医影在线
标题: PED0273:5岁,左耳流脓痛疼一周,颅底骨质破坏 [打印本页]
作者: xclzq_910 时间: 2007-7-21 17:40
标题: PED0273:5岁,左耳流脓痛疼一周,颅底骨质破坏
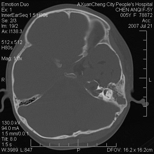
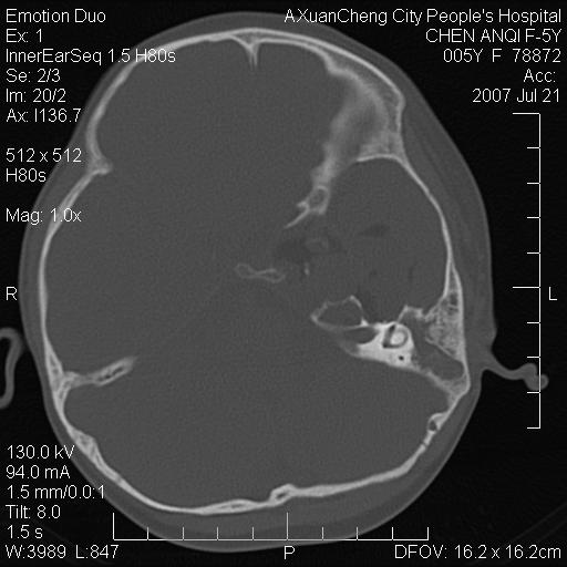
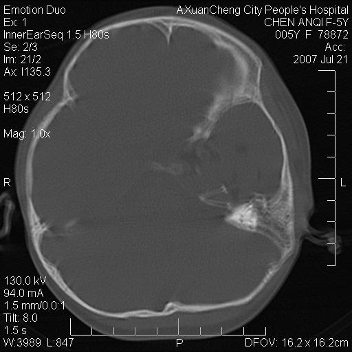
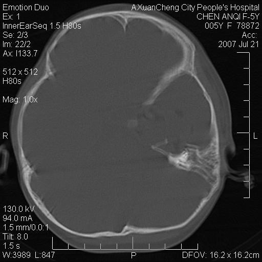
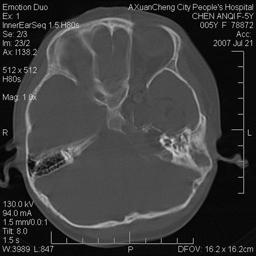
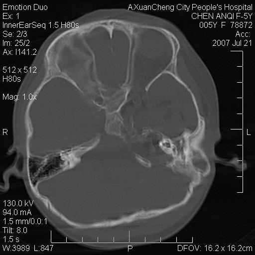
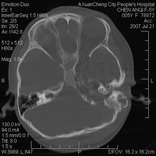
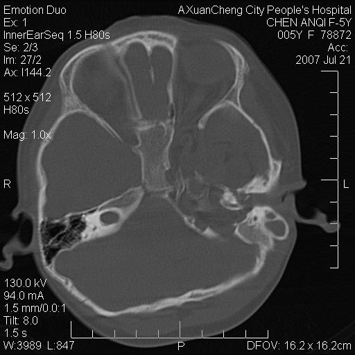
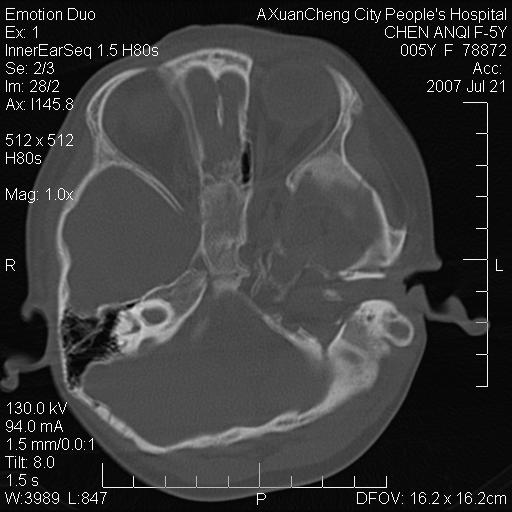
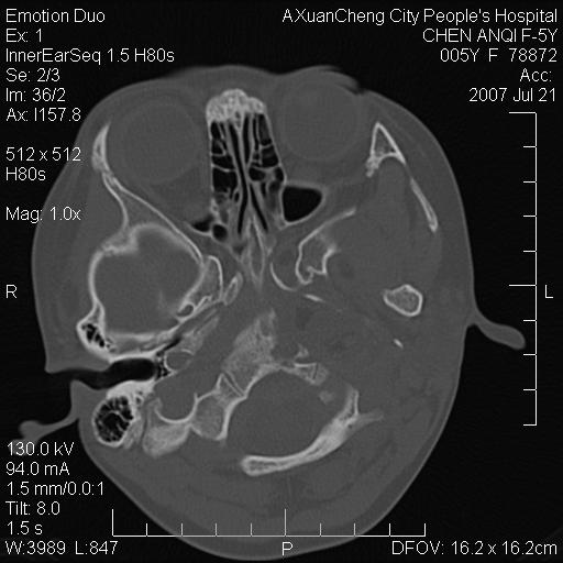
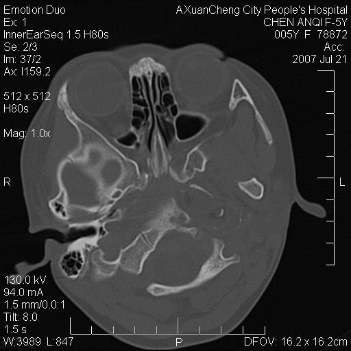
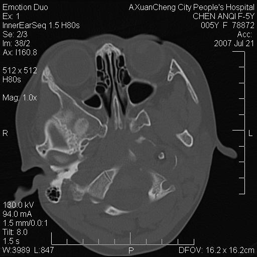
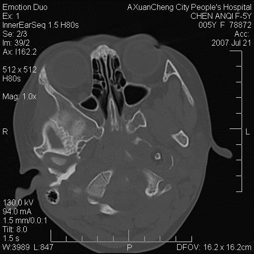
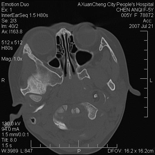
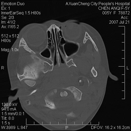
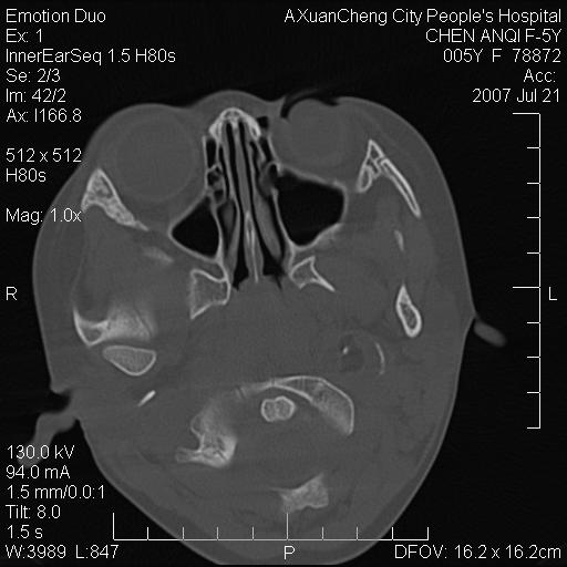
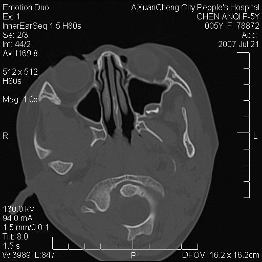
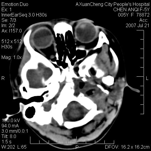
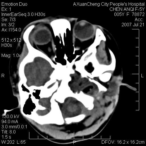
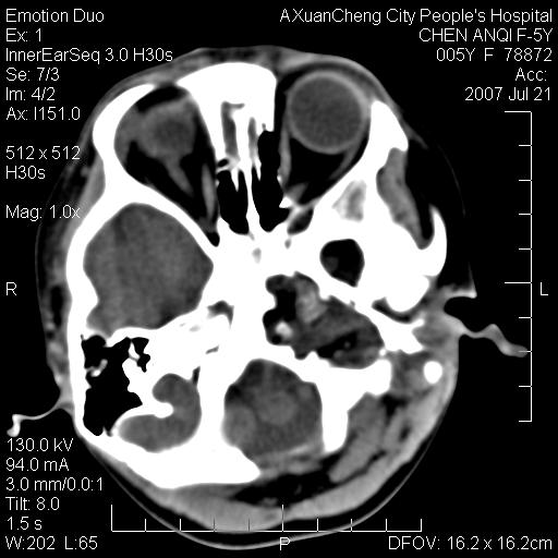
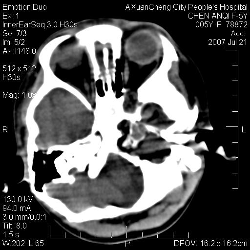
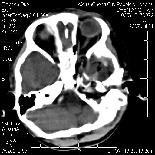
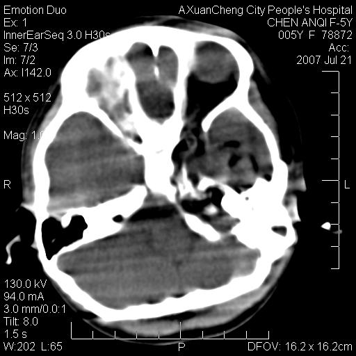
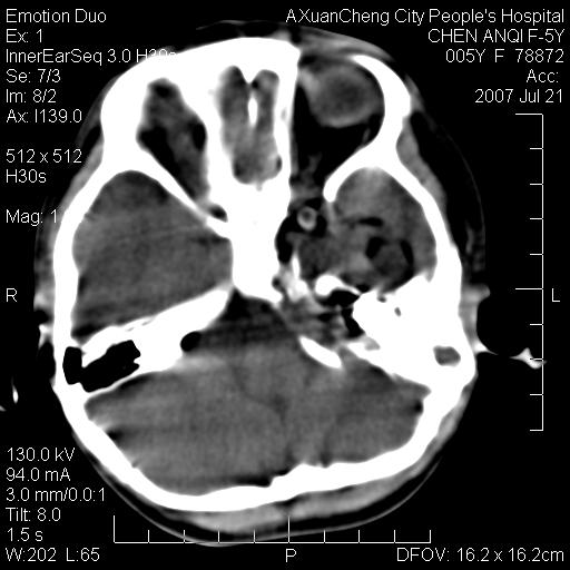
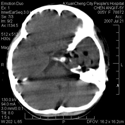
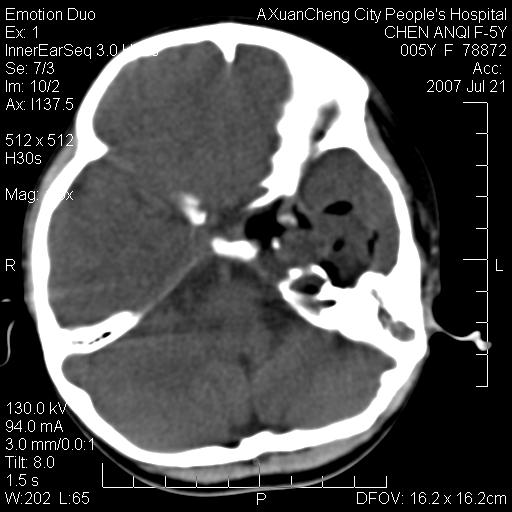
患儿5岁,左耳流脓痛疼一周,左外耳道肉芽组织填塞 软组织窗显示病灶内结节状低密度影为气体密度




































[本贴已被 xclzq_910 于 2007-7-21 9:41:23 修改过]
[本贴已被 jiajie 于 2007-7-21 13:48:23 修改过]
作者: qiushi 时间: 2007-7-21 18:05
1.左耳中耳炎. 2.考虑伴颅内感染.
颅底骨质破坏,建议增强扫描
感觉不象恶性的
作者: 医博云天 时间: 2007-7-21 18:05
伪影啊???
作者: doc张 时间: 2007-7-21 18:14
胆质瘤.
作者: hszhoupeng 时间: 2007-7-21 18:38
考虑中耳乳突炎并胆脂瘤形成可能。
作者: jiangjing 时间: 2007-7-21 18:52
考虑化脓性感染或脊索瘤伴化脓性中耳炎。
作者: liaizhi 时间: 2007-7-21 19:00
左侧中耳炎并胆脂瘤,左颞骨岩部骨质破坏并颅内感染积气。
作者: luochengyi 时间: 2007-7-21 20:38
标题: 回复:颅底骨质破坏
以下是引用liaizhi在2007-7-21 11:00:00的发言:[br]左侧中耳炎并胆脂瘤,左颞骨岩部骨质破坏并颅内感染积气。
作者: zjzjr 时间: 2007-7-21 21:06
考虑化脓性中耳乳突炎伴胆脂肪瘤形成并左颞叶感染,不除外合并嗜酸性肉芽肿.
作者: 同 时间: 2007-7-22 00:28
考虑化脓性中耳乳突炎伴胆脂瘤形成合并左颞叶感染,不除外伴嗜酸性肉芽肿.
作者: 天南地北 时间: 2007-7-22 00:41
标题: 回复:ped0273:5岁,左耳流脓痛疼一周,颅底骨质破坏
以下是引用zjzjr在2007-7-21 13:06:00的发言:[br]考虑化脓性中耳乳突炎伴胆脂肪瘤形成并左颞叶感染,不除外合并嗜酸性肉芽肿.
作者: jinning 时间: 2007-7-22 02:13
考虑中耳乳突炎并胆脂瘤形成可能
作者: qiushi 时间: 2007-7-22 04:38
补充:腺样体肥大.
作者: haha215315 时间: 2007-7-22 18:02
左侧中耳炎并胆脂瘤,左颞骨岩部骨质破坏并颅内感染积气。
作者: 宝天曼 时间: 2007-7-23 15:11
标题: 回复:ped0273:5岁,左耳流脓痛疼一周,颅底骨质破坏
以下是引用同在2007-7-21 16:28:00的发言:[br]考虑化脓性中耳乳突炎伴胆脂瘤形成合并左颞叶感染,不除外伴嗜酸性肉芽肿.
作者: 雪山飞狐 时间: 2007-9-5 06:43
标题: 回复:ped0273:5岁,左耳流脓痛疼一周,颅底骨质破坏
以下是引用liaizhi在2007-7-21 11:00:00的发言:[br]左侧中耳炎并胆脂瘤,左颞骨岩部骨质破坏并颅内感染积气。
作者: qjg1040 时间: 2007-9-6 09:00
标题: 回复:ped0273:5岁,左耳流脓痛疼一周,颅底骨质破坏
以下是引用haha215315在2007-7-22 10:02:00的发言:[br]左侧中耳炎并胆脂瘤,左颞骨岩部骨质破坏并颅内感染积气。
作者: jinguoji 时间: 2007-12-10 23:29
左侧中耳炎并胆脂瘤,左颞骨岩部骨质破坏并颅内感染积气。
作者: yuhongjun 时间: 2010-5-3 14:19
考虑化脓性中耳乳突炎伴胆脂肪瘤形成并左颞叶感染,不除外合并嗜酸性肉芽肿.
| 欢迎光临 医影在线 (http://bbs.radida.com/bbs/) |
Powered by Discuz! X3.2 |