医影在线

标题: x2554:枢椎棘突密度减低区,请会诊! [打印本页]

作者: zhw974247    时间: 2007-7-24 14:43
标题: x2554:枢椎棘突密度减低区,请会诊!
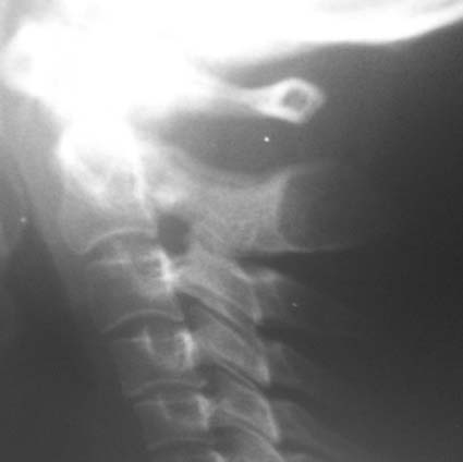
女,45岁,近来感颈部疼痛,头晕,夜不能寐,按之枢椎棘突,感有硬结感,疼痛,骨科怀疑骨囊肿,拟手术,请大家帮忙看一下,是否是正常的?





[本贴已被 jiajie 于 2008-2-26 18:36:26 修改过]

作者: 小初学者    时间: 2007-7-24 15:06
标题: 回复:x2554:枢椎棘突密度减低区,请会诊!

作者: 天南地北    时间: 2007-7-24 15:34
未见明显异常
作者: sjing    时间: 2007-7-24 17:06
未见明显异常
作者: zhangding589343    时间: 2007-7-24 17:19
我认为是正常表现,可作ct确诊。
作者: jinguoji    时间: 2007-7-24 18:00
未见明显异常.
作者: jinning    时间: 2007-7-24 19:04
未见明显异常
作者: ZHANGZHONGSHOU    时间: 2007-7-24 20:08
正常表现。
作者: shiqingfa    时间: 2007-7-24 20:15
我认为是正常表现
作者: a0303047    时间: 2007-7-24 21:40
正常
作者: zhangxiangjun    时间: 2007-7-24 23:15
未见明显异常
作者: zhangkai    时间: 2007-7-25 00:49
找几张以前的颈椎片子对比一下。
作者: liangshusheng    时间: 2007-7-25 01:15
未见明显异常
作者: yuhongjun    时间: 2007-7-25 02:02
骨质未见异常.
作者: 清清楚楚    时间: 2007-7-25 02:33
未见明显异常.
作者: lgl2007    时间: 2007-7-25 03:23
未见明显异常
作者: elity69    时间: 2007-7-25 03:31
未见明显异常.
作者: 孙医生    时间: 2007-7-25 03:42
正常表现
这种情况,可以不以前的同部位的片子找出来对比一下。
作者: jian-5587    时间: 2007-7-25 04:05
我认为是正常表现
作者: hyq24    时间: 2007-7-25 04:30
未见明显异常  韧带未见钙化
作者: wqs571018    时间: 2007-7-25 04:45
是正常表现  。
作者: 眼睛    时间: 2007-7-25 04:52
我觉的做个ct是必要的!
作者: huangxun4321    时间: 2007-7-25 05:29
颈椎骨质增生;颈4/5、5/6椎间盘变性,未除突出,建议mr颈椎检查。
作者: xulianj    时间: 2007-7-25 05:37
正常
作者: 向医生    时间: 2007-7-25 05:59
标题: 回复:x2554:枢椎棘突密度减低区,请会诊!
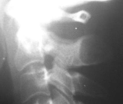
楼主所指的枢椎棘突密度减低区属正常表现,你可能多拿几个颈椎侧位片看看。
下面是我刚从网上下载的几张颈椎图片。




作者: 古寨悠幽    时间: 2007-7-25 06:28
正常
作者: 风TP    时间: 2007-7-25 07:09
我觉得属正常表现
作者: ydx_74    时间: 2007-7-25 07:28
未见明显异常
作者: 西凡    时间: 2007-7-25 07:46
正常
作者: 雪山飞狐    时间: 2007-7-25 17:11
标题: 回复:x2554:枢椎棘突密度减低区,请会诊!
以下是引用天南地北在2007-7-24 7:34:00的发言:[br]未见明显异常

作者: 未见异常    时间: 2007-7-25 17:57
有事吗 我看正常
作者: dyqct    时间: 2007-7-25 17:59
应该是正常的。
作者: chenln9860    时间: 2007-7-26 01:56
正常表现
作者: zhangkening    时间: 2007-7-26 04:43
这个应该是正常的表现,只是这个相对来说比较大一些.
作者: ssmmxx    时间: 2007-7-27 01:21
我觉得属正常表现
作者: zjzjr    时间: 2007-7-27 04:51
正常表现
作者: 老后    时间: 2007-7-27 05:06
生理曲度变直
作者: luochengyi    时间: 2007-7-27 06:46
未见明显异常
作者: xieximing    时间: 2007-7-27 06:50
无异常
作者: zyx168    时间: 2007-7-30 15:14
正常表现
作者: yrjw    时间: 2007-8-1 02:34
未见明显异常
作者: shibing    时间: 2013-3-23 14:38
未见明显异常




欢迎光临 医影在线 (http://bbs.radida.com/bbs/) Powered by Discuz! X3.2