医影在线
标题: X2553:男,85岁。胸闷,咳嗽。 [打印本页]
作者: lijifeng5432 时间: 2007-7-24 02:32
标题: X2553:男,85岁。胸闷,咳嗽。
男,85岁。胸闷,咳嗽

[本贴已被 jiajie 于 2007-7-23 19:39:13 修改过]
[本贴已被 zhw974247 于 2007-7-24 6:55:11 修改过]
作者: gjj6818 时间: 2007-7-24 02:52
结核?
作者: 潘X 时间: 2007-7-24 02:53
标题: 胸片
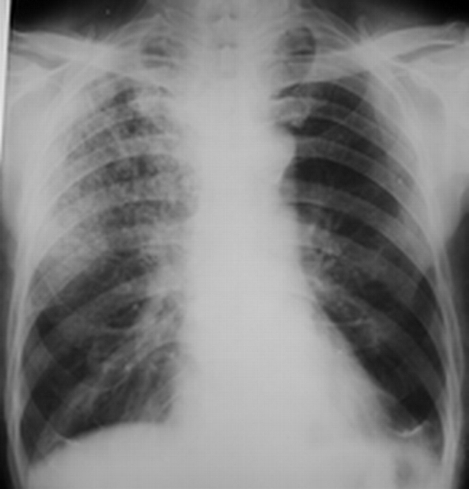
右上肺见小片状,斑点状及粟粒状阴影,其密度不均,边缘模糊。
考虑右上肺结核。
[emb18]
[本贴已被 潘x 于 2007-7-23 18:55:14 修改过]
作者: 清清楚楚 时间: 2007-7-24 03:43
考虑右上肺结核。支持
作者: hzhhh1105 时间: 2007-7-24 03:44
不知痰多否?痰的性状如何?若大量白色粘液痰还要考虑细支气管肺泡癌的可能性
作者: zxczxc 时间: 2007-7-24 04:18
右上肺继发型肺结核。
诊断依据,阴影多态性,分布在上叶,鉴别转移。
作者: zhengxh 时间: 2007-7-24 04:38
同意5楼的意见!
作者: 古寨悠幽 时间: 2007-7-24 06:08
不知痰多否?痰的性状如何?若大量白色粘液痰还要考虑细支气管肺泡癌的可能性
作者: lmldoc 时间: 2007-7-24 06:10
病史太简单了,估计要我的话还会问一下,这里就没办法了,
右上肺斑点状阴影,呈类似结节样,未见到明显的纤维索状及钙化影,肺门也无改变,从年龄来看,继发型肺tb应该会合并有纤维索状影及钙化影,所以我的意见:
1,支气管肺泡癌可能性大于右上肺继发型肺tb;
2;慢支并肺气肿。
建议:ct检查
作者: jinning 时间: 2007-7-24 06:18
1,支气管肺泡癌可能性大于右上肺继发型肺tb;
2;慢支并肺气肿。
建议:ct检查
作者: xulianj 时间: 2007-7-24 06:29
1,支气管肺泡癌可能性大于右上肺继发型肺tb;
2;慢支并肺气肿。
建议:ct检查
作者: 未见异常 时间: 2007-7-24 06:40
肺泡癌?结核?
作者: 宝天曼 时间: 2007-7-24 07:02
1,支气管肺泡癌可能性大于右上肺继发型肺tb;
2;慢支并肺气肿。
建议:ct检查
作者: 天南地北 时间: 2007-7-24 07:04
右上肺继发型肺结核
作者: yuhongjun 时间: 2007-7-24 12:36
1,细支气管肺泡癌?
2,阻塞性肺炎可能.建议ct
作者: jiangjing 时间: 2007-7-24 19:40
右上肺感染,请结合临床及ct检查
作者: ZHANGZHONGSHOU 时间: 2007-7-24 20:07
细支气管肺泡癌可能,建议ct检查。
作者: shiqingfa 时间: 2007-7-24 20:21
支气管肺泡癌可能,建议查痰,ct检查
作者: zhw974247 时间: 2007-7-24 20:21
右上肺见小片状,斑点状及粟粒状阴影,其密度不均,边缘模糊。
考虑1、右上肺结核。2、阻塞性肺炎待排。
作者: zhangxiangjun 时间: 2007-7-24 23:11
细支气管肺泡癌可能,建议ct检查。
作者: LIHAIXUE800 时间: 2007-7-25 00:08
双肺多发小结节状阴影,密度较高,以右上肺为著,至于双肺尖有无无法判断,可以考虑血播(硬结/钙化),但尘肺不能除外,追问职业接触史,另外看看肺尖有无病灶对诊断有帮.
作者: zhangkai 时间: 2007-7-25 00:30
右上中肺野见斑点状及条索样密度增高影,部分边缘较清楚,右下及左肺透亮度增加,肺门影不大。右上纵隔影增宽,边缘较模糊。
考虑:右上中肺感染性病变(结核可能性大)。建议作进一步检查。
作者: liangshusheng 时间: 2007-7-25 01:18
考虑右上肺结核
作者: elity69 时间: 2007-7-25 04:24
右上肺继发型肺结核
作者: yrjw 时间: 2007-7-25 05:34
考虑肺炎
作者: ydx_74 时间: 2007-7-25 07:32
右上肺继发型肺结核,为什么太多的人首先要考虑肺泡癌呢,要知道肺结核比肺泡癌高发数十倍
作者: 雪山飞狐 时间: 2007-7-25 17:18
标题: 回复:x2553:男,85岁。胸闷,咳嗽。
以下是引用zxczxc在2007-7-23 20:18:00的发言:[br]右上肺继发型肺结核。[br]诊断依据,阴影多态性,分布在上叶,鉴别转移。[br]
作者: dyqct 时间: 2007-7-25 17:56
考虑:右上肺继发性肺结核。
作者: pushaolin 时间: 2007-7-25 19:45
1,支气管肺泡癌可能
2.肺结核?
建议:ct检查
作者: zhangkening 时间: 2007-7-26 04:52
如果是肺泡癌的话那双肺都应该有呀,可是这个仅在右上肺有,如果是结核的话应该是斑片状改变,所以我还是考虑右上肺占位并阻塞性肺炎.
作者: weiyuefang 时间: 2007-7-26 19:34
右肺上野斑点。片状,条索状影,以叶间裂为界。首先考虑肺炎。
作者: ssmmxx 时间: 2007-7-27 01:24
考虑右上肺结核
建议ct
作者: zjzjr 时间: 2007-7-27 04:53
考虑:右上肺继发性肺结核。
作者: luochengyi 时间: 2007-7-27 06:53
考虑右上肺结核。
作者: xieximing 时间: 2007-7-27 07:40
右上肺结核 慢支肺气肿
作者: 99999999 时间: 2007-7-28 23:39
结核
作者: yrjw 时间: 2007-8-1 03:04
细支气管肺泡癌
作者: ml2007 时间: 2007-8-10 05:22
考虑右上肺结核
作者: a13085518515 时间: 2007-8-13 19:11
大叶性肺炎
作者: shibing 时间: 2013-4-2 07:57
右上肺结核。
| 欢迎光临 医影在线 (http://bbs.radida.com/bbs/) |
Powered by Discuz! X3.2 |