医影在线

标题: CT9140:典型结肠CA!!!!!!!!!!!!!!! [打印本页]

作者: 青莲居士    时间: 2007-7-24 06:01
标题: CT9140:典型结肠CA!!!!!!!!!!!!!!!
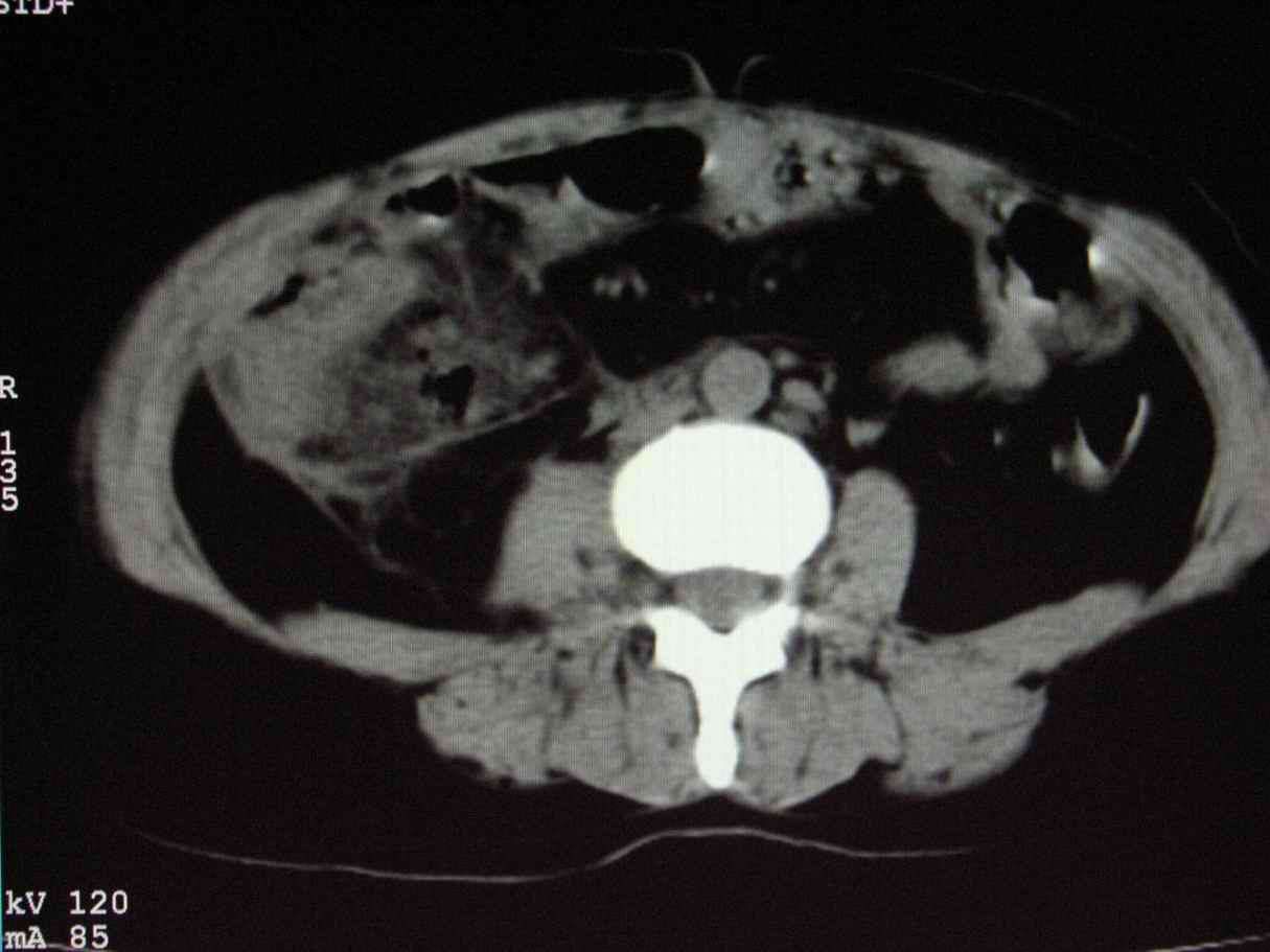
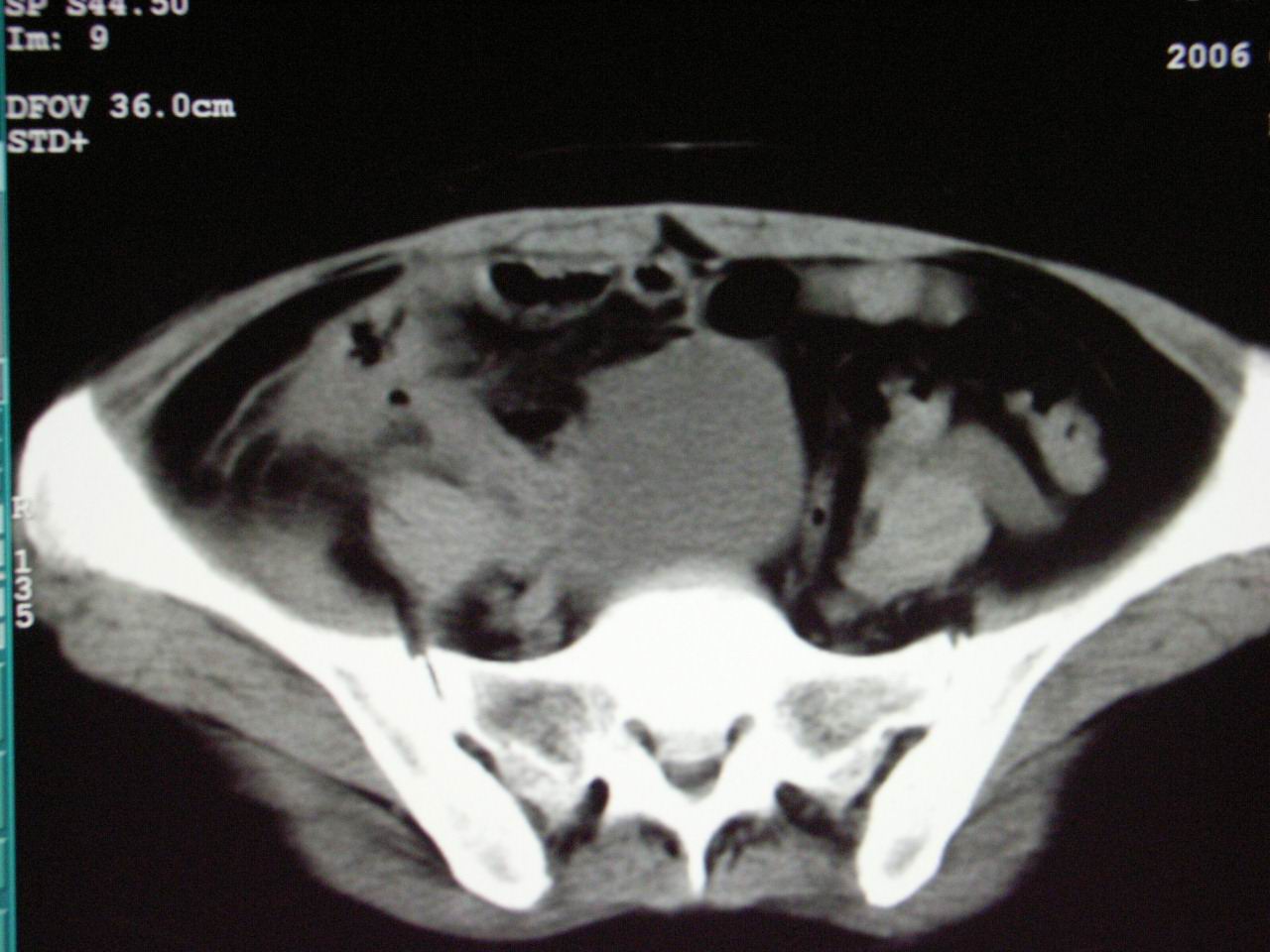
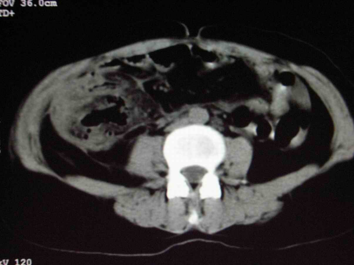
男;67岁,腹胀,腹痛,便血半年;钡餐透视发现右下腹部占位性病变
ct表现;病灶成环状软组织肿块,表现为不对称的肠壁增厚;肠腔变型.









[本贴已被 jiajie 于 2007-7-23 22:07:59 修改过]

作者: 同    时间: 2007-7-24 06:09
支持楼主意见,结肠癌.
作者: xulianj    时间: 2007-7-24 06:12
肠道准备用口服阳性造影剂比较好。
作者: 卜一    时间: 2007-7-24 06:12
非常典型!支持!
作者: 狙击手    时间: 2007-7-24 06:12
学习了,谢谢楼主。
作者: shenhs    时间: 2007-7-24 06:15
结肠癌  支持
作者: yxwsd    时间: 2007-7-24 06:25
学习了,谢谢楼主。
作者: jinning    时间: 2007-7-24 06:37
结肠癌  支持
作者: 宝天曼    时间: 2007-7-24 06:43
结肠癌  
  谢谢楼主
作者: jsgdoctor    时间: 2007-7-24 06:49
标题: 回复:ct9140:典型结肠ca!!!!!!!!!!!!!!!
以下是引用同在2007-7-23 22:09:00的发言:[br]支持楼主意见,结肠癌.

作者: dyqct    时间: 2007-7-24 06:59
支持楼主意见。
作者: 一个人    时间: 2007-7-24 07:09
学习了,谢谢楼主
作者: 天南地北    时间: 2007-7-24 07:41
学习了,谢谢楼主。
作者: luochengyi    时间: 2007-7-24 07:45
结肠癌
作者: zyx168    时间: 2007-7-24 14:41
结肠癌  支持
作者: lelechengwei    时间: 2007-7-24 16:02
学习了,谢谢楼主。
作者: ailuanfei    时间: 2007-7-24 16:28
支持
作者: jinguoji    时间: 2007-7-24 18:26
支持结肠癌.
作者: zjzjr    时间: 2007-7-24 20:45
支持楼主意见,结肠癌.
作者: zhangding589343    时间: 2007-7-24 20:50
升结肠ca。
作者: psh    时间: 2007-7-24 22:59
支持结肠癌。
作者: rongzhangyile    时间: 2007-7-24 23:26
升结肠肠壁不均匀增厚,肠腔变形,支持结肠癌.
作者: 万安医院    时间: 2007-7-25 00:02
结肠癌可能
作者: 朱亮    时间: 2007-7-25 00:12
支持搂主,建议造影剂充盈肠腔,
作者: jw-830    时间: 2007-7-25 00:17
支持搂主意见
作者: qc80012345    时间: 2007-7-25 01:19
支持结肠癌.
作者: 青莲居士    时间: 2007-7-25 03:33
谢谢大家的参与
口服硫酸钡造影做的时候考虑到伪影比较大,所以没有服用
谢谢
作者: elity69    时间: 2007-7-25 04:27
duke分型?
作者: 拾荒者    时间: 2007-7-25 06:43
支持结肠癌诊断,周围受累。
作者: ydx_74    时间: 2007-7-25 07:23
不太典型,见过多例典型结肠ca,我给大家发发
作者: 青莲居士    时间: 2007-7-25 08:10
谢谢大家的参与
作者: qiushi    时间: 2007-7-25 16:24
标题: 回复:ct9140:典型结肠ca!!!!!!!!!!!!!!!
肠道准备用口服阳性造影剂比较好
作者: 青莲居士    时间: 2007-7-28 04:49
谢谢大家的参与
我在找找ct申请单看看
因为是以前做的,所以记的不太清楚了
对不起!!!!!!!!!!!!!!!!!!!!!!!!!
作者: 青莲居士    时间: 2007-7-28 05:32
谢谢大家的发言
作者: zhangyubin1977    时间: 2007-7-28 05:33
支持结肠癌
作者: qc80012345    时间: 2007-7-28 08:38
结肠癌  支持
作者: 永州人    时间: 2007-7-28 18:12
考虑ca  不过好象口服点造影技应该更好看吧
作者: 青莲居士    时间: 2007-8-30 07:06
谢谢大家的参与
我在找找ct申请单看看
因为是以前做的,所以记的不太清楚了
对不起!!!!!!!!!!!!!!!!!!!!!!!!!
作者: 夏春秋    时间: 2007-8-30 07:51
结肠癌
作者: 巴黎世家    时间: 2007-8-30 11:05
看了,学习了
作者: 红樱枪    时间: 2007-8-30 18:10
支持楼主意见,结肠癌.




欢迎光临 医影在线 (http://bbs.radida.com/bbs/) Powered by Discuz! X3.2