医影在线

标题: PED0282:女,10岁,上腹疼痛2周 [打印本页]

作者: ydx_74    时间: 2007-7-25 06:24
标题: PED0282:女,10岁,上腹疼痛2周
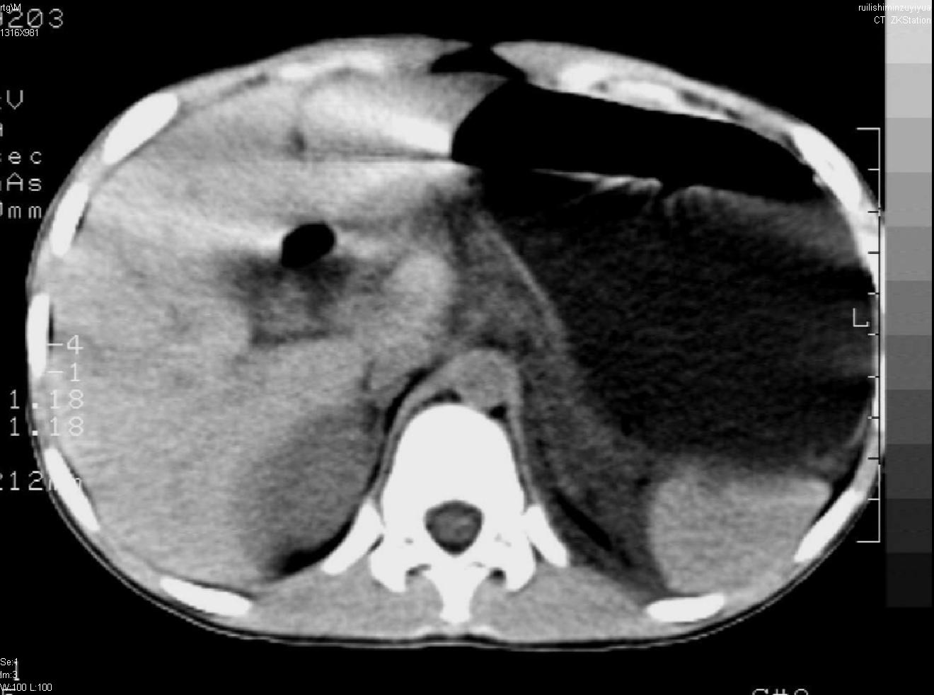
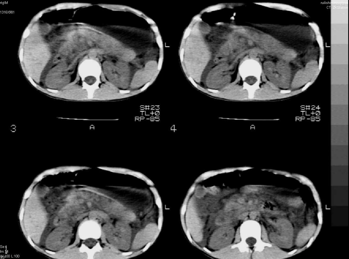
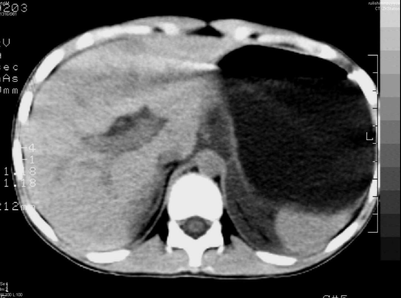
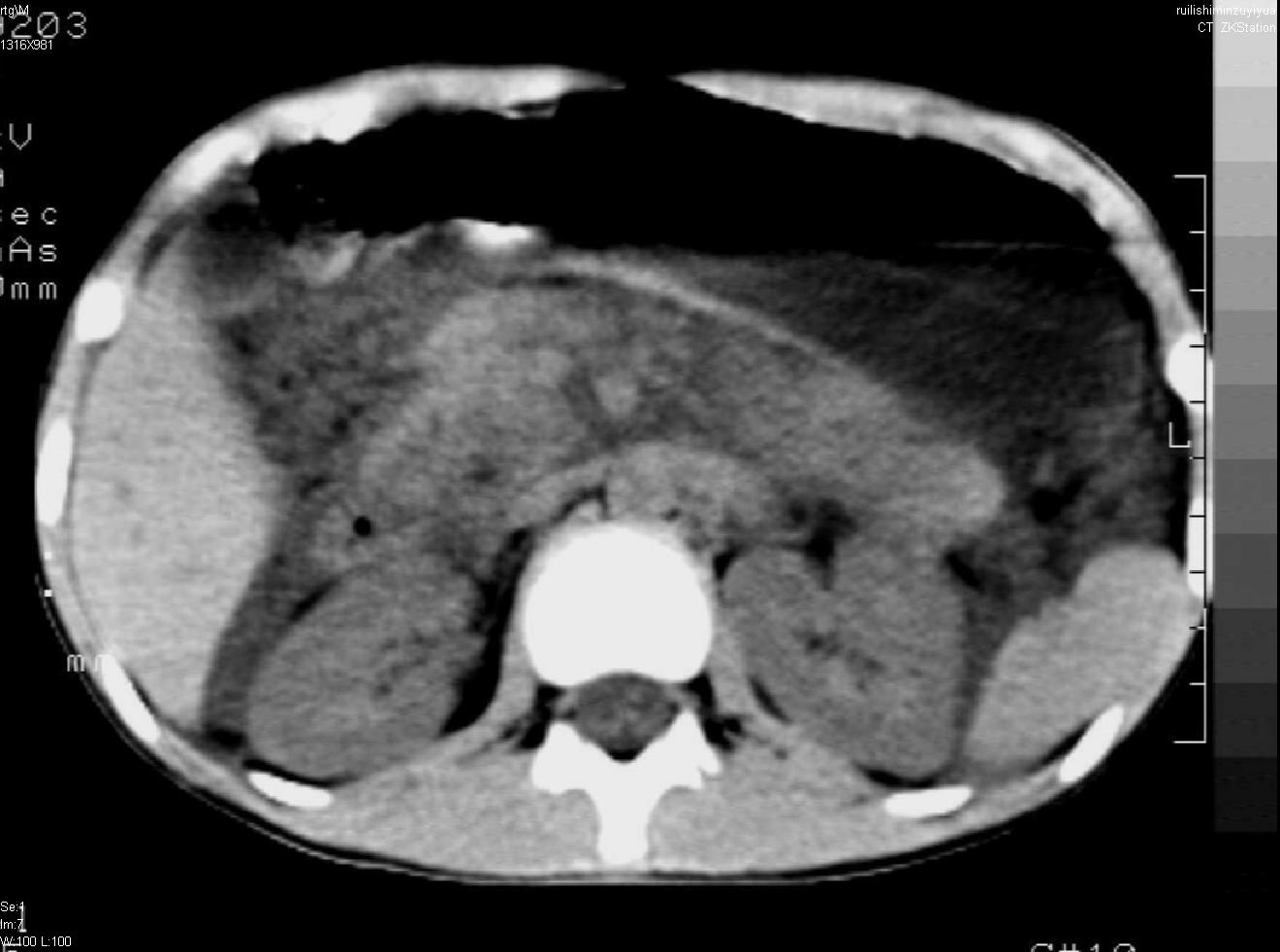
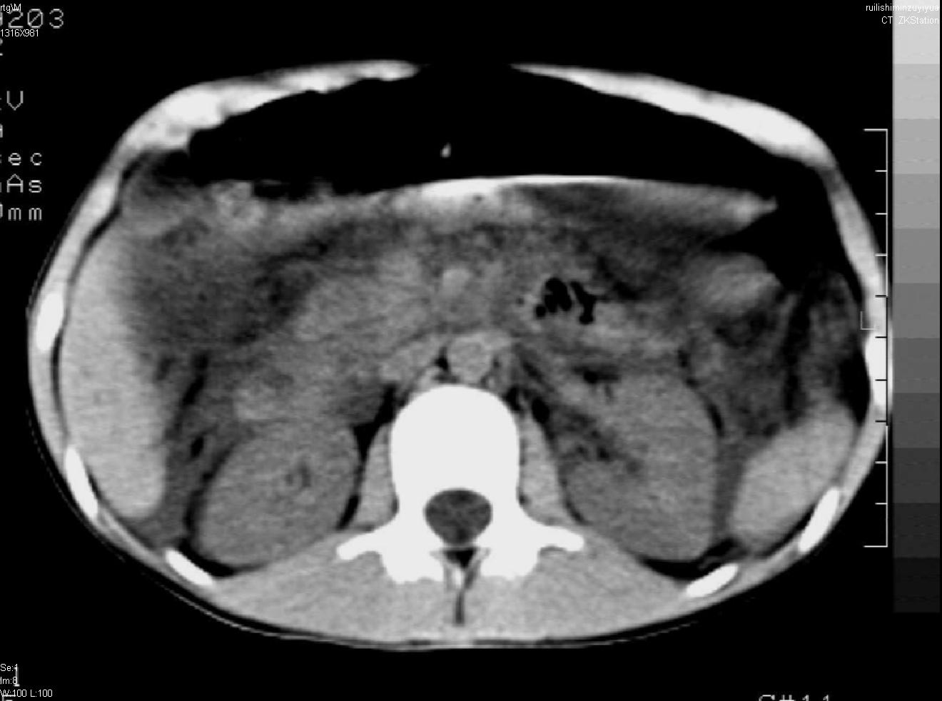
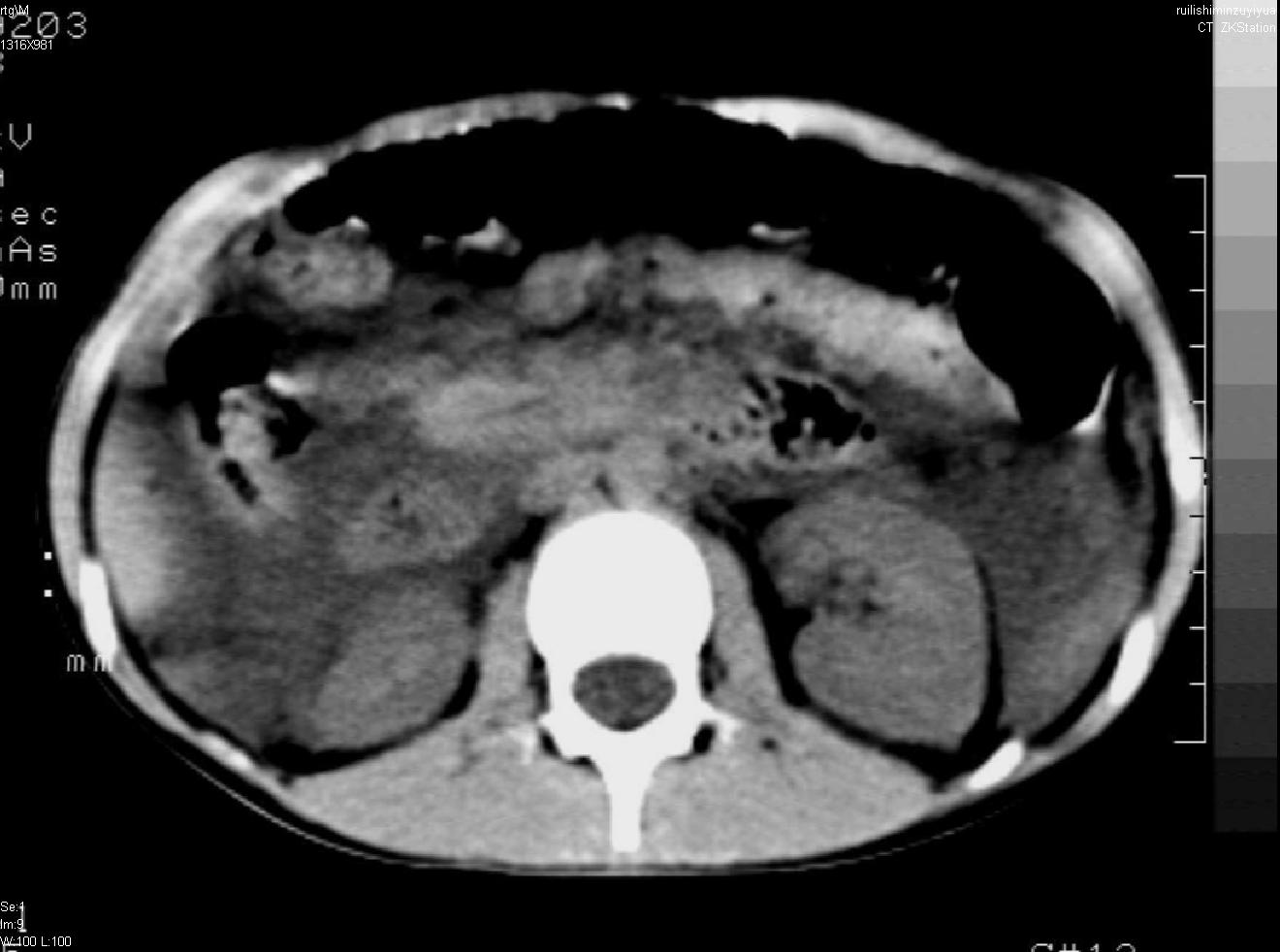
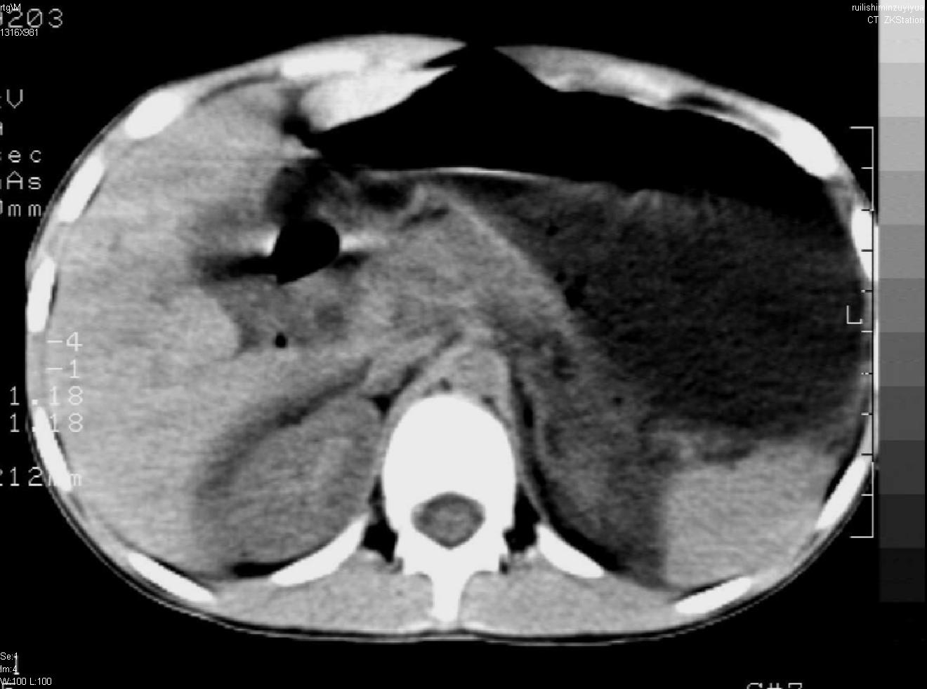
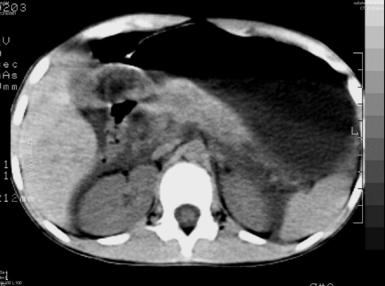
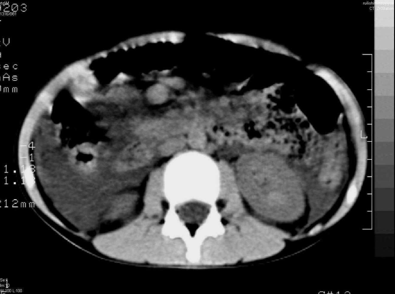
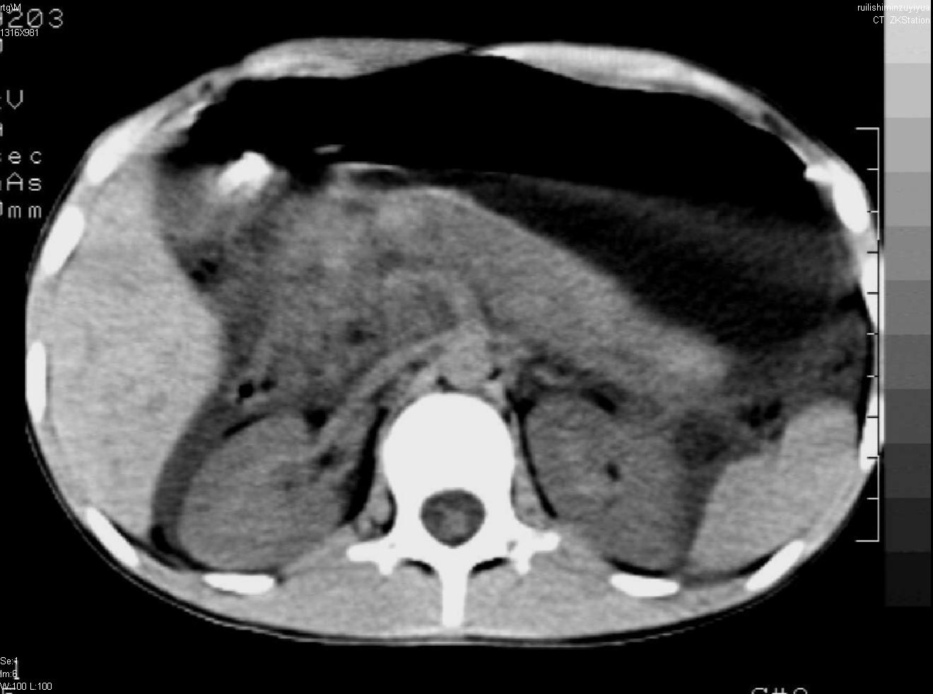
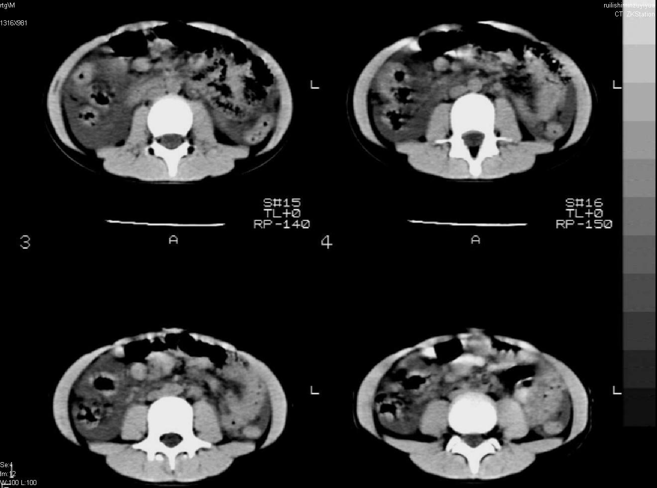
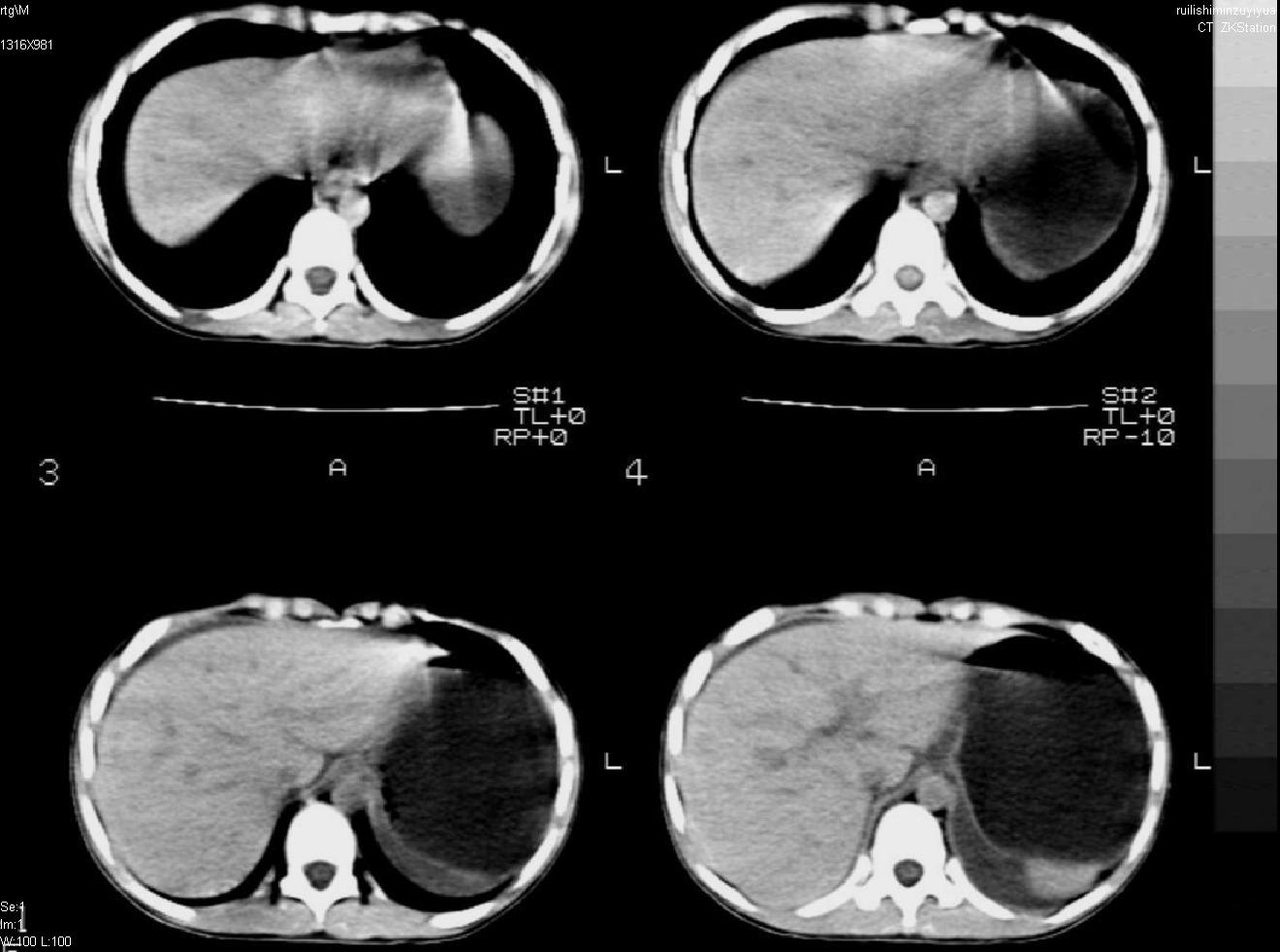
b超:胆囊结石。疑坏死性胰腺炎
















[本贴已被 jiajie 于 2007-7-24 22:42:47 修改过]

作者: 天南地北    时间: 2007-7-25 07:18
急性胰腺炎
作者: wei98ying    时间: 2007-7-25 08:38
考虑急性胰腺炎,胆道寄生虫。
作者: zyx168    时间: 2007-7-25 14:53
考虑急性胰腺炎,
作者: haha215315    时间: 2007-7-25 17:45
考虑急性胰腺炎
作者: rongzhangyile    时间: 2007-7-25 23:16
急性胰腺炎
作者: jiajie    时间: 2007-7-26 04:10
标题: 1
支持小儿急性坏死性胰腺炎。

(一) 以下来源: http://health.qihoo.com/ku/xxjibing.html?jb_name=%d0%a1%b6%f9%bc%b1%d0%d4%d2%c8%cf%d9%d1%d7&num=4
病因病理:
  
    病因学
  小儿急性胰腺炎致病因素较复杂,有时可突然发病,难以确定其病因。
   目前多考虑以下因素可引起小儿急性胰腺炎的发生。
  1.继发于身体其他部位的细菌或病毒感染:如急性流行性腮腺炎、肺炎、菌痢、扁桃腺炎等。
  2.上消化道疾患或胆胰交界部位畸形,胆汁返流入胰腺,引起胰腺炎。
  3.药物诱发:应用大量肾上腺激素、免疫抑制药、吗啡以及在治疗急性淋巴细胞白血病时应用左旋门冬酰胺等均可引起急性胰腺炎。
  4.可并发于系统性红斑狼疮、过敏性紫瘢、甲状旁腺功能亢进症。
  然仍有半数病例无肯定的致病因素。
  病理改变
  1.水肿型胰腺炎  约占80%~90%,胰腺全部或局部水肿、充血,体积增大,胰液的排出受阻,因而使血液及尿中淀粉酶增高。
   2.出血坏死型胰腺炎  约占10%~20%,病变急剧,因缺血、出血或坏死,胰腺呈深红色或紫黑色,大量渗出液包含胰液流入腹腔而引起弥漫性腹膜炎,可发生休克,甚至死亡。此时富有消化力的胰液渗出,作用于脂肪丰富的大网膜、肠系膜等,造成广泛脂肪坏死灶,将脂肪分解为甘油和脂肪酸。后者又吸取血中钙质形成钙化灶。血钙可显著降低而出现手足搐搦现象。
  胰腺实质发炎时,胰岛细胞也遭损害,影响糖代谢,故可并发糖尿病。
  并发症:
  早期并发症包括水和电解质紊乱,低钙血症和手足搐搦。后期可并发症腺脓肿,假性囊肿形成,亦可遗留慢性胰腺炎。



(二) 以下来源:http://www.puson.com/journal/articleinfo.aspx?art_id=20422
小儿急性胰腺炎29例诊疗体会

www.shouxi.net  吴宗平 2004-7-24 16:10:00 《中华医学研究杂志》 2003年2月 第3卷 第2期  

关键词:胰腺炎


小儿急性胰腺炎(cap)是小儿常见急腹症之一。据文献报道,近年来发病率有明显上升 [1] 。绝大多数小儿急性胰腺炎为水肿型,预后良好。而坏死性胰腺炎死亡率高达30%~40% [2,3] 。


故早期诊断、明确病因、积极防治,是降低cap发病率,防止水肿型胰腺炎向坏死型胰腺炎发展的关键。现将我院从1999年1月~2001年1月收治小儿急性胰腺炎29例诊疗体会报道如下。


1 临床资料


1.1 一般资料 本组共29例,其中男14例(占48.28%),女15例(占51.72%),男女发病情况基本相同。年龄2~13岁,平均年龄6.20岁。来自城市的21例,农村的8例(包括重症胰腺炎4例、反复发生胰腺炎2例)。


1.2 发病特点 29例患儿中,以腹痛为首发症状者27例,仅有2例以皮疹、发热、双耳下肿胀为首发症状。19例患儿伴有恶心、呕吐症状,5例伴有发热症状。发病至就诊时间最短3h,最长1周,平均3天。


1.3 诊断 29例患儿均有中上腹或左上腹压痛,但除1例有轻度反跳痛外,均无明显反跳痛及肌紧张。2例移动性浊音阳性、并穿刺抽到淡黄色渗液。23例行b型超声波检查,其中15例无阳性发现,8例支持急性胰腺炎诊断,其中4例报告有腹腔渗液,2例伴胆囊结石、1例伴胆总管结石。另外29例患儿中有10例伴有扁桃体ⅱ°肿大,其中2例伴有腮腺肿大。2例伴有荨麻疹。29例患儿血淀粉酶或尿淀粉酶明显高于正常检测值,有诊断意义。


1.4 治疗 29例患儿均经非手术治疗。主要采用禁食、补液、抗炎、解痉等治疗。抗炎多选用青霉素、氨苄青霉素、菌必治、甲硝唑等。而4例重症胰腺炎除采用上述治疗方法外,还采用持续胃肠减压、善得定或施他宁抑制胰液分泌、高舒达抑酸、硫酸镁导泻等治疗。治疗后血淀粉酶或尿淀粉酶恢复正常的时间最短2天,最长44天,绝大多数治疗后4~5天血淀粉酶或尿淀粉酶恢复正常。


2 结果


29例患儿治愈26例,占89.66%,好转自动出院3例,占10.34%。其中有2例有反复发作史,1例在1年半的时间内3次以急性胰腺炎入院,另1例则在2个月的时间内2次急性胰腺炎入院。29例患儿平均于发病后4天开始进食,住院时间最短1天,最长46天,平均10天。


3 讨论


3.1 小儿急性胰腺炎的发病特点 本组资料小儿急性胰腺炎的发病特点,从病因来看,病毒感染较多见,本组资料中,10例伴有扁桃体ⅱ°肿大,其中2例伴有腮腺肿大、2例伴有荨麻疹。根据文献报道还可见于肝炎、麻疹、柯萨奇病毒感染等 [2] 。另外由胆道疾患引起急性胰腺炎在本组资料中有3例,其中2例导致了重症胰腺炎。有文献报道小儿急性胰腺炎发病原因中胆源性为主(40%~50%) [4] ,可见胆道疾患也是不可忽视的问题。而本组资料中原因不明的特发性胰腺炎占48.28%,高于文献报道(约32%) [5] 。故临床医师不能仅满足于小儿急性胰腺炎的诊断,应该详细询问病史、确定病因、防止胰腺炎的反复发作。本组资料中1例患儿1年半的时间内3次以胰腺炎入院。因此,对反复发作的患儿,通过选择内窥镜逆行胰胆管造影(ercp)检查,来排除先天解剖异常的可能性。


3.2 早期诊断的临床
作者: andymaomao    时间: 2007-7-27 00:50
支持急性胰腺炎。
作者: jinning    时间: 2007-7-27 01:07
急性胰腺炎
作者: 清清楚楚    时间: 2007-7-27 03:57
支持搂主
作者: liaizhi    时间: 2007-7-27 18:13
支持急性胰腺炎并腹膜炎。
作者: LIAOQIANG    时间: 2007-7-27 19:05
急性胰腺炎。
作者: jiangjing    时间: 2007-7-28 01:47
急性胰腺炎,腹腔积液
作者: jkydlj    时间: 2007-7-28 02:32
支持胰腺炎
作者: shiqingfa    时间: 2007-7-28 04:27
支持急性胰腺炎
作者: 471792    时间: 2007-7-28 06:01
急性胰腺炎
作者: qc80012345    时间: 2007-7-28 09:04
考虑急性胰腺炎
作者: zxczxc    时间: 2007-8-5 04:26
急性胰腺炎。




欢迎光临 医影在线 (http://bbs.radida.com/bbs/) Powered by Discuz! X3.2