

















以下是引用zsl6918在2007-7-11 9:23:00的发言:[br]心影增大考虑心衰所致心包积液、胸腔积液、肺水肿
以下是引用zsl6918在2007-7-11 9:23:00的发言:[br]心影增大考虑心衰所致心包积液、胸腔积液、肺水肿
以下是引用yanghaochen88在2007-7-11 9:00:00的发言:[br]冠心病、心包积液、胸水,心衰结合临床。
以下是引用dyqct在2007-7-11 10:07:00的发言:[br][quote]以下是引用zsl6918在2007-7-11 9:23:00的发言:[br]心影增大考虑心衰所致心包积液、胸腔积液、肺水肿
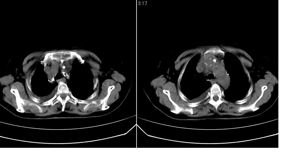
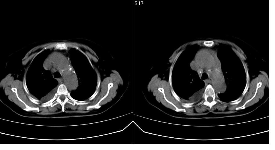
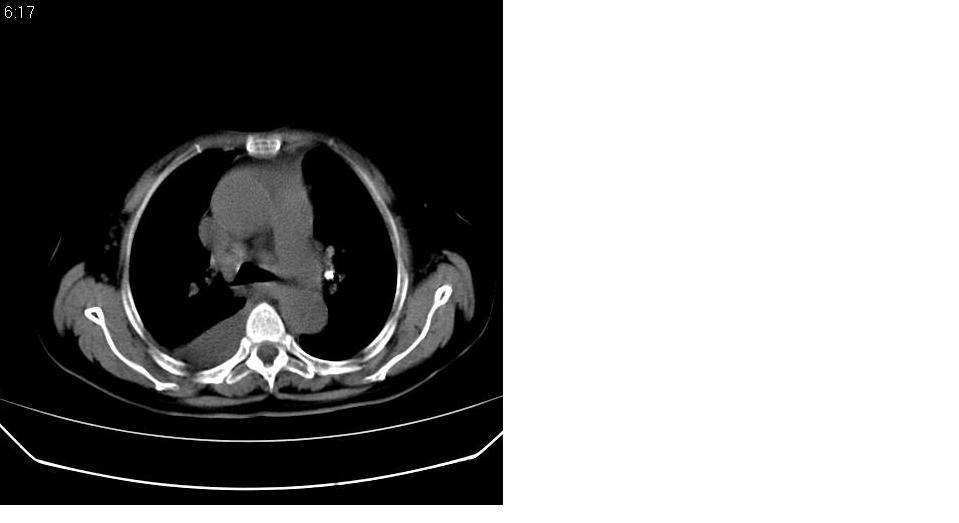
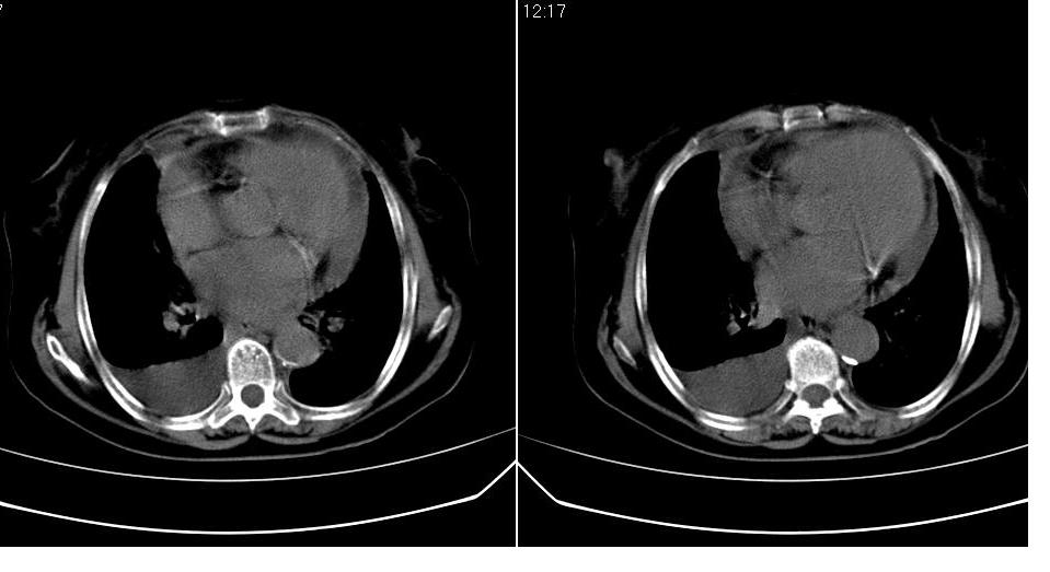
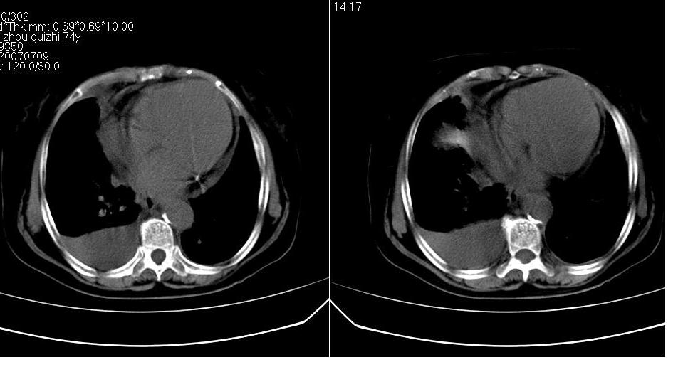
以下是引用zhangzhongshou在2007-7-11 13:16:00的发言:[br]1、冠状动脉钙化[br]2、心包积液[br]3、右侧胸腔积液[br]大家都考虑心衰,冠状动脉钙化、肺纹理增强,胸腔积液、心包积液,表面上是支持,但是为什么右侧有较多积液,左侧没有呢? 如果用结核性胸膜炎,并结核性心包炎也可解释,请楼主进一步提供临床资料。
以下是引用zrs在2007-7-11 14:40:00的发言:[br]支持心衰,心衰所至的胸腔积液常常是右侧多
以下是引用haha215315在2007-7-11 9:10:00的发言:[br]全心衰所致心包积液、胸腔积液、肺水肿。
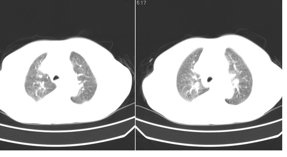
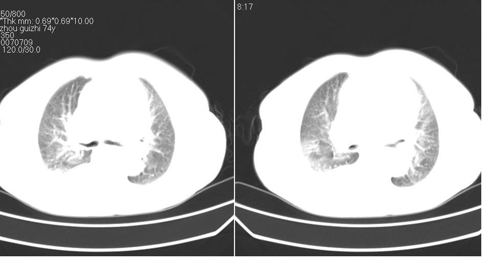
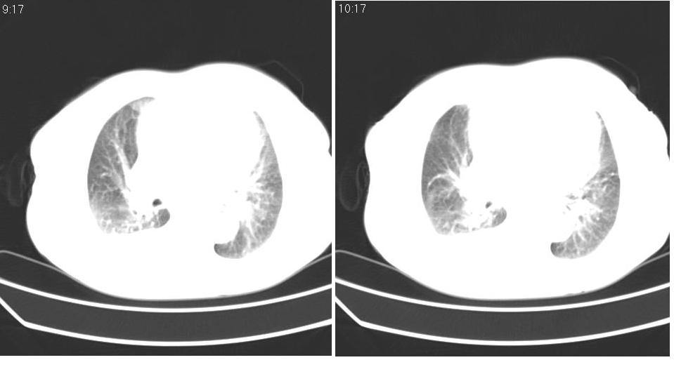
以下是引用liaizhi在2007-7-11 15:41:00的发言:[br]两肺纹理增粗,肺门影增大,气管支气管通畅。升主动脉壁及冠状动脉壁钙化。左房左室稍扩大。心包积液,胸腔积液。考虑冠心病并心功能不全,肺水肿,胸腔积液。
以下是引用zhangzhongshou在2007-7-11 13:16:00的发言:[br]1、冠状动脉钙化[br]2、心包积液[br]3、右侧胸腔积液[br]大家都考虑心衰,冠状动脉钙化、肺纹理增强,胸腔积液、心包积液,表面上是支持,但是为什么右侧有较多积液,左侧没有呢? 如果用结核性胸膜炎,并结核性心包炎也可解释,请楼主进一步提供临床资料。
以下是引用zsl6918在2007-7-11 9:23:00的发言:[br]心影增大考虑心衰所致心包积液、胸腔积液、肺水肿
| 欢迎光临 医影在线 (http://bbs.radida.com/bbs/) | Powered by Discuz! X3.2 |