医影在线
标题: X2552:膝关节片,请大家讨论 [打印本页]
作者: 潘X 时间: 2007-7-23 21:30
标题: X2552:膝关节片,请大家讨论
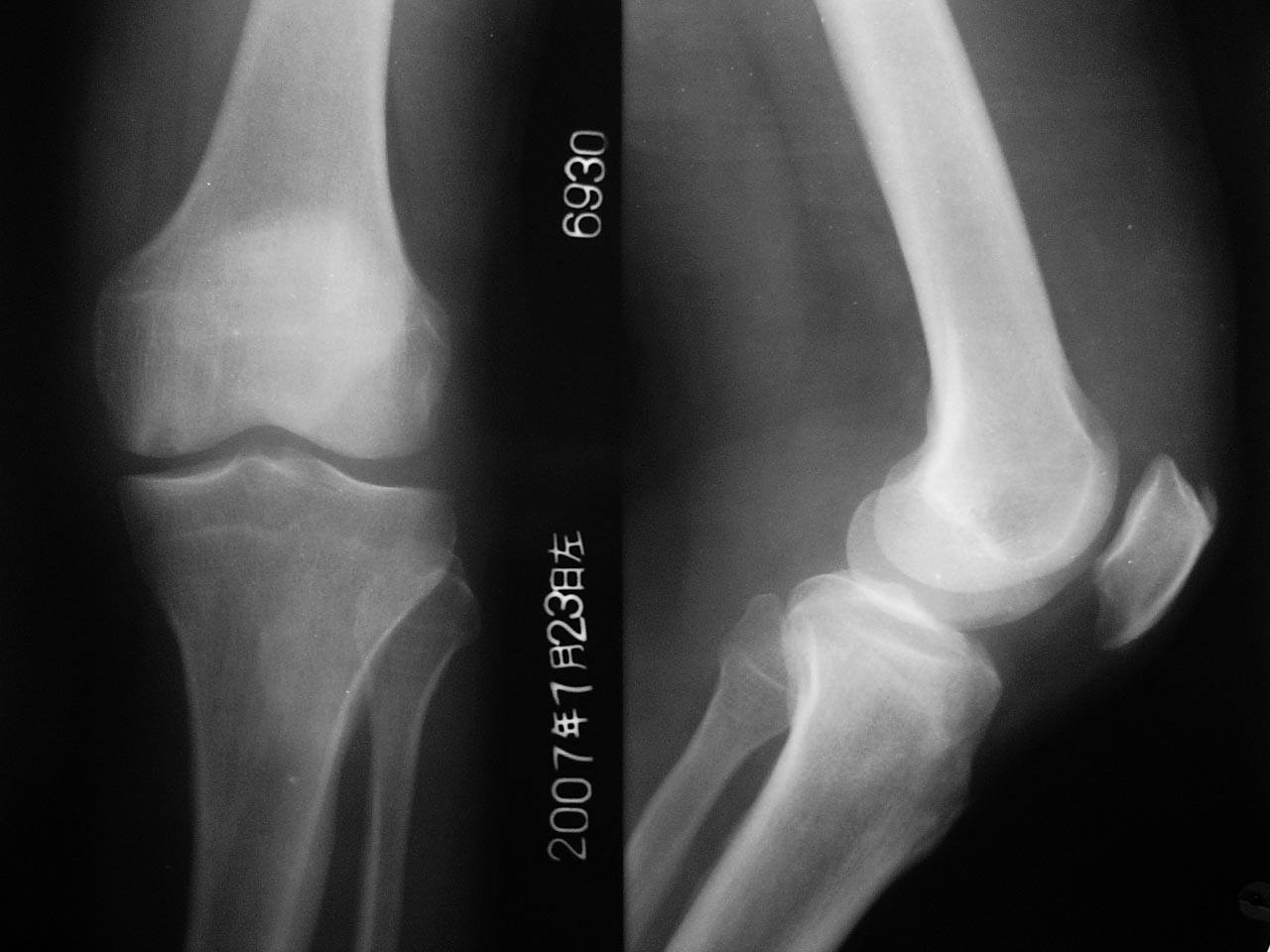
男,65岁,左膝关节痛疼半年,软组织稍肿,活动尚可。

[本贴已被 jiajie 于 2007-7-23 19:38:49 修改过]
[本贴已被 zhw974247 于 2007-7-24 6:55:51 修改过]
作者: liaizhi 时间: 2007-7-23 22:21
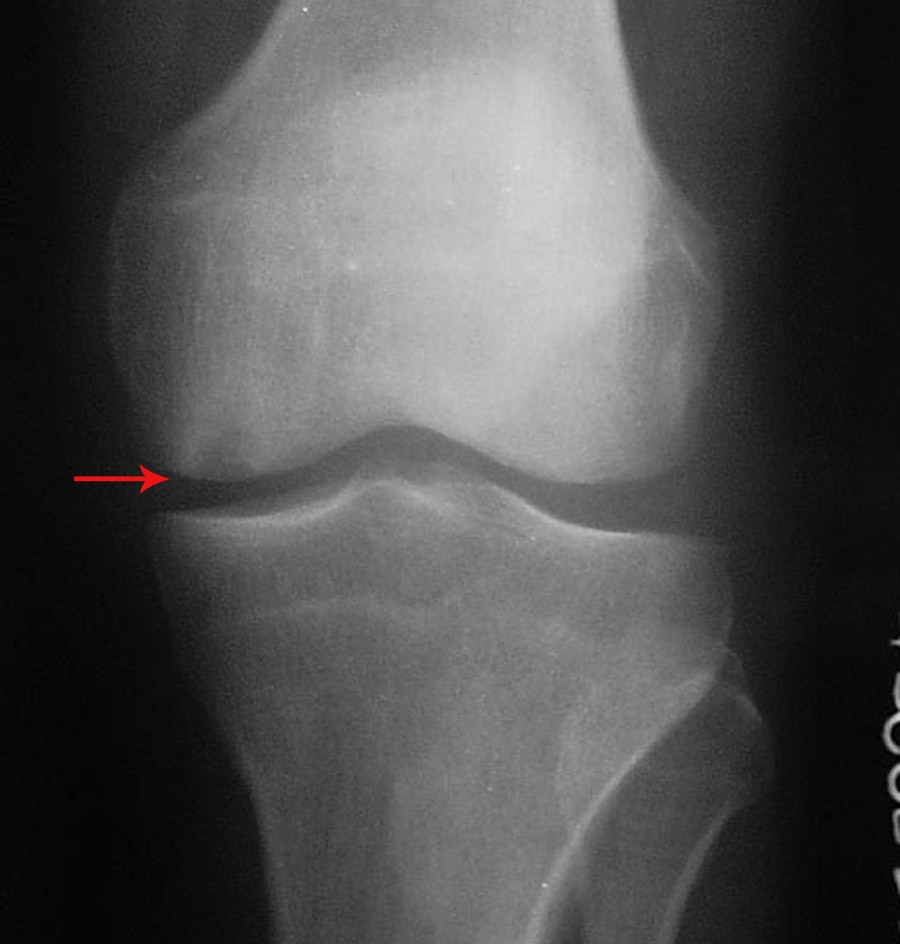
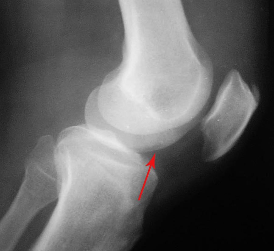
1髌骨前上缘骨刺。
作者: 小初学者 时间: 2007-7-24 00:20
标题: 回复:膝关节片,请大家讨论
1髌骨前上缘骨刺
2考虑剥脱性骨炎,建议mri检查


作者: andymaomao 时间: 2007-7-24 00:34
1.左股四头肌肌腱钙化;
2.左股骨内侧髁下(关节面)局限性骨质密度减低区,性质?加上关节软组织肿胀,最好作进一步检查(mri)。
作者: jiangjing 时间: 2007-7-24 00:58
1髌骨前上缘骨刺
2左股骨内侧髁下(关节面)局限性骨质密度减低区考虑剥脱性骨炎,建议mri检
作者: zxczxc 时间: 2007-7-24 01:00
左髌骨前上方股四头肌]韧带钙化。
左股骨下内侧髁剥脱性骨炎。
作者: 余辉 时间: 2007-7-24 01:08
左股骨内侧髁病变不排除剥脱性骨炎,必要时mri
作者: 串串虫 时间: 2007-7-24 02:02
标题: 回复:膝关节片,请大家讨论

作者: dyqct 时间: 2007-7-24 02:17
考虑:1、左侧股骨内髁剥脱性骨软骨炎;
2、髌骨前上缘骨刺。
作者: gjj6818 时间: 2007-7-24 02:55
髌骨骨刺.剥脱性骨软骨炎?
作者: 清清楚楚 时间: 2007-7-24 03:41
左膝关节推行性变.
作者: drzhang8888 时间: 2007-7-24 03:41
.剥脱性骨软骨炎
作者: 471792 时间: 2007-7-24 03:48
剥脱性骨软骨炎。
作者: liruixing 时间: 2007-7-24 04:27
考虑左侧膝关节退行性变骨关节病软骨下囊变
作者: 秋叶落无声 时间: 2007-7-24 04:33
支持剥脱性骨软骨炎
作者: 孟大夫 时间: 2007-7-24 04:48
左股骨内侧髁病变不排除剥脱性骨炎,髌骨后缘不平,髌骨软化症
作者: ZHANGZHONGSHOU 时间: 2007-7-24 05:28
还是退行性变吧
作者: jinning 时间: 2007-7-24 06:19
1髌骨前上缘骨刺
2左股骨内侧髁下(关节面)局限性骨质密度减低区考虑剥脱性骨炎,建议mri检
作者: 古寨悠幽 时间: 2007-7-24 06:19
髌骨骨刺.剥脱性骨软骨炎
作者: xulianj 时间: 2007-7-24 06:30
考虑:1、左侧股骨内髁剥脱性骨软骨炎;
2、髌骨前上缘骨刺。
作者: 天南地北 时间: 2007-7-24 07:05
标题: 回复:x2252:膝关节片,请大家讨论
以下是引用dyqct在2007-7-23 18:17:00的发言:[br]考虑:1、左侧股骨内髁剥脱性骨软骨炎;[br] 2、髌骨前上缘骨刺。
作者: njgnh 时间: 2007-7-24 07:36
应该是股四头肌骨化,剥脱性骨炎
作者: yuhongjun 时间: 2007-7-24 12:25
左髌骨前上方股四头肌]韧带钙化。
左股骨下内侧髁剥脱性骨炎。
作者: zhw974247 时间: 2007-7-24 14:58
1、左髌骨前上方股四头肌]韧带钙化。
2、左股骨下内侧髁剥脱性骨炎。
作者: shr03623 时间: 2007-7-24 18:57
髌骨前上缘骨刺
作者: shiqingfa 时间: 2007-7-24 20:40
考虑:1、左侧股骨内髁剥脱性骨软骨炎;
2、髌骨前上缘骨刺。
作者: zhangding589343 时间: 2007-7-24 20:44
1、左侧股骨内髁剥脱性骨软骨炎;
2、髌骨前上缘骨刺。
作者: zhangxiangjun 时间: 2007-7-24 23:09
考虑:1、左侧股骨内髁剥脱性骨软骨炎;
2、髌骨前上缘骨刺。支持@!
作者: LIHAIXUE800 时间: 2007-7-25 00:12
考虑:1、左侧股骨内髁剥脱性骨软骨炎并股胫外侧关节间隙游离体形成;
2、髌骨前上缘股四头肌腱骨化。
作者: mwh9116 时间: 2007-7-25 00:24
这么大年龄了,还是应该考虑退变并假性囊肿形成吧。
作者: wqs571018 时间: 2007-7-25 04:44
考虑:1、左侧股骨内髁剥脱性骨软骨炎;
2、髌骨前上缘骨刺。
作者: 眼睛 时间: 2007-7-25 05:02
考虑:1、左侧股骨内髁剥脱性骨软骨炎;
2、髌骨前上缘骨刺。
作者: yrjw 时间: 2007-7-25 05:46
支持剥脱性骨软骨炎
作者: luoxinjun 时间: 2007-7-25 06:19
感谢各位,学习了不少知识!
作者: 西凡 时间: 2007-7-25 08:02
左膝关节退行性变
作者: 雪山飞狐 时间: 2007-7-25 17:07
标题: 回复:x2552:膝关节片,请大家讨论
以下是引用zxczxc在2007-7-23 17:00:00的发言:[br]左髌骨前上方股四头肌]韧带钙化。[br]左股骨下内侧髁剥脱性骨炎。
作者: zhangkening 时间: 2007-7-26 04:56
我支持3楼的意见.
作者: ssmmxx 时间: 2007-7-27 01:28
1、左髌骨前上方股四头肌]韧带钙化。
2、左股骨下内侧髁剥脱性骨炎。
作者: zjzjr 时间: 2007-7-27 04:55
考虑:1、左侧股骨内髁剥脱性骨软骨炎;
2、髌骨前上缘骨刺。
作者: xieximing 时间: 2007-7-27 07:06
支持楼上
作者: 天山影士 时间: 2007-7-28 09:56
标题: 回复:x2552:膝关节片,请大家讨论
以下是引用zjzjr在2007-7-26 20:55:00的发言:[br]考虑:1、左侧股骨内髁剥脱性骨软骨炎;[br] 2、髌骨前上缘骨刺。
作者: YRJW 时间: 2007-8-30 06:11
1、左侧股骨内髁剥脱性骨软骨炎;
2、髌骨前上缘骨刺。
作者: shibing 时间: 2013-5-8 07:58
考虑:1、左侧股骨内髁剥脱性骨软骨炎;
2、髌骨前上缘骨刺。
作者: zqzwq 时间: 2013-5-8 09:26
1髌骨前上缘骨刺
2左股骨内侧髁下(关节面)局限性骨质密度减低区考虑剥脱性骨炎,建议mri检
| 欢迎光临 医影在线 (http://bbs.radida.com/bbs/) |
Powered by Discuz! X3.2 |