

































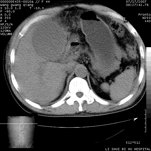
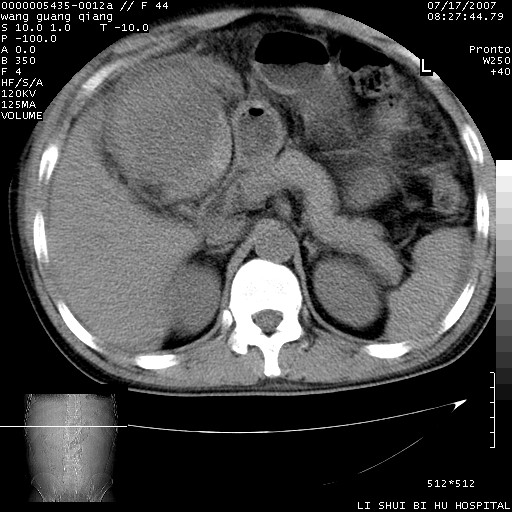
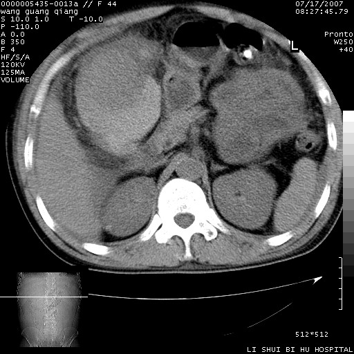
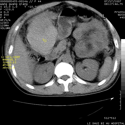
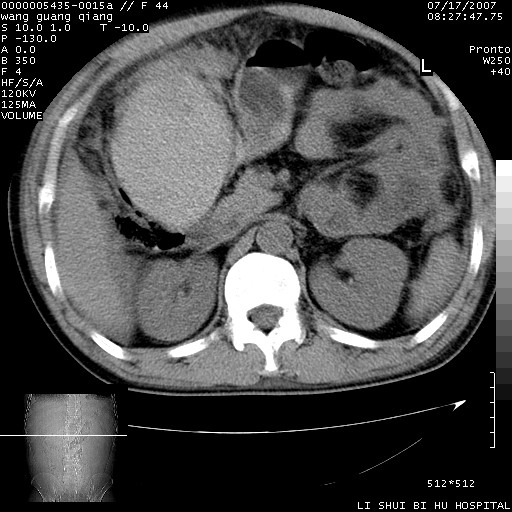
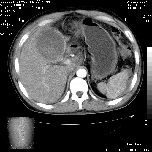
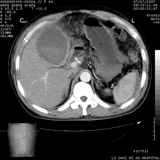
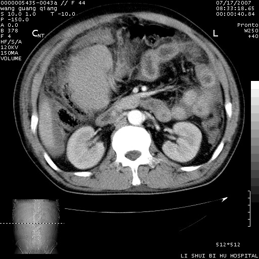
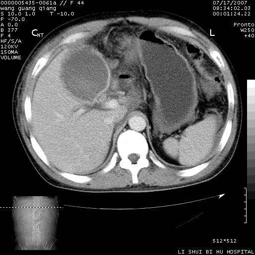
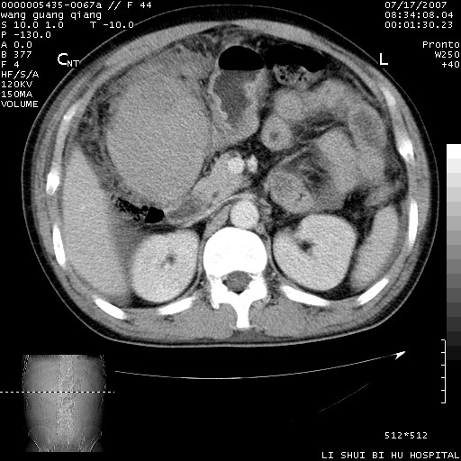
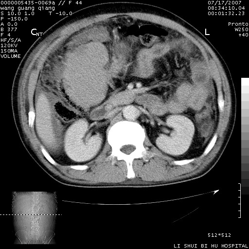
以下是引用dyqct在2007-7-18 10:46:00的发言:[br]胆囊明显增大,壁增厚,明显强化;后下方见大片高密度区,ct值68hu,无强化,周围见多数条纹状高密度影,边界不清。双膈下间隙、肝肾隐窝见带状及片状低密度区。[br]右侧胸壁后缘亦见新月形水样密度区。[br]考虑:1、急性胆囊炎伴周围出血;[br] 2、少量腹水、右侧少量胸腔积液。[br][br][本贴已被 dyqct 于 2007-7-18 10:48:47 修改过]
以下是引用dyqct在2007-7-18 10:46:00的发言:[br]胆囊明显增大,壁增厚,明显强化;后下方见大片高密度区,ct值68hu,无强化,周围见多数条纹状高密度影,边界不清。双膈下间隙、肝肾隐窝见带状及片状低密度区。[br]右侧胸壁后缘亦见新月形水样密度区。[br]考虑:1、急性胆囊炎伴周围出血;[br] 2、少量腹水、右侧少量胸腔积液。[br][br][本贴已被 dyqct 于 2007-7-18 10:48:47 修改过]
以下是引用dyqct在2007-7-18 10:46:00的发言:[br]胆囊明显增大,壁增厚,明显强化;后下方见大片高密度区,ct值68hu,无强化,周围见多数条纹状高密度影,边界不清。双膈下间隙、肝肾隐窝见带状及片状低密度区。[br]右侧胸壁后缘亦见新月形水样密度区。[br]考虑:1、急性胆囊炎伴周围出血;[br] 2、少量腹水、右侧少量胸腔积液。[br][br][本贴已被 dyqct 于 2007-7-18 10:48:47 修改过]
以下是引用dyqct在2007-7-18 10:46:00的发言:[br]胆囊明显增大,壁增厚,明显强化;后下方见大片高密度区,ct值68hu,无强化,周围见多数条纹状高密度影,边界不清。双膈下间隙、肝肾隐窝见带状及片状低密度区。[br]右侧胸壁后缘亦见新月形水样密度区。[br]考虑:1、急性胆囊炎伴周围出血;[br] 2、少量腹水、右侧少量胸腔积液。[br][br][本贴已被 dyqct 于 2007-7-18 10:48:47 修改过]
以下是引用jinning在2007-7-18 13:05:00的发言:[br]考虑:1、急性胆囊炎伴周围出血;[br] 2、少量腹水、右侧少量胸腔积液。
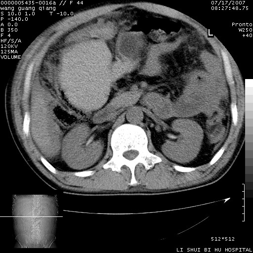
以下是引用dyqct在2007-7-18 10:46:00的发言:[br]胆囊明显增大,壁增厚,明显强化;后下方见大片高密度区,ct值68hu,无强化,周围见多数条纹状高密度影,边界不清。双膈下间隙、肝肾隐窝见带状及片状低密度区。[br]右侧胸壁后缘亦见新月形水样密度区。[br]考虑:1、急性胆囊炎伴周围出血;[br] 2、少量腹水、右侧少量胸腔积液。[br][br][本贴已被 dyqct 于 2007-7-18 10:48:47 修改过]
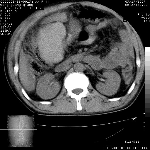
以下是引用dyqct在2007-7-18 10:46:00的发言:[br]胆囊明显增大,壁增厚,明显强化;后下方见大片高密度区,ct值68hu,无强化,周围见多数条纹状高密度影,边界不清。双膈下间隙、肝肾隐窝见带状及片状低密度区。[br]右侧胸壁后缘亦见新月形水样密度区。[br]考虑:1、急性胆囊炎伴周围出血;[br] 2、少量腹水、右侧少量胸腔积液。[br][br][本贴已被 dyqct 于 2007-7-18 10:48:47 修改过]
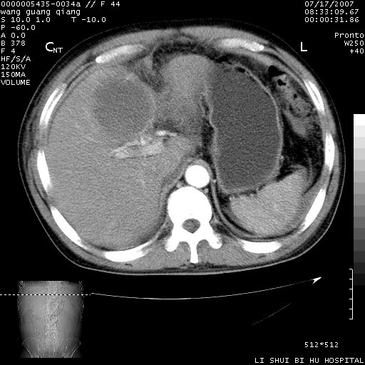
以下是引用dyqct在2007-7-18 10:46:00的发言:[br]胆囊明显增大,壁增厚,明显强化;后下方见大片高密度区,ct值68hu,无强化,周围见多数条纹状高密度影,边界不清。双膈下间隙、肝肾隐窝见带状及片状低密度区。[br]右侧胸壁后缘亦见新月形水样密度区。[br]考虑:1、急性胆囊炎伴周围出血;[br] 2、少量腹水、右侧少量胸腔积液。[br][br][本贴已被 dyqct 于 2007-7-18 10:48:47 修改过]
以下是引用dyqct在2007-7-18 10:46:00的发言:[br]胆囊明显增大,壁增厚,明显强化;后下方见大片高密度区,ct值68hu,无强化,周围见多数条纹状高密度影,边界不清。双膈下间隙、肝肾隐窝见带状及片状低密度区。[br]右侧胸壁后缘亦见新月形水样密度区。[br]考虑:1、急性胆囊炎伴周围出血;[br] 2、少量腹水、右侧少量胸腔积液。[br][br][本贴已被 dyqct 于 2007-7-18 10:48:47 修改过]
| 欢迎光临 医影在线 (http://bbs.radida.com/bbs/) | Powered by Discuz! X3.2 |