医影在线

标题: CT9081:仍然是右下腹占位,仍于明天公布结果 [打印本页]

作者: 李晓阳    时间: 2007-7-19 22:13
标题: CT9081:仍然是右下腹占位,仍于明天公布结果
(结果公布:http://www.radida.com/bbs/forum.php?mod=viewthread&tid=27477)
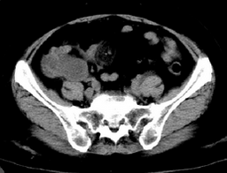
右侧下腹疼痛,二便常规正常,其他化验室检查无异常














[本贴已被 jiajie 于 2007-7-20 13:19:25 修改过]

作者: qiushi    时间: 2007-7-19 22:55
考虑阑尾周围脓肿,不排除类癌、假性粘液瘤。
           图象太小,肠道准备欠佳
作者: 快乐男生    时间: 2007-7-19 23:04
考虑阑尾炎伴周围脓肿形成?
作者: xhsmx    时间: 2007-7-19 23:25
支持阑尾周围脓肿。
作者: ailuanfei    时间: 2007-7-19 23:30
支持阑尾周围脓肿
作者: 同    时间: 2007-7-20 00:08
支持阑尾炎伴周围脓肿形成.
作者: 清清楚楚    时间: 2007-7-20 00:18
阑尾炎伴周围脓肿形成.支持
作者: dyqct    时间: 2007-7-20 00:21
考虑:阑尾炎伴周围脓肿形成?支持!!
作者: dzf    时间: 2007-7-20 00:36
考虑:阑尾炎伴周围脓肿形成?支持!!
作者: zhangkai    时间: 2007-7-20 00:42
考虑阑尾炎并周围脓肿形成。
作者: andymaomao    时间: 2007-7-20 00:54
标题: 回复:ct9081:仍然是右下腹占位,仍于明天公布结果
以下是引用同在2007-7-19 16:08:00的发言:[br]支持阑尾炎伴周围脓肿形成.


支持!
作者: jw-830    时间: 2007-7-20 01:41
支持阑尾炎伴周围脓肿形成.
作者: zyx168    时间: 2007-7-20 02:06
考虑:阑尾炎伴周围脓肿形成
作者: 天南地北    时间: 2007-7-20 02:29
标题: 回复:ct9081:仍然是右下腹占位,仍于明天公布结果
以下是引用dyqct在2007-7-19 16:21:00的发言:[br]考虑:阑尾炎伴周围脓肿形成?支持!!

作者: 李晓阳    时间: 2007-7-20 02:32
标题: 回复:ct9081:仍然是右下腹占位,仍于明天公布结果
1.脓肿应该周围脂肪层有所反应;2.该病变外侧缘光滑、但内侧缘毛糙界限不锐利,其下壁密度较高。可仔细观察下面两幅图像

作者: zjzjr    时间: 2007-7-20 02:36
考虑:阑尾炎伴周围脓肿形成?支持!!
作者: 还珠格格    时间: 2007-7-20 04:50
考虑:阑尾炎伴周围脓肿形成?支持!!
作者: 随缘的人    时间: 2007-7-20 05:02
考虑阑尾炎伴周围脓肿形成?
作者: 拾荒者    时间: 2007-7-20 05:31
右下腹阑尾区的囊性肿块影,边缘光整,考虑阑尾粘液囊肿可能。
作者: xulianj    时间: 2007-7-20 05:57
阑尾炎伴周围脓肿形成?支持!!
作者: 宝天曼    时间: 2007-7-20 06:02
支持阑尾周围脓肿。
作者: ysxyy    时间: 2007-7-20 06:11
标题: 回复:ct9081:仍然是右下腹占位,仍于明天公布结果
支持阑尾炎并阑尾周围脓肿形成;

作者: gaoshengjiang    时间: 2007-7-20 06:30
阑尾周围脓肿,不排除类癌、假性粘液瘤?
作者: yxwsd    时间: 2007-7-20 06:56
如果病史没有发热,血象高的话,就得考虑结肠癌或粘液瘤了。
作者: 22222222    时间: 2007-7-20 07:38
考虑阑尾炎并周围脓肿形成。
作者: 李晓阳    时间: 2007-7-20 16:10
标题: 回复:ct9081:仍然是右下腹占位,仍于明天公布结果
考虑阑尾炎并周围脓肿形成还是不充分的,请仔细观察9075和9081的图像吧。
ct9075:病变张力较大、边缘光滑、内壁光滑。

ct9081:病变分叶、外缘虽光滑但内壁毛糙可见结节。
作者: 李晓阳    时间: 2007-7-20 16:13
9081结果公布:腺样囊性癌。
作者: 碧医放射科    时间: 2007-7-20 16:15
考虑阑尾炎并周围脓肿形成。支持。
作者: 天南地北    时间: 2007-7-20 16:25
学习了
作者: qiuleiyu    时间: 2007-7-20 17:58
学习了,炎症性病变,似病变与周边渗出不相称.与临床不太相符合.腺样囊性癌.兰尾来源的吗?
作者: zxczxc    时间: 2007-7-20 18:59
囊尾周围脓肿?
作者: jinguoji    时间: 2007-7-20 19:30
结果收到,谢谢!
作者: woyaokaoyan    时间: 2007-7-20 23:51
恩,学习了,如果当时做增强,可能更好点
呵呵
作者: wx9999    时间: 2007-7-21 03:49
支持慢性阑尾周围脓肿。病使多长?
作者: 拾荒者    时间: 2007-7-21 04:23
腺样囊性癌,还是发生于阑尾的吧。诊断粘液囊肿也不算误诊。
  粘液囊肿是由于阑尾腔的闭塞,造成粘液的异常积聚,导致阑尾腔的扩大而形成的囊性肿块。阑尾的粘液囊肿可分为三种类型:1.单纯潴留囊肿。2.粘液囊腺瘤。3.粘液囊腺癌。
作者: yxwsd    时间: 2007-7-21 05:40
谢谢晓阳提供的好病例!学习了。
作者: jinning    时间: 2007-7-22 01:27
学习了
作者: jinning    时间: 2007-7-22 07:05
结果收到,学习了
作者: tanjiuzhe313    时间: 2007-7-22 07:54
粘液囊肿是由阑尾腔闭塞,造成粘液的异常积聚,导致阑尾腔的扩大形成的囊性肿块。
阑尾粘液囊肿分为三种类型,1、单纯潴留囊肿2、粘液囊腺瘤2、粘液囊腺癌。
学习了!
作者: 青莲居士    时间: 2007-7-22 19:16
支持阑尾炎伴周围脓肿形成
作者: 黄玉龙    时间: 2007-8-29 22:43
收到,谢谢!




欢迎光临 医影在线 (http://bbs.radida.com/bbs/) Powered by Discuz! X3.2