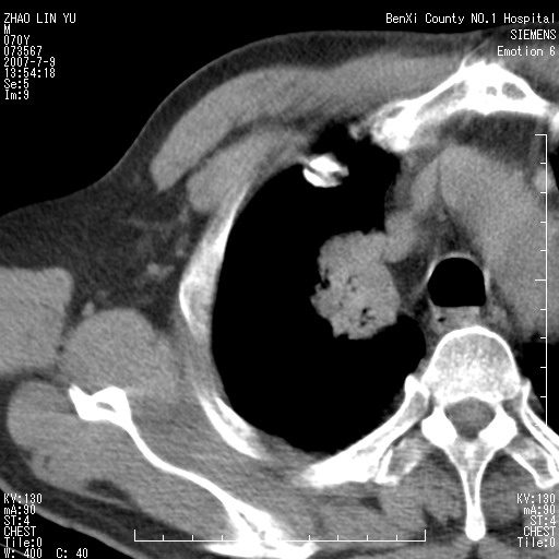
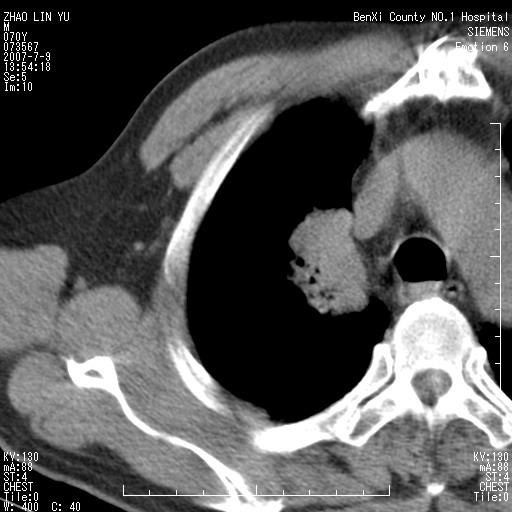
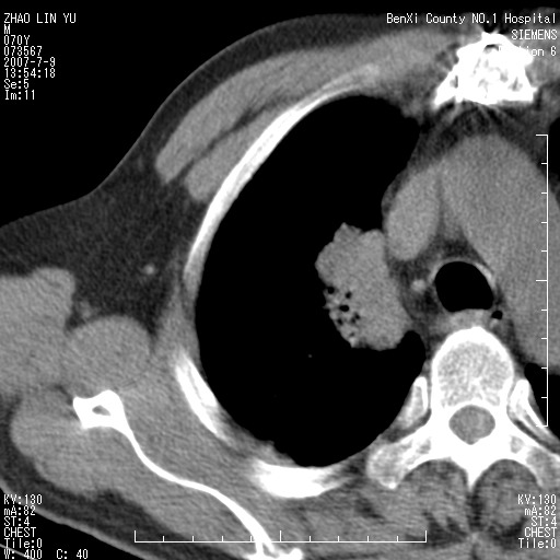
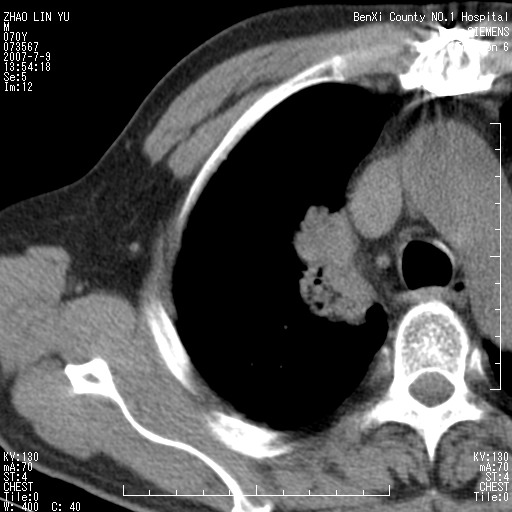
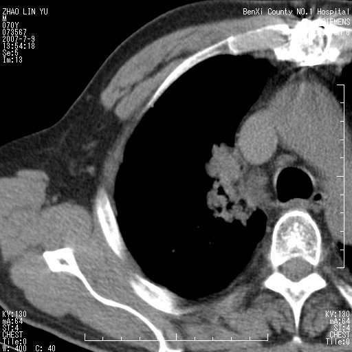
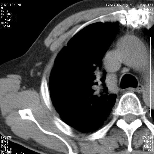
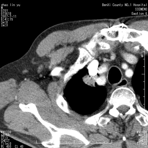
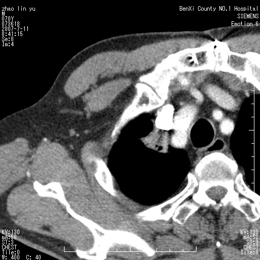
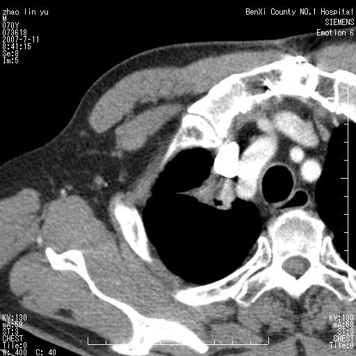
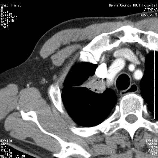
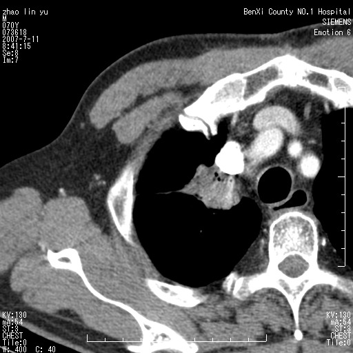
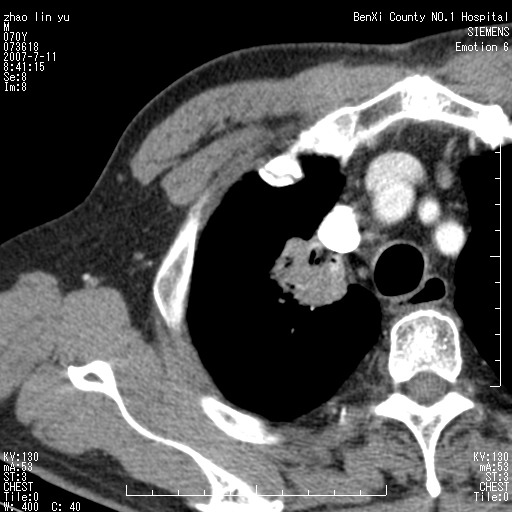
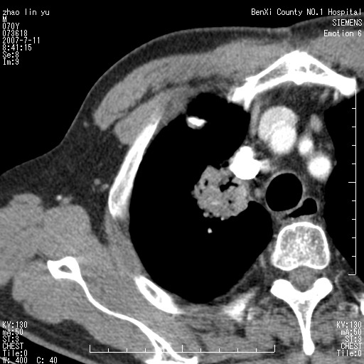
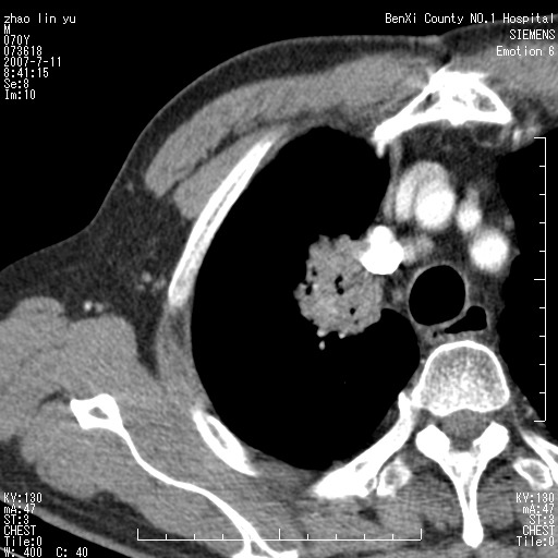
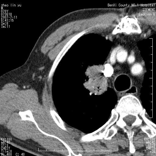
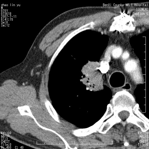
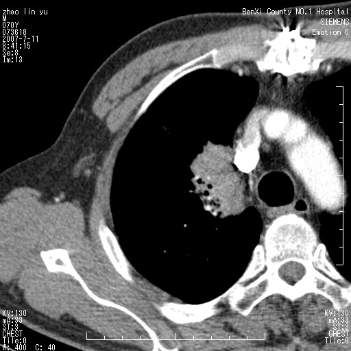
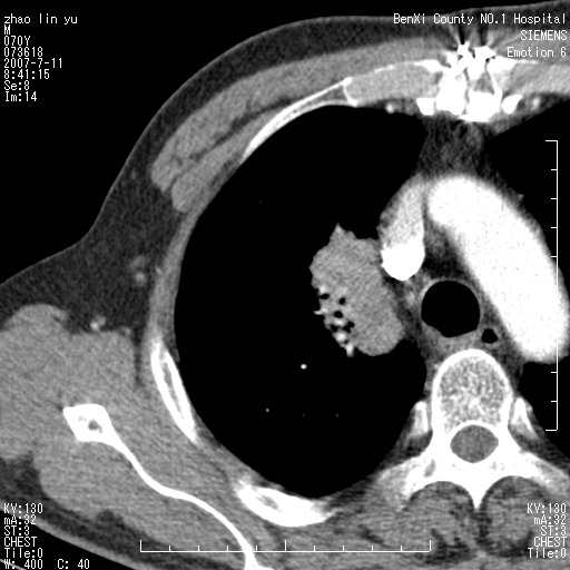
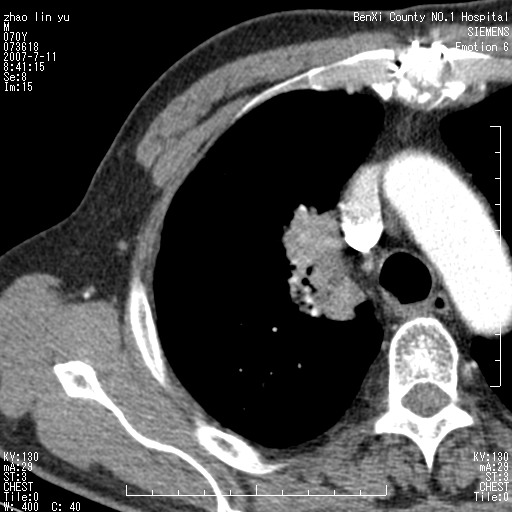
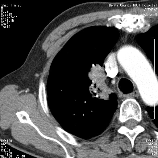
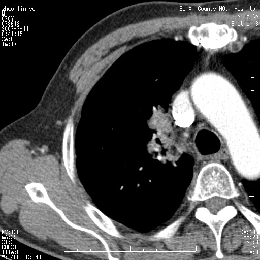
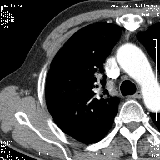
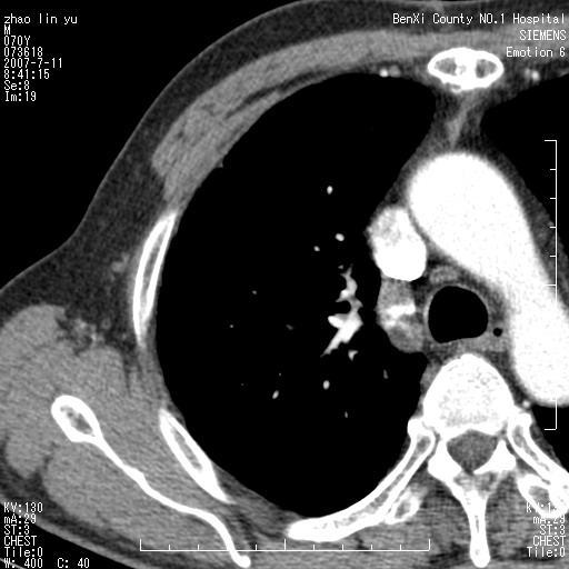
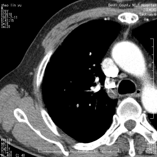
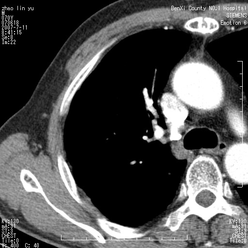
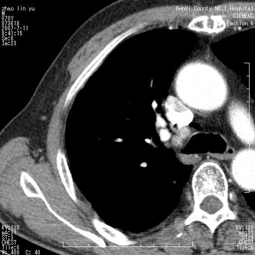
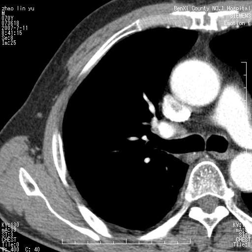
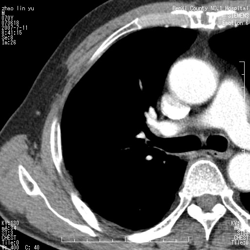
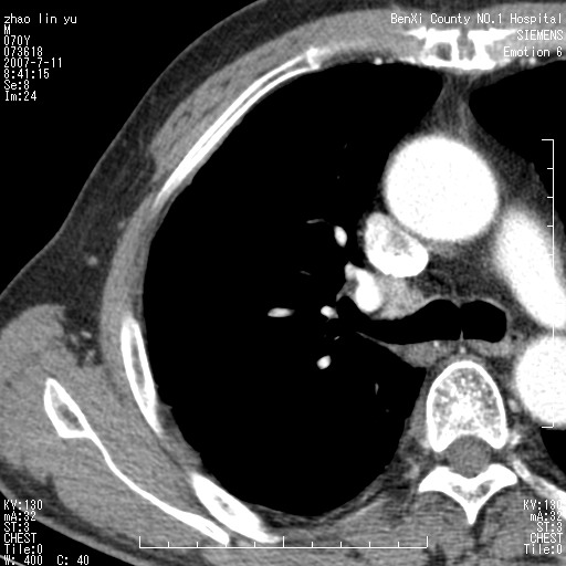
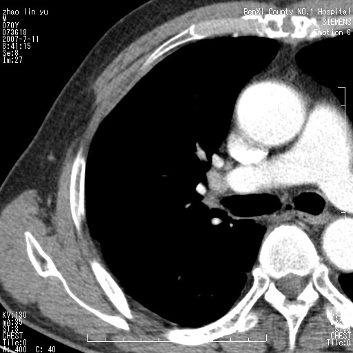
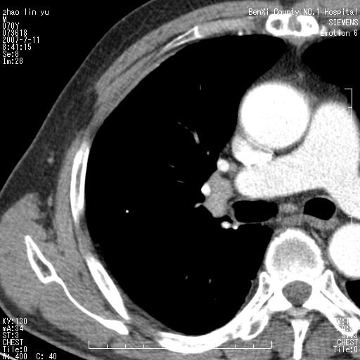
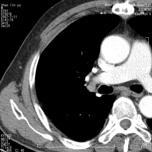
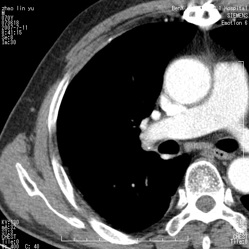
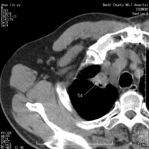
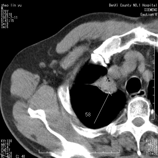
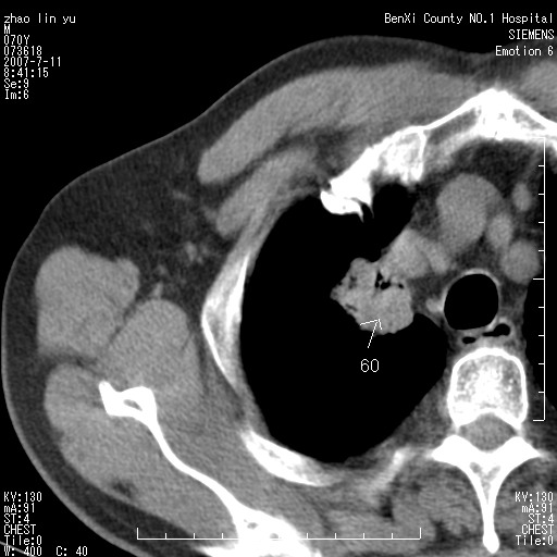
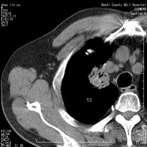
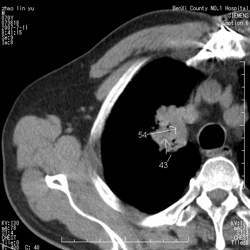
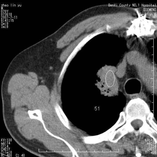
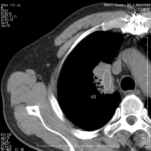
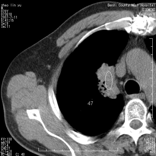
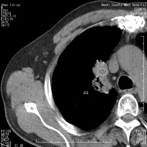
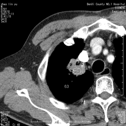
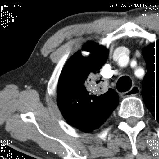
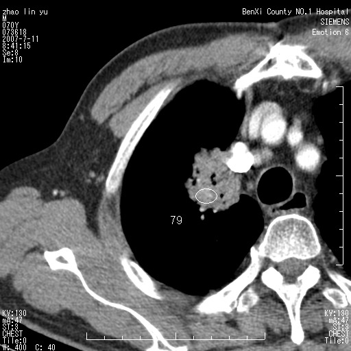
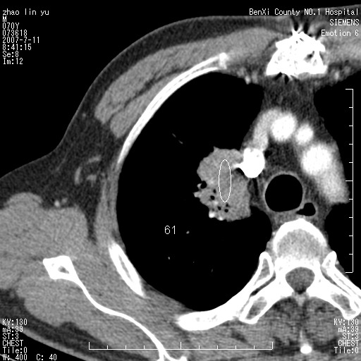
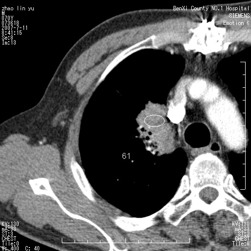
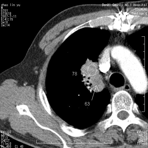
以下是引用王靖旗在2007-7-10 17:12:00的发言:[br] 男、70、咳嗽两个月,半年前换瓣手术,胸片未见异常,于昨天行x片发现右肺上野大片影,行ct扫描,这里是减薄图像,余肺正常。明天晚上会有增强扫描片,到时我会上传。[br][br] 冠状位请大家细看,应该是有意义的,[br][br] 请大家先看平扫发表意见。[br][br]
[br]
[br]
[br]
[br]
[br]
[br]
[br]
[br]
[br]
[br]
[br]
[br]
[br]
[br]
[br]
[br]
[br]
[br]
[br]
[br]
[br]
[br]
[br]
[br]
[br]
[br]冠状面[br]
[br]
[br]
[br]
[br]
[br]
[br]
[br]
[br]
[br]
[br]
[br]
[br]
[br]
[br]
[br]
[br][br][br]
[本贴已被 翁志蓬 于 2007-7-10 19:10:18 修改过]
以下是引用zhangzhongshou在2007-7-10 21:43:00的发言:[br]右肺上叶周围型肺癌,以孤立型细支气管肺泡癌可能性大。
| 欢迎光临 医影在线 (http://bbs.radida.com/bbs/) | Powered by Discuz! X3.2 |