医影在线
标题: PED0280:女性,10岁,左小腿无诱因疼痛,一般状况良好,无发热乏 [打印本页]
作者: 42573734 时间: 2007-7-24 02:35
标题: PED0280:女性,10岁,左小腿无诱因疼痛,一般状况良好,无发热乏
请会诊


[本贴已被 jiajie 于 2007-7-23 19:40:22 修改过]
作者: gjj6818 时间: 2007-7-24 02:49
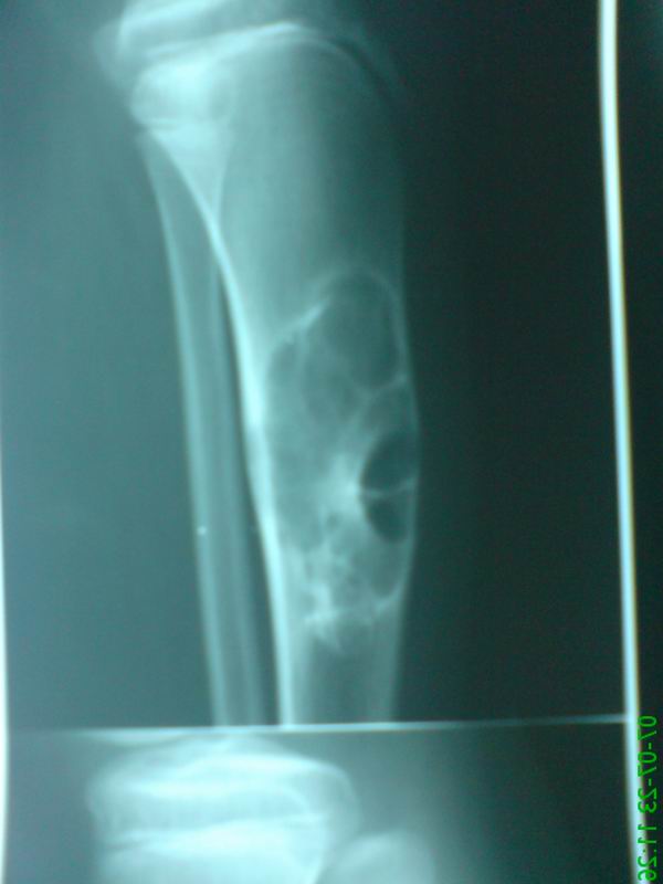
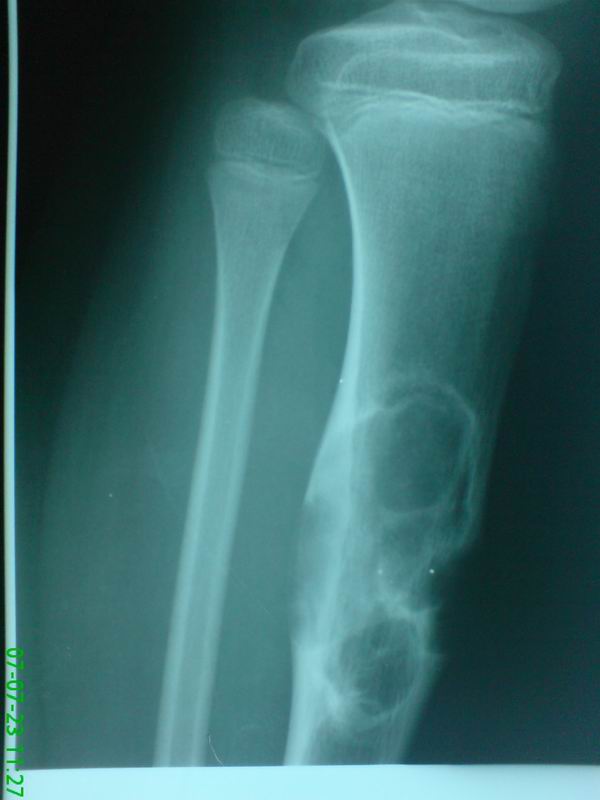
发生在骨皮质的囊状透亮影,考虑非骨化性纤维瘤
作者: 潘X 时间: 2007-7-24 02:51
胫骨中上段多房囊肿,呈蜂窝状向外膨胀,囊内含有粗细不等的房间隔。考虑动脉瘤样骨囊肿!
作者: 小初学者 时间: 2007-7-24 03:16
1\\软骨黏液纤维溜
2\\非骨化纤维溜
3\\动脉瘤样骨囊肿
4\\骨纤
作者: drzhang8888 时间: 2007-7-24 03:24
1\\软骨黏液纤维溜
2\\非骨化纤维溜
作者: qiushi 时间: 2007-7-24 04:26
考虑动脉瘤样骨囊肿
作者: zhengxh 时间: 2007-7-24 04:50
动脉瘤样骨囊肿
作者: 22222222 时间: 2007-7-24 04:54
发生在骨皮质的囊状透亮影,考虑非骨化性纤维瘤
作者: 王靖旗 时间: 2007-7-24 05:33
标题: 支持
考虑软骨黏液纤维溜
非骨化纤维溜
不大好鉴别,年龄支持非骨化纤维溜,也可见髓腔侧硬化边,但是膨胀性好像不支持,一般软骨粘液纤更为著。[emb6]
[本贴已被 王靖旗 于 2007-7-23 21:55:18 修改过]
作者: 同 时间: 2007-7-24 05:57
标题: 回复:ped0280:女性,10岁,左小腿无诱因疼痛,一般状况良好,无
以下是引用小初学者在2007-7-23 19:16:00的发言:[br]1\\软骨黏液纤维溜[br]2\\非骨化纤维溜[br]3\\动脉瘤样骨囊肿[br]4\\骨纤
作者: jinning 时间: 2007-7-24 06:28
考虑动脉瘤样骨囊肿
作者: 清清楚楚 时间: 2007-7-25 03:15
考虑动脉瘤样骨囊肿.
作者: zyx168 时间: 2007-7-25 15:00
考虑动脉瘤样骨囊肿.
作者: w_jianhua 时间: 2007-7-26 18:22
骨破坏区呈多房样改变,邻近骨皮质变薄并偏心性膨出,考虑1。软骨瘤2。骨巨
作者: LIMMM 时间: 2007-7-26 20:58
1\\软骨黏液纤维溜
2\\非骨化纤维溜
3\\动脉瘤样骨囊肿
4\\骨纤
作者: liaizhi 时间: 2007-7-27 18:39
胫骨骨干增粗,骨皮质呈膨张性改变。髓腔扩大,其内有多个圆性低密度影,且有长短不一的骨瘠影。邻近骨质硬化。外围骨皮质部分消失。考虑软骨粘液样纤维瘤可能性大。
作者: dyqct 时间: 2007-7-27 22:38
标题: 回复:ped0280:女性,10岁,左小腿无诱因疼痛,一般状况良好,无
以下是引用同在2007-7-23 21:57:00的发言:[br][quote]以下是引用小初学者在2007-7-23 19:16:00的发言:[br]1\\软骨黏液纤维溜[br]2\\非骨化纤维溜[br]3\\动脉瘤样骨囊肿[br]4\\骨纤
[br][/quote]
支持!!
作者: jiangjing 时间: 2007-7-28 01:53
胫骨中上段多房囊肿,呈蜂窝状向外膨胀,囊内含有粗细不等的房间隔,偏心性生长。考虑良性骨肿瘤----1软骨粘液性纤维瘤。2骨化或非骨化性纤维瘤。
作者: yuhongjun 时间: 2009-11-30 14:16
胫骨中上段多房囊肿,呈蜂窝状向外膨胀,囊内含有粗细不等的房间隔。考虑动脉瘤样骨囊肿!
作者: zxl51642 时间: 2009-12-2 00:38
软黏纤>骨化性纤维瘤。髓腔侧硬化明显,边缘扇形,大囊套小囊,皮质偏心膨胀,分隔粗细不等,无明显钙化,首先考虑软黏纤,年龄及病变部位也相符。骨化性纤维瘤可有类似改变,其他不考虑。
作者: ZHANGZHONGSHOU 时间: 2017-6-2 13:00
OFD
| 欢迎光临 医影在线 (http://bbs.radida.com/bbs/) |
Powered by Discuz! X3.2 |