医影在线

标题: CT9194:胰腺CT增强极有挑战性,显身手的时候来了。 [打印本页]

作者: 王靖旗    时间: 2007-7-28 03:02
标题: CT9194:胰腺CT增强极有挑战性,显身手的时候来了。
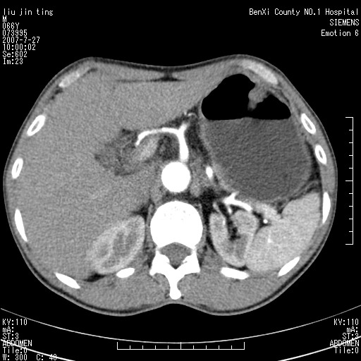
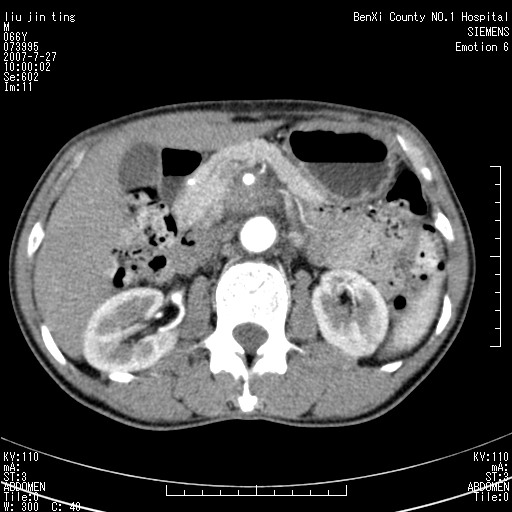
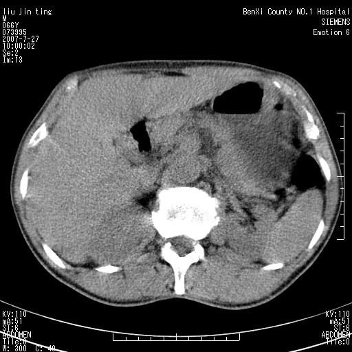
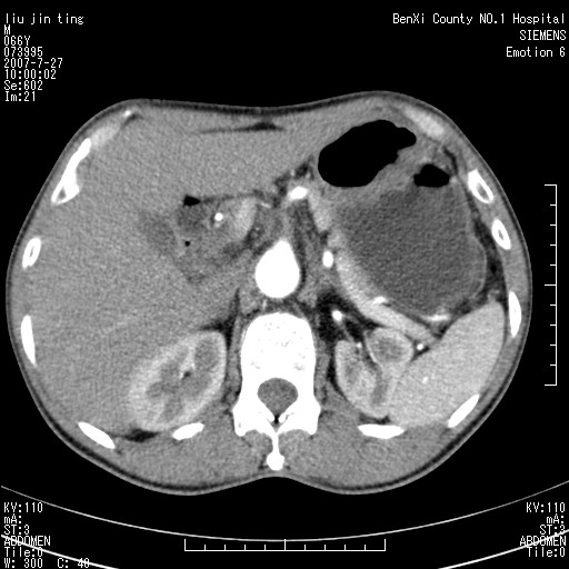
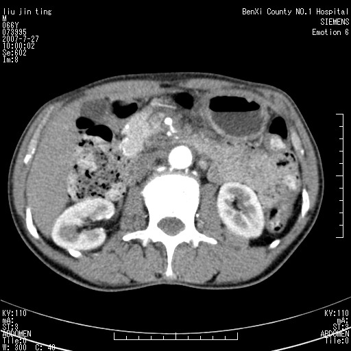
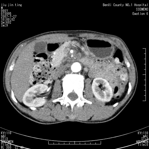
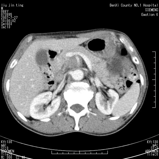
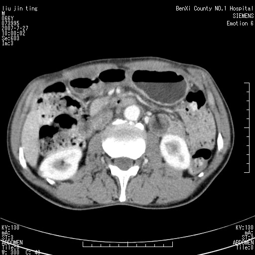
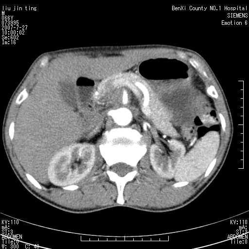
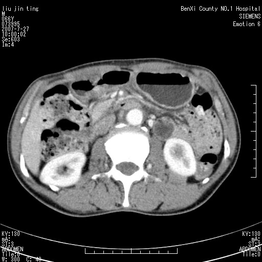
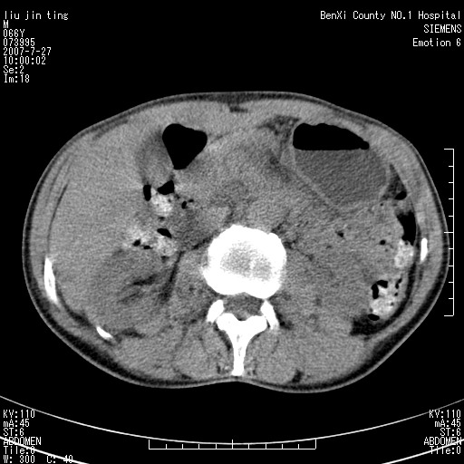
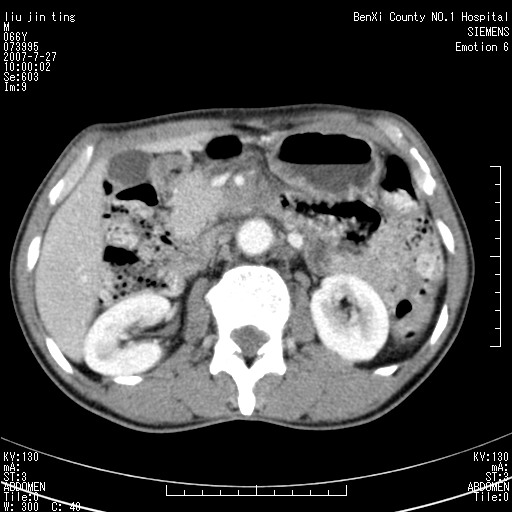
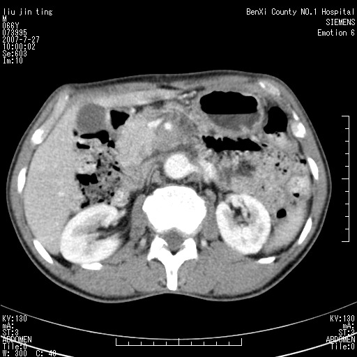
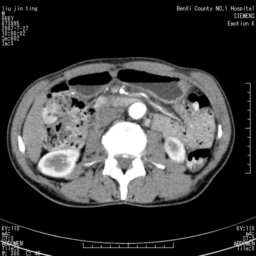
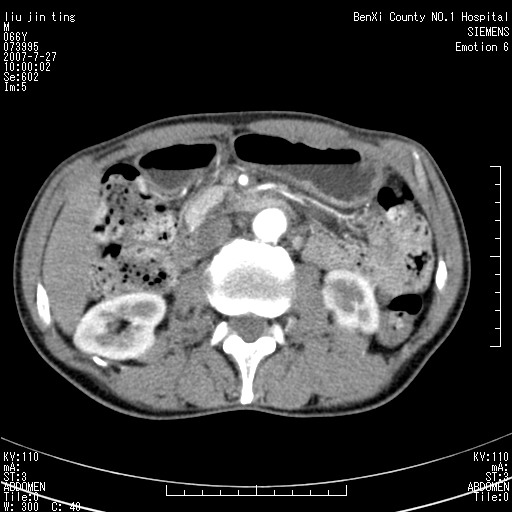
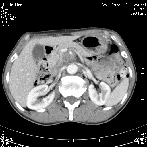
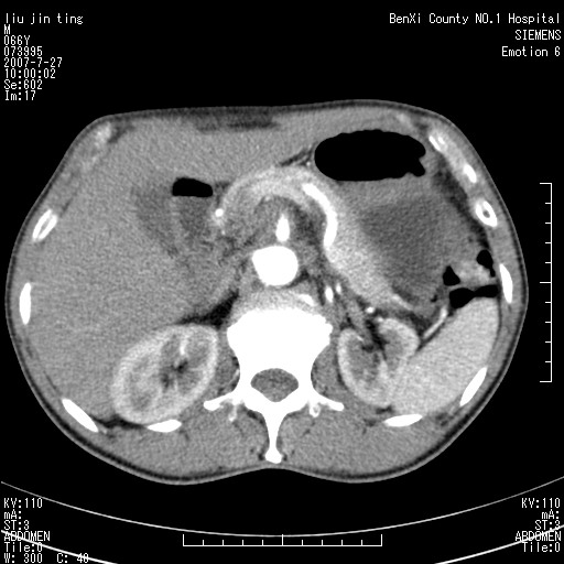
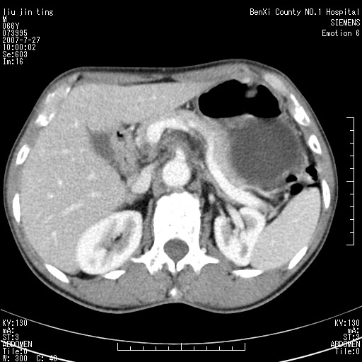
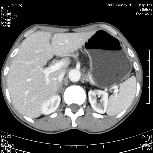
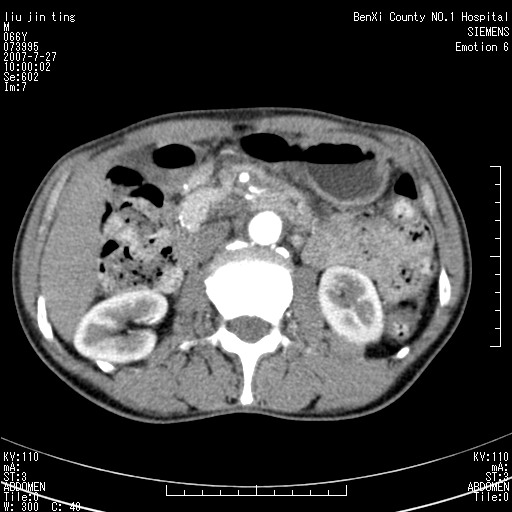
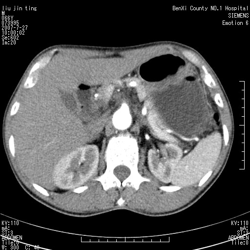
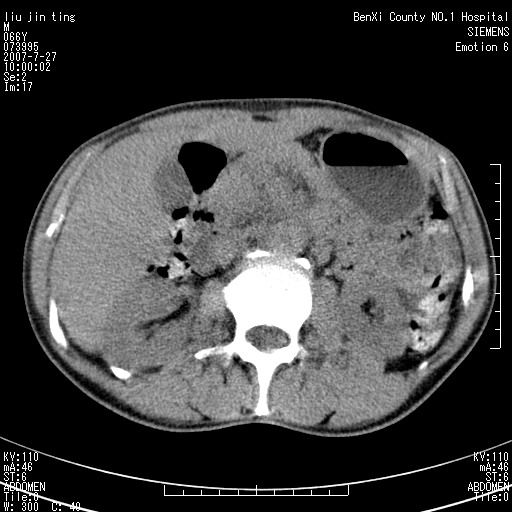
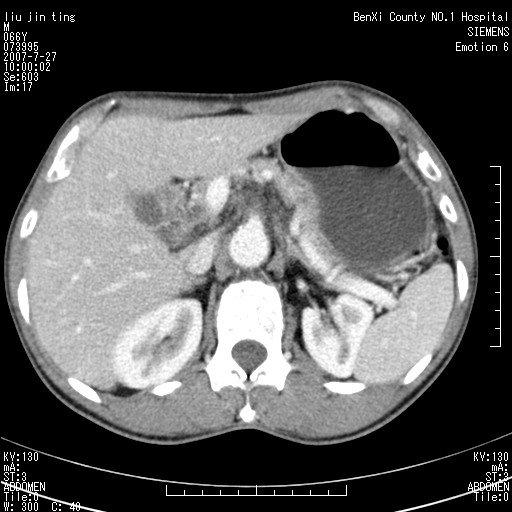
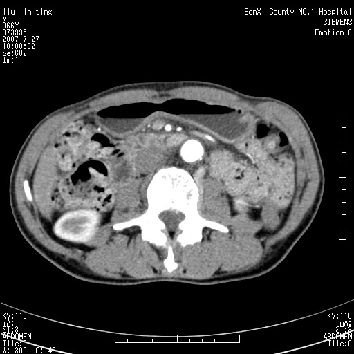
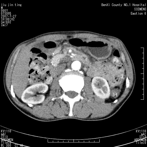
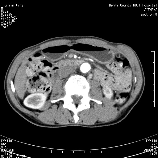
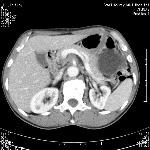
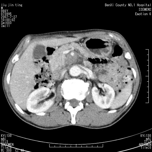
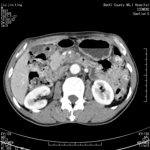
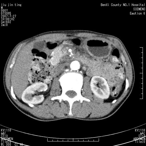
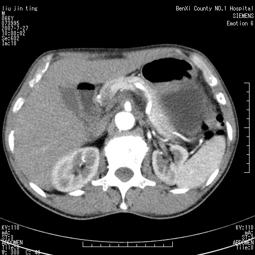
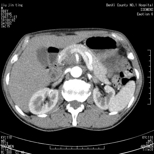
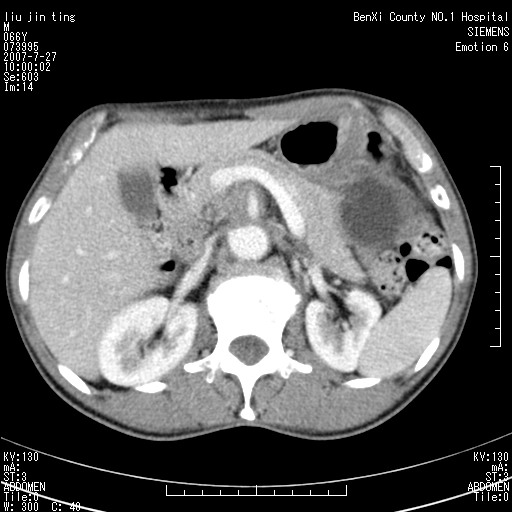
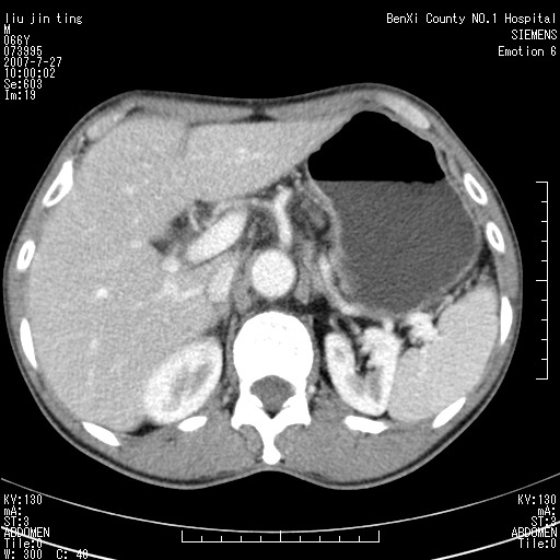
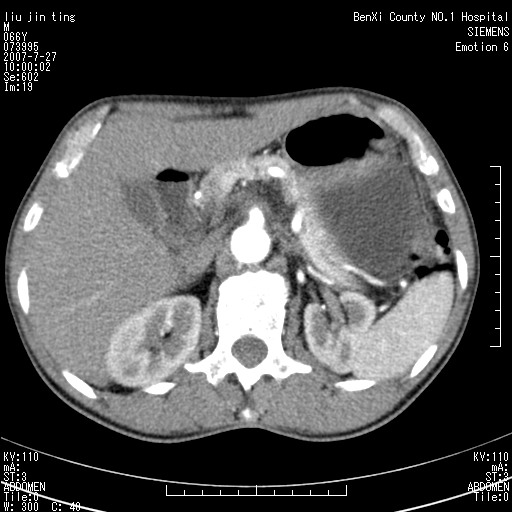
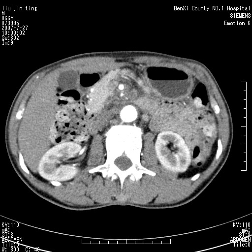
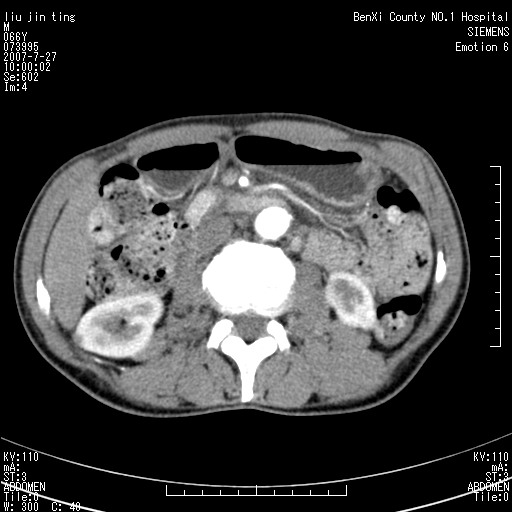
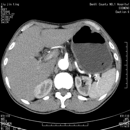
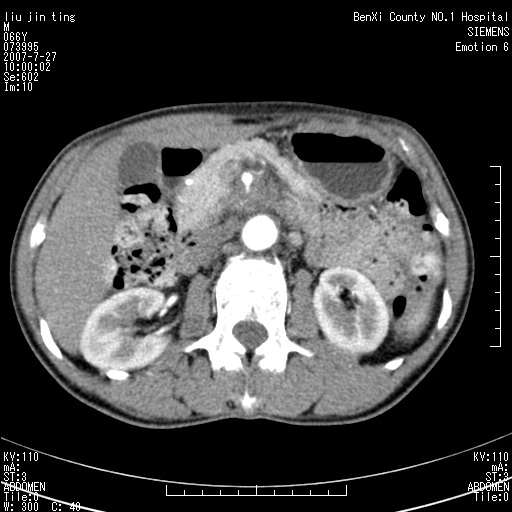
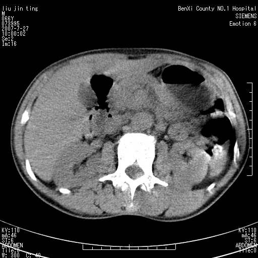
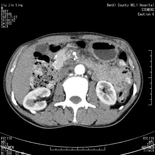
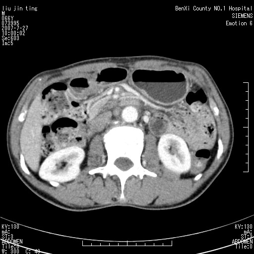
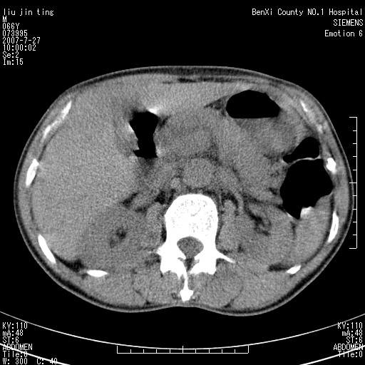
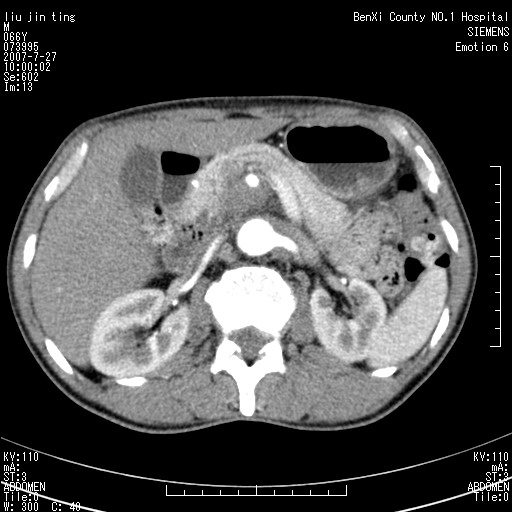
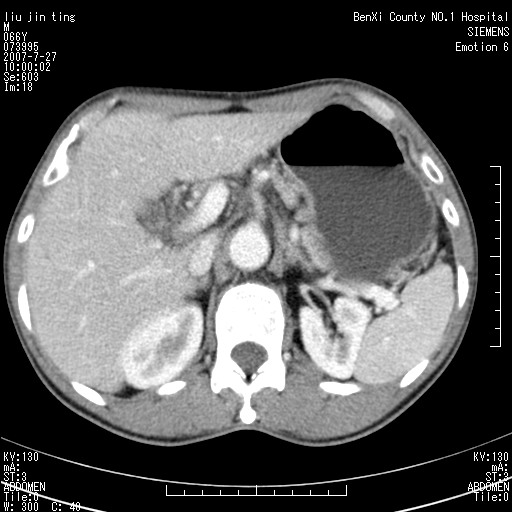
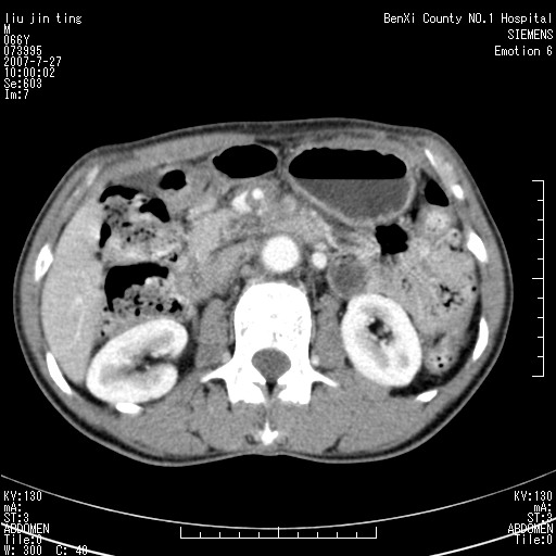
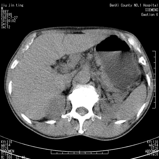
腹痛,背痛,无恶心呕吐,不黄,彩超示胰腺钩癌,ct扫描病灶平扫30-40hu,增强后动脉期40--60hu,静脉期50-68hu,真的是钩突上的么?您要试一试么?

















[本贴已被 翁志蓬 于 2007-7-28 0:04:13 修改过]

作者: 王靖旗    时间: 2007-7-28 03:10
标题: 回复:胰腺ct增强极有挑战性,显身手的时候来了。
动脉期



























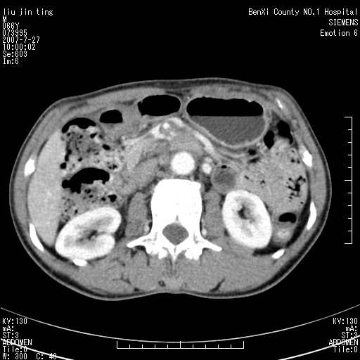
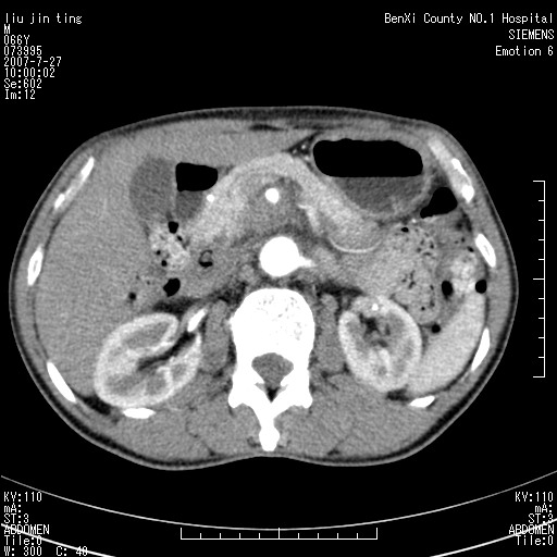
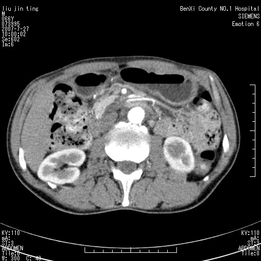
静脉期


















作者: xulianj    时间: 2007-7-28 04:02
肠系膜根部肿块,淋巴结可能,难道是转移性淋巴结。
作者: zxczxc    时间: 2007-7-28 04:08
胰腺炎?
作者: 青莲居士    时间: 2007-7-28 04:59
胰腺边缘模糊
考虑胰腺炎
作者: 听雨呤    时间: 2007-7-28 05:14
我觉得不是胰腺的病变,后腹膜占位,淋巴结?肿瘤?
作者: hyhxn    时间: 2007-7-28 05:16
好像来自肝总管?
作者: zhangyubin1977    时间: 2007-7-28 05:19
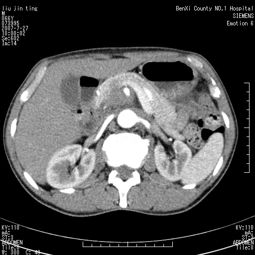
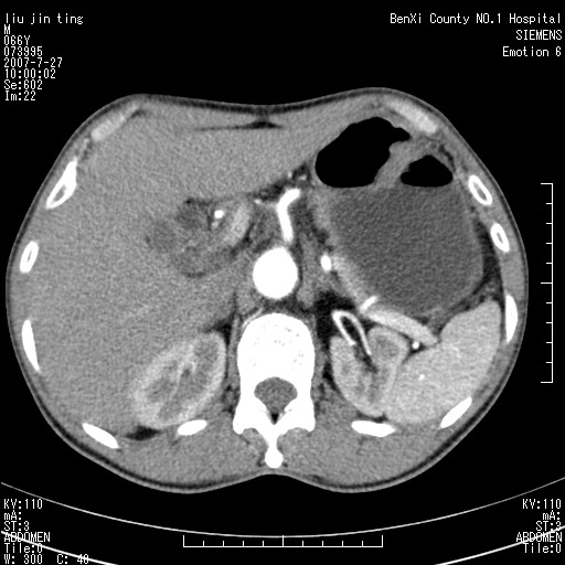
沿着肠系膜上动脉呈匍匐性生长的软组织肿块,形态不规则,包绕肠系膜上动脉,呈明显强化,考虑来源于肠系膜的恶性肿瘤
作者: 同    时间: 2007-7-28 05:19
标题: 回复:胰腺ct增强极有挑战性,显身手的时候来了。
以下是引用xulianj在2007-7-27 20:02:00的发言:[br]肠系膜根部肿块,淋巴结可能,难道是转移性淋巴结。

作者: 天山影士    时间: 2007-7-28 05:24
肠系膜根部肿块,累及肠系膜上动脉,考虑肿大淋巴结累及肠系膜上动脉.
作者: qiushi    时间: 2007-7-28 05:36
考虑肿大淋巴结
作者: zjzjr    时间: 2007-7-28 07:37
腹腔干至肠系膜上动脉水平肿大淋巴结影可能性大.
作者: qc80012345    时间: 2007-7-28 08:10
腹腔干至肠系膜上动脉水平肿大淋巴结影
作者: 胡宇    时间: 2007-7-28 08:41
胰腺边缘模糊
考虑胰腺炎
作者: zyx168    时间: 2007-7-28 14:22
肠系膜根部肿块,考虑为肿大淋巴结。
作者: 余辉    时间: 2007-7-28 17:01
腹腔干至肠系膜上动脉水平肿大淋巴结影可能性大.
作者: davisxuyong    时间: 2007-7-28 17:22
沿着肠系膜上动脉呈匍匐性生长的软组织肿块,形态不规则,包绕肠系膜上动脉,呈轻-中度强化,考虑来源于肠系膜的恶性肿瘤。
支持!
肠系膜上静脉我怎么找不到啊???帮忙指点一下!
作者: 柯长存    时间: 2007-7-28 17:58
有没有查淀粉酶.考虑肠系膜淋巴结肿大
作者: jinning    时间: 2007-7-28 18:17
考虑胰腺炎
作者: 汪涛同志    时间: 2007-7-29 00:50
钩突是正常的,只见腹膜后淋巴结的肿大,考虑淋巴瘤或转移可能。
作者: wqs571018    时间: 2007-7-29 04:05
腹膜后淋巴结的肿大,考虑淋巴瘤或转移可能。期待结果。
作者: 风云01    时间: 2007-7-29 04:22
腹膜后占位性病变,首先考虑肿大淋巴结。
作者: 拾荒者    时间: 2007-7-29 06:11
标题: 回复:ct9194:胰腺ct增强极有挑战性,显身手的时候来了。
以下是引用zhangyubin1977在2007-7-27 21:19:00的发言:[br]沿着肠系膜上动脉呈匍匐性生长的软组织肿块,形态不规则,包绕肠系膜上动脉,呈明显强化,考虑来源于肠系膜的恶性肿瘤

支持!恶性纤维组织细胞瘤可能,与淋巴瘤及淋巴结转移鉴别(腹主动脉周围清晰,其他部位亦未见明显肿大淋巴结)。
作者: 青莲居士    时间: 2007-7-29 07:38
以下是引用xulianj在2007-7-27 20:02:00的发言:
肠系膜根部肿块,淋巴结可能,难道是转移性淋巴结
作者: liushao01    时间: 2007-8-21 08:55
考虑为腹膜后恶性纤维组织细胞瘤。
作者: jinshenghui6424    时间: 2007-9-2 05:38
后腹膜肿块,包围血管,考虑淋巴恶性病变,淋巴瘤或转移。
作者: qjg1040    时间: 2007-9-2 05:55
考虑胰腺炎,腹膜后浸润
作者: dr.yang    时间: 2011-10-30 11:55
沿着肠系膜上动脉呈匍匐性生长的软组织肿块,形态不规则,包绕肠系膜上动脉,呈明显强化,考虑来源于肠系膜的恶性肿瘤

支持!恶性纤维组织细胞瘤可能,与淋巴瘤及淋巴结转移鉴别(腹主动脉周围清晰,其他部位亦未见明显肿大淋巴结)。




欢迎光临 医影在线 (http://bbs.radida.com/bbs/) Powered by Discuz! X3.2