医影在线
标题: CT9218:男性,50岁,脑出血术后复查,两次片相隔半月,请分 [打印本页]
作者: dzhqhm 时间: 2007-7-30 20:24
标题: CT9218:男性,50岁,脑出血术后复查,两次片相隔半月,请分















[本贴已被 jiajie 于 2007-7-30 13:08:47 修改过]
作者: ZHANGZHONGSHOU 时间: 2007-7-30 20:41
标题: 回复
脑膜明显脑回样强化,提示为脑膜炎。请结合临床。
[本贴已被 zhangzhongshou 于 2007-7-30 12:41:49 修改过]
作者: liaizhi 时间: 2007-7-30 21:29
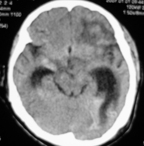
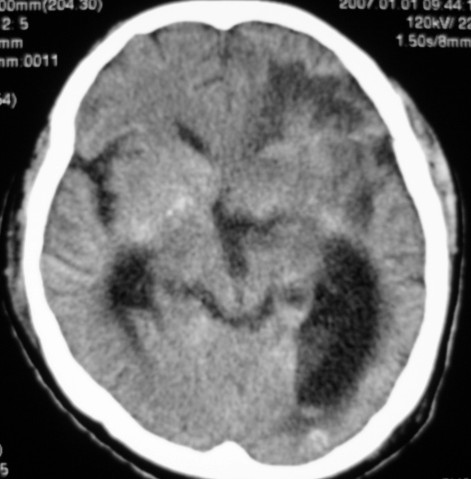
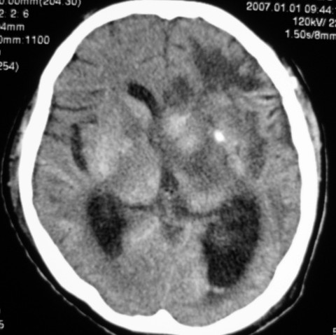
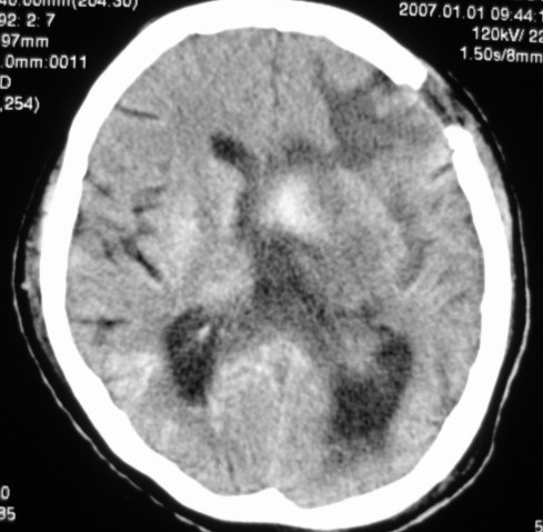
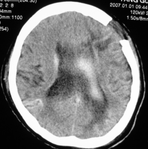
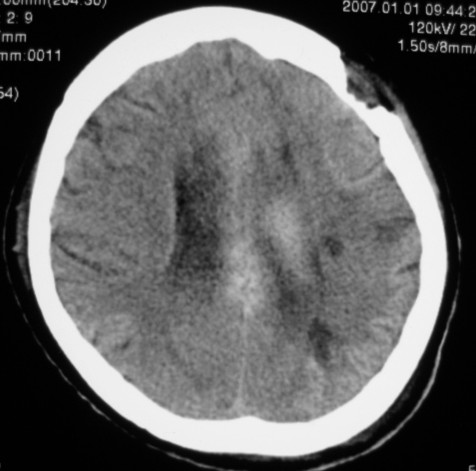
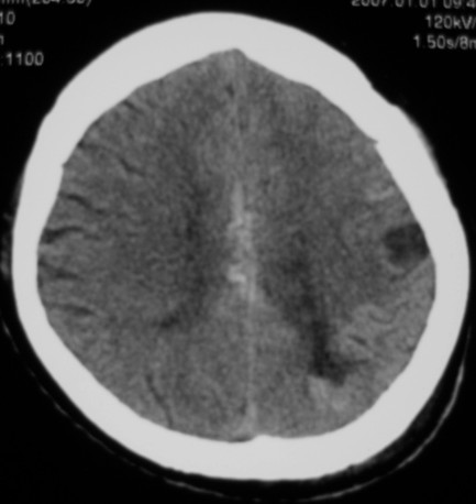
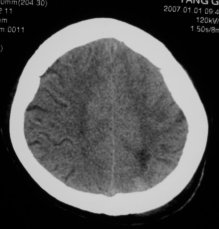
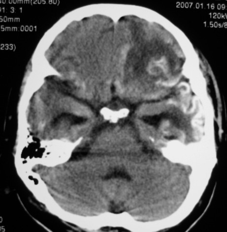
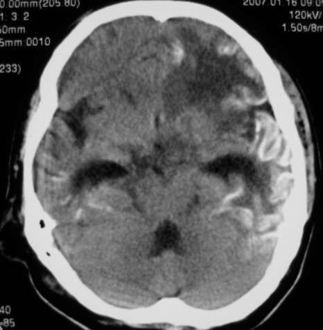
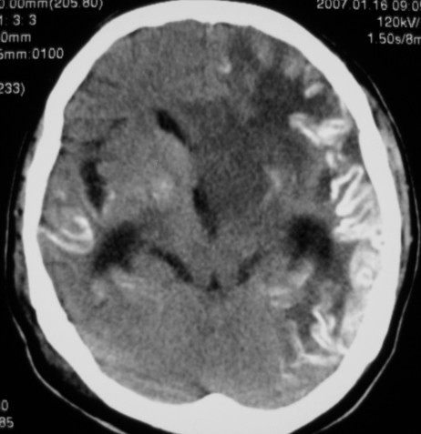
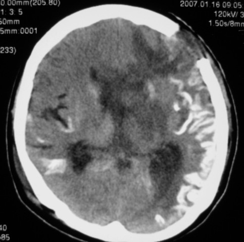
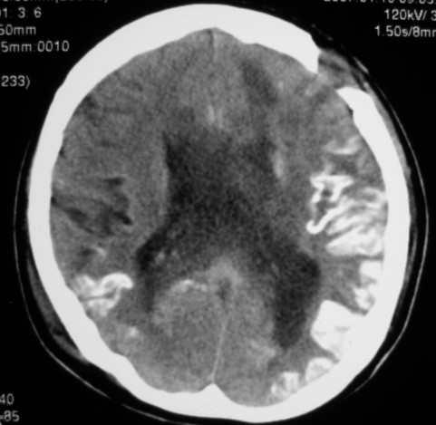
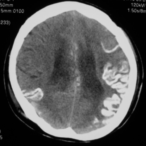
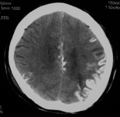
第一次ct片脑出血术后,出血吸收期。第二次ct 片左颞顶枕部及右颞顶部有脑回样高密度影。考虑珠网膜下腔出血。脑出血术后改变,脑出血恢复期 并脑积水。
作者: zjzjr 时间: 2007-7-30 23:10
两个都是平扫的.
作者: 谭书德 时间: 2007-7-31 00:01
蛛网膜下腔出血会出现这样的强化不?若会应考虑。
作者: 一棵树 时间: 2007-7-31 00:06
标题: 回复:ct9218:男性,50岁,脑出血术后复查,两次片相隔半
以下是引用liaizhi在2007-7-30 13:29:00的发言:[br]第一次ct片脑出血术后,出血吸收期。第二次ct 片左颞顶枕部及右颞顶部有脑回样高密度影。考虑珠网膜下腔出血。脑出血术后改变,脑出血恢复期 并脑积水。
作者: jyzyy 时间: 2007-7-31 00:14
1.考虑蛛网膜下腔出血,结合一下临床症状吧。
2.脑出血术后改变。
作者: wqs571018 时间: 2007-7-31 00:21
标题: 回复:ct9218:男性,50岁,脑出血术后复查,两次片相隔半
以下是引用liaizhi在2007-7-30 13:29:00的发言:[br]第一次ct片脑出血术后,出血吸收期。第二次ct 片左颞顶枕部及右颞顶部有脑回样高密度影。考虑珠网膜下腔出血。脑出血术后改变,脑出血恢复期 并脑积水。
作者: zwjyr 时间: 2007-7-31 00:22
第2次是增强片吗?我看咋不象呢.
作者: churunxiang 时间: 2007-7-31 02:13
第一次ct片脑出血术后,出血吸收期。第二次ct 片左颞顶枕部及右颞顶部有脑回样高密度影。考虑珠网膜下腔出血。脑出血术后改变,脑出血恢复期 并脑积水
作者: 江尾海头 时间: 2007-7-31 02:54
考虑慢性蛛网膜下腔出血. 对了,ct值是多少?
作者: xulianj 时间: 2007-7-31 04:21
网膜下腔出血
作者: ydx_74 时间: 2007-7-31 04:28
半月时间不大可能钙化,考虑珠网膜下腔出血
作者: 随缘的人 时间: 2007-7-31 04:39
第一次ct片脑出血术后,出血吸收期。第二次ct 片左颞顶枕部及右颞顶部有脑回样高密度影。考虑珠网膜下腔出血。脑出血术后改变,脑出血恢复期 并脑积水。
作者: 一个人 时间: 2007-7-31 04:42
以下是引用liaizhi在2007-7-30 13:29:00的发言:
第一次ct片脑出血术后,出血吸收期。第二次ct 片左颞顶枕部及右颞顶部有脑回样高密度影。考虑珠网膜下腔出血。脑出血术后改变,脑出血恢复期 并脑积水。
作者: 同 时间: 2007-7-31 05:00
支持三楼战友分析诊断
作者: luochengyi 时间: 2007-7-31 05:14
第一次ct片脑出血术后,出血吸收期。第二次ct 片左颞顶枕部及右颞顶部有脑回样高密度影。考虑珠网膜下腔出血。脑出血术后改变,脑出血恢复期 并脑积水。
作者: 汪涛同志 时间: 2007-7-31 05:24
是蛛网膜下腔出血么?蛛网膜下腔出血应该在脑沟里,而此高密度影是沿脑回分布,应该是脑膜感染后钙化灶形成。
作者: 青莲居士 时间: 2007-7-31 05:45
1.考虑蛛网膜下腔出血,结合一下临床症状吧。
2.脑出血术后改变。
作者: jsgdoctor 时间: 2007-7-31 05:56
标题: 回复:ct9218:男性,50岁,脑出血术后复查,两次片相隔半
以下是引用liaizhi在2007-7-30 13:29:00的发言:[br]第一次ct片脑出血术后,出血吸收期。第二次ct 片左颞顶枕部及右颞顶部有脑回样高密度影。考虑珠网膜下腔出血。脑出血术后改变,脑出血恢复期 并脑积水。
作者: qc80012345 时间: 2007-7-31 06:29
脑炎;脑出血术后改变;脑积水。
作者: liuyue 时间: 2007-7-31 15:01
应该是脑膜感染后钙化灶形成。脑出血术后改变;脑积水
作者: 清清楚楚 时间: 2007-7-31 15:05
应该是脑膜感染后钙化灶形成。脑出血术后改变;脑积水. 支持
作者: zhangkai 时间: 2007-7-31 16:20
考虑脑膜感染后的改变,术后改变。
作者: jw-830 时间: 2007-7-31 17:25
以下是引用liaizhi在2007-7-30 13:29:00的发言:
第一次ct片脑出血术后,出血吸收期。第二次ct 片左颞顶枕部及右颞顶部有脑回样高密度影。考虑珠网膜下腔出血。脑出血术后改变,脑出血恢复期 并脑积水。
作者: huobingsheng 时间: 2007-7-31 18:42
应该是脑膜感染后钙化灶形成。脑出血术后改变;脑积水
作者: jiazhe 时间: 2007-7-31 20:10
应该是脑回钙化,不是出血
作者: phsdyx 时间: 2007-7-31 20:51
ct值是多少啊,应该可以帮助鉴别是钙化还是出血
作者: 拾荒者 时间: 2007-7-31 21:06
脑回状高密度影,首先要考虑脑颜面血管瘤病,不知高密度区ct值多少,对于鉴别是蛛网膜下腔出血还是钙化有意义,只是病人半月前“钙化”还较局限,因此还是考虑与脑出血有关。当然要密切结合病史及临床,增强扫描有意义。
作者: qiushi 时间: 2007-7-31 21:44
考虑是脑回钙化,不是出血,什末样的蛛网膜下腔出血是这样的?我没见过!考虑脑炎性钙化,要结合病史!
作者: jiangjing 时间: 2007-7-31 22:01
第一次ct片脑出血术后,出血吸收期。第二次ct 片左颞顶枕部及右颞顶部有脑回样高密度影。考虑珠网膜下腔出血。脑出血术后改变,脑出血恢复期 并脑积水
作者: 晨星剑 时间: 2007-7-31 22:12
影像应密切结合临床.请传临床资料
作者: dyqct 时间: 2007-8-1 00:35
ct值多少?支持皮质钙化。
作者: 老林 时间: 2007-8-1 00:40
两次的片都有,第二次比第一次的明显
作者: jinning 时间: 2007-8-1 00:56
考虑珠网膜下腔出血
作者: yangfan 时间: 2007-8-1 03:12
我觉得大家说得都对,我看不懂这个片子。除了各位老师的意见之外,我是像有无可能是这样呢:由于外伤后脑组织损伤,相对于外伤前,脑组织可能处于缺血状态,所以脑回的强化可否用脑缺血(相当于脑梗塞后脑回样强化)后的脑回样强化来解释呢。
学无止境,这个片很难
作者: 宝天曼 时间: 2007-8-1 05:55
1.考虑蛛网膜下腔出血,结合一下临床症状吧。
2.脑出血术后改变。
作者: chengjiaqiu1 时间: 2007-8-1 21:40
qidai结论
作者: swyyy2007 时间: 2007-8-1 23:41
我认为是不是蛛网膜下腔出血后血液内含铁血黄素沉着所致
作者: lyl1975 时间: 2007-8-2 00:05
珠网膜下腔出血可能性大
作者: dr.yang 时间: 2008-11-17 07:51
结果呢??
| 欢迎光临 医影在线 (http://bbs.radida.com/bbs/) |
Powered by Discuz! X3.2 |