医影在线

标题: PED0289:男性 2岁,先天畸形? [打印本页]

作者: sr8787    时间: 2007-7-30 02:05
标题: PED0289:男性 2岁,先天畸形?
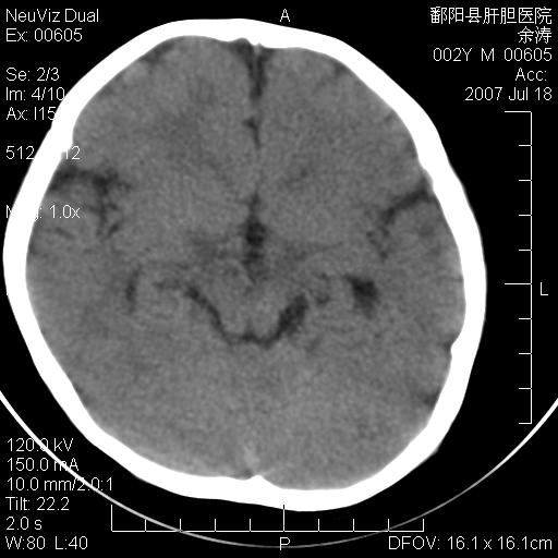
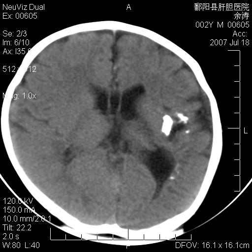
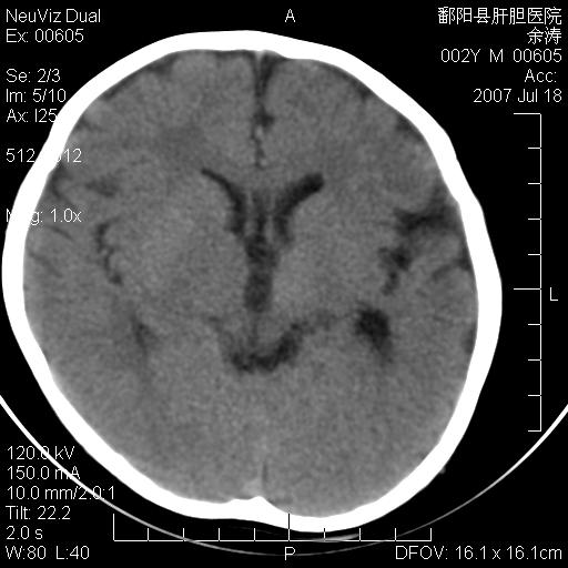
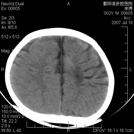
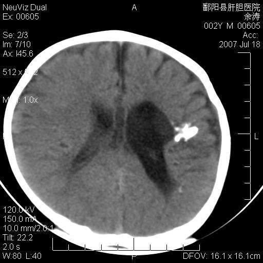
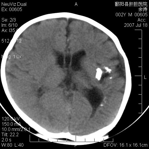
男性 2岁:平时智力障碍。外伤后行颅脑平扫。


















[本贴已被 jiajie 于 2007-7-29 19:16:44 修改过]

作者: andymaomao    时间: 2007-7-30 02:09
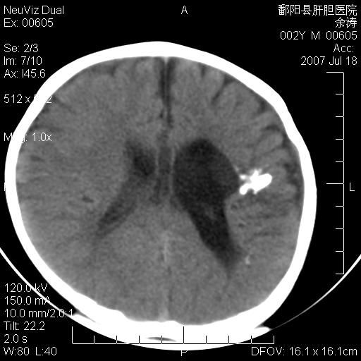
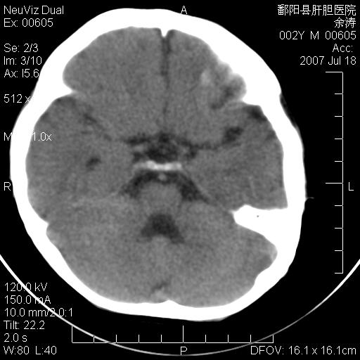
左颞叶“萎缩”,可见不规则高密度影,并左侧室扩大,呈负占位效应...支持考虑先天发育异常(血管发育畸形)可能性大,建议结合进一步检查了解。
作者: 天南地北    时间: 2007-7-30 02:19
标题: 回复:先天畸形?
考虑avm,建议增强扫描
另:

作者: jw-830    时间: 2007-7-30 02:23
支持3楼
作者: 小初学者    时间: 2007-7-30 02:37
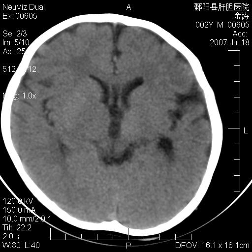
1\\脑裂畸形
2\\结节性硬化
3\\透明隔间腔
作者: fxt2347    时间: 2007-7-30 02:56
左颞叶“萎缩”其内可见不规则点条状高密度影,并左侧室扩大,考虑颅面血管瘤病
作者: 光线    时间: 2007-7-30 02:57
脑裂畸形;左侧脑脑萎缩;透明隔囊肿;血管畸形?
作者: wangzhanshuang    时间: 2007-7-30 03:03
开唇型脑裂畸形
作者: 同    时间: 2007-7-30 04:17
脑裂畸形  血管畸形
作者: 余辉    时间: 2007-7-30 04:54
1\\脑裂畸形
2\\血管畸形或错构瘤
3\\透明隔间腔
作者: liaizhi    时间: 2007-7-30 05:40
左侧颞顶叶钙化灶,其内有小片状低密度影 边缘清晰。与之相邻的脑沟增宽增深 ,左侧侧脑室体部牵拉扩大。考虑左颞顶软化灶并局限性脑萎缩。透明隔间腔。
作者: qiushi    时间: 2007-7-30 06:29
标题: 回复:ped0289:男性 2岁,先天畸形?
左颞叶“萎缩”其内可见不规则点条状高密度影,并左侧室扩大,考虑颅面血管瘤病
作者: 天南地北    时间: 2007-7-30 06:51
仔细看
该病人应该还有胼胝体发育不全
作者: LIAOQIANG    时间: 2007-7-30 23:26
考虑1.脑裂畸形。2.血管畸形。
作者: zjzjr    时间: 2007-7-31 05:38
1\\脑裂畸形
2\\torch综合征.
3\\透明隔间腔
作者: 清清楚楚    时间: 2007-7-31 23:52
脑裂畸形  血管畸形 支持
作者: dyqct    时间: 2007-8-1 00:53
标题: 回复:ped0289:男性 2岁,先天畸形?
以下是引用小初学者在2007-7-29 18:37:00的发言:[br]1\\脑裂畸形[br]2\\结节性硬化[br]3\\透明隔间腔

支持!!
作者: jinning    时间: 2007-8-1 19:10
1\\脑裂畸形
2\\结节性硬化
3\\透明隔间腔
作者: zyx168    时间: 2007-8-6 14:45
脑裂畸形, 血管畸形.




欢迎光临 医影在线 (http://bbs.radida.com/bbs/) Powered by Discuz! X3.2