医影在线
标题: PED0290:少儿先天畸形? [打印本页]
作者: sr8787 时间: 2007-7-30 19:26
标题: PED0290:少儿先天畸形?
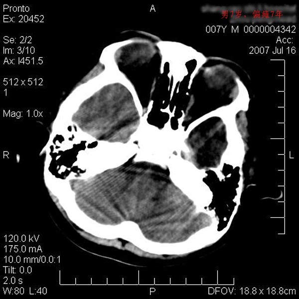
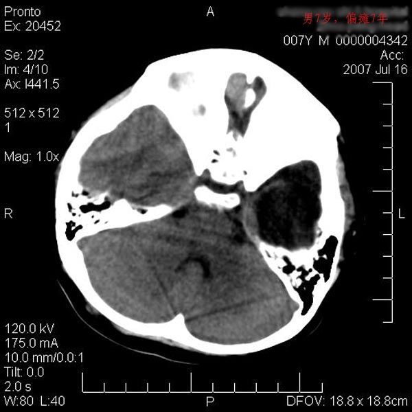
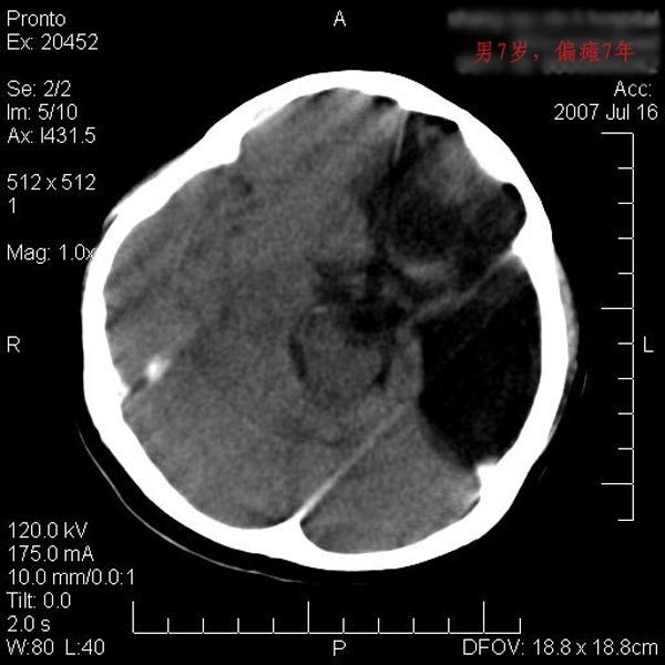
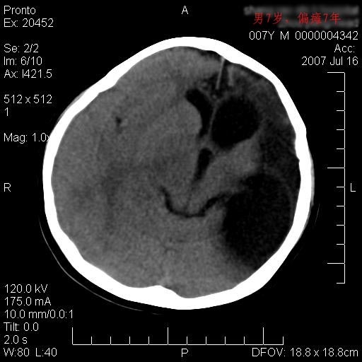
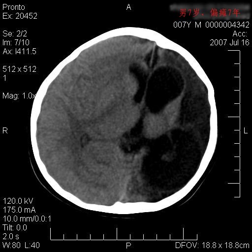
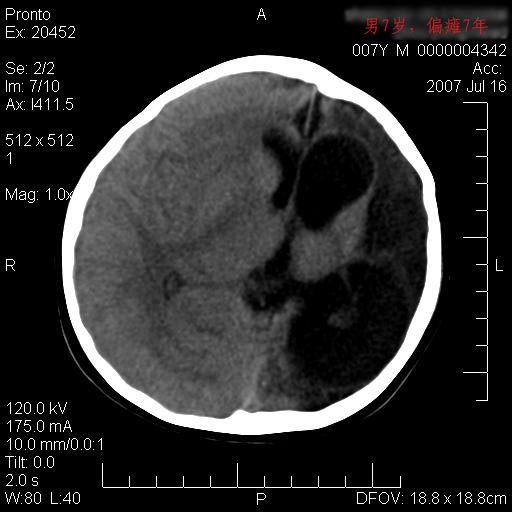
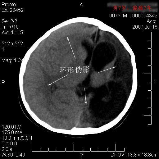
男性 7岁:偏瘫7年,出生时脑内出血。









[本贴已被 jiajie 于 2007-7-30 13:15:02 修改过]
作者: zjzjr 时间: 2007-7-30 19:50
左侧大脑半球发育不良、软化灶伴穿通畸形形成。
作者: luochengyi 时间: 2007-7-30 20:14
左侧大脑半球发育不良、软化灶伴穿通畸形形成。
作者: 天南地北 时间: 2007-7-30 20:49
标题: 回复:少儿先天畸形
以下是引用zjzjr在2007-7-30 11:50:00的发言:[br]左侧大脑半球发育不良、软化灶伴穿通畸形形成。
作者: liaizhi 时间: 2007-7-30 22:17
左侧脑叶体积缩小。密度减低,左侧脑室牵拉扩大并向左移位,左侧脑室颞角与侧裂池相通并呈囊性扩张。考虑左侧大脑发育不全,软化灶并穿通畸形。
[本贴已被 jiajie 于 2007-8-19 7:13:23 修改过]
作者: LIAOQIANG 时间: 2007-7-30 23:30
支持考虑左侧大脑半球发育不良、软化灶伴穿通畸形形成。
作者: rongzhangyile 时间: 2007-7-31 01:04
左侧大脑半球发育不良、软化灶伴穿通畸形形成.
作者: 同 时间: 2007-7-31 05:17
支持左侧大脑半球发育不良,软化灶伴穿通畸形形成.
作者: 清清楚楚 时间: 2007-7-31 23:54
支持考虑左侧大脑半球发育不良、软化灶伴穿通畸形形成。
作者: dyqct 时间: 2007-8-1 00:56
标题: 回复:ped0290:少儿先天畸形?
以下是引用zjzjr在2007-7-30 11:50:00的发言:[br]左侧大脑半球发育不良、软化灶伴穿通畸形形成。
支持!!
作者: jiajie 时间: 2007-8-1 02:54
标题: 回复:ped0290:少儿先天畸形?
左侧颅腔变小,左侧大脑半球体积缩小密度减低,呈负占位效应,左侧侧脑室扩大,出生时有脑出血病史。多考虑先天因素,左侧大脑前、中动脉起始部狭窄或闭塞,即烟雾病可能性大。
(另ct机器有伪影,需校正。)

作者: qiushi 时间: 2007-8-1 05:34
左侧大脑半球发育不良、软化灶伴穿通畸形形成
作者: jinning 时间: 2007-8-1 19:08
左侧大脑半球发育不良、软化灶伴穿通畸形形成。
作者: gjj6818 时间: 2007-8-4 18:08
支持考虑左侧大脑半球发育不良、软化灶伴穿通畸形形成.
作者: zyx168 时间: 2007-8-6 14:41
左侧大脑半球发育不良、软化灶伴穿通畸形形成。
作者: xlhdxh 时间: 2007-8-14 18:39
学习了~~~
作者: jsmctmri 时间: 2007-8-16 19:58
y
| 欢迎光临 医影在线 (http://bbs.radida.com/bbs/) |
Powered by Discuz! X3.2 |