

以下是引用hhcckk在2007-7-27 17:40:00的发言:[br]l3、4椎体压缩变扁,椎间隙增宽,考虑转移瘤可能性大[br]1、结核一般多有椎间隙的狭窄(当然中央型的可无椎间隙的狭窄,但毕竟少见,而且到后期也会累及椎间隙),椎旁的寒性脓肿,好发年轻人,好发于胸椎,临床有结核中毒症状,种种征象都不太支持[br]2、骨软骨炎、嗜酸性肉牙肿可以使椎体压缩变扁,椎间隙无狭窄,甚至可以增宽,但这两种病多好发于年轻人,年纪大的还是首先排除转移性肿瘤再考虑其它的疾病吧
以下是引用hhcckk在2007-7-27 17:40:00的发言:[br]l3、4椎体压缩变扁,椎间隙增宽,考虑转移瘤可能性大[br]1、结核一般多有椎间隙的狭窄(当然中央型的可无椎间隙的狭窄,但毕竟少见,而且到后期也会累及椎间隙),椎旁的寒性脓肿,好发年轻人,好发于胸椎,临床有结核中毒症状,种种征象都不太支持[br]2、骨软骨炎、嗜酸性肉牙肿可以使椎体压缩变扁,椎间隙无狭窄,甚至可以增宽,但这两种病多好发于年轻人,年纪大的还是首先排除转移性肿瘤再考虑其它的疾病吧
以下是引用hhcckk在2007-7-27 17:40:00的发言:[br]l3、4椎体压缩变扁,椎间隙增宽,考虑转移瘤可能性大[br]1、结核一般多有椎间隙的狭窄(当然中央型的可无椎间隙的狭窄,但毕竟少见,而且到后期也会累及椎间隙),椎旁的寒性脓肿,好发年轻人,好发于胸椎,临床有结核中毒症状,种种征象都不太支持[br]2、骨软骨炎、嗜酸性肉牙肿可以使椎体压缩变扁,椎间隙无狭窄,甚至可以增宽,但这两种病多好发于年轻人,年纪大的还是首先排除转移性肿瘤再考虑其它的疾病吧
以下是引用hhcckk在2007-7-27 17:40:00的发言:[br]l3、4椎体压缩变扁,椎间隙增宽,考虑转移瘤可能性大[br]1、结核一般多有椎间隙的狭窄(当然中央型的可无椎间隙的狭窄,但毕竟少见,而且到后期也会累及椎间隙),椎旁的寒性脓肿,好发年轻人,好发于胸椎,临床有结核中毒症状,种种征象都不太支持[br]2、骨软骨炎、嗜酸性肉牙肿可以使椎体压缩变扁,椎间隙无狭窄,甚至可以增宽,但这两种病多好发于年轻人,年纪大的还是首先排除转移性肿瘤再考虑其它的疾病吧
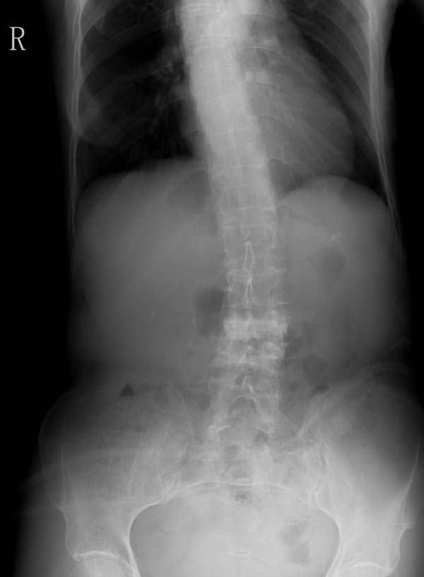
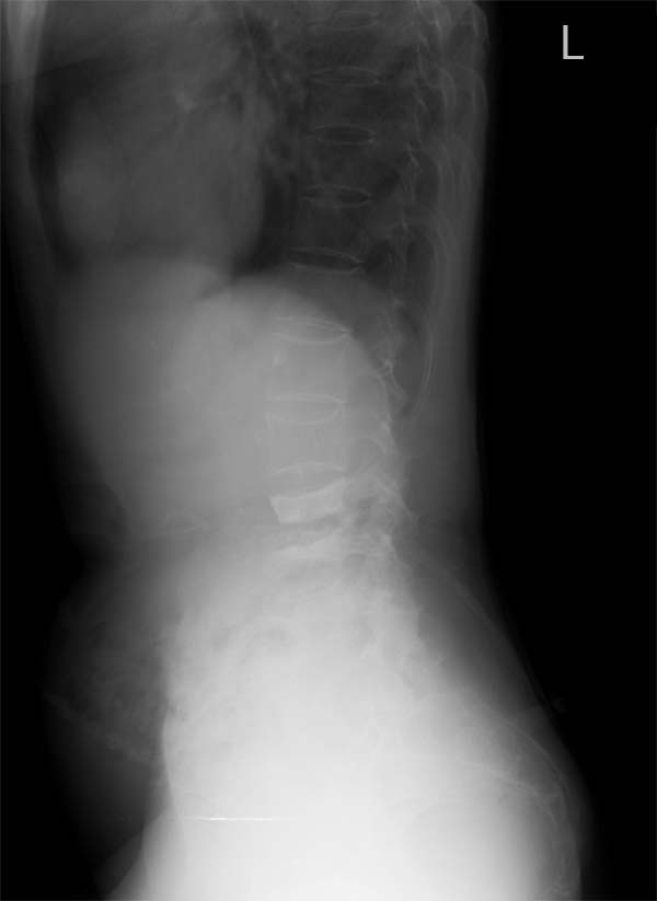
以下是引用听蝉观竹在2007-7-28 21:05:00的发言:[br]这个病例有几个影像特点:1、病变为2个腰椎椎体,2、椎体有明显和压缩,密度明显增高,第4腰椎椎体见皮质破坏;2、椎间隙无狭窄,而且变宽。[br]分析:[br]1、上述影像改变不符合脊椎结核,因为脊椎结核主要病变是先累及椎体边缘软骨和椎间盘,所以象x线表现主要的改变是-------椎间隙变窄和椎体边缘的破坏。而本病例恰恰相反------椎间隙无狭窄,而且变宽。[br][br]2、这个病例符合脊椎转移性骨肿瘤的表现-----多个椎体的的破坏和病理压缩性骨折、椎间隙无狭窄,而且变宽。[br][br]3、女性,60岁,又普遍存在骨质疏松,应该注意与骨质疏松的压缩骨折向鉴别。对这个病例我分析-----(1)[br]病变是在腰3、4椎体,而不是胸12、腰1椎体,不符合压缩骨折的受力特点;(2)第4腰椎椎体见明确骨皮质破坏。所以我考虑转移性骨肿瘤可能性要远大于骨质疏松的引起的压缩骨折。[br][br]4、老年女性,脊椎转移性骨肿瘤,寻找原发肿瘤首先应该查乳腺、甲状腺、生殖腺。[br]
以下是引用dyqct在2007-7-27 16:18:00的发言:[br]考虑腰3、4椎体结核,建议ct进一步检查除外转移。
| 欢迎光临 医影在线 (http://bbs.radida.com/bbs/) | Powered by Discuz! X3.2 |