











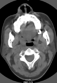
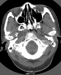
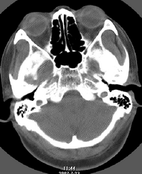
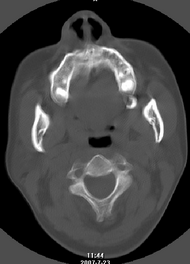
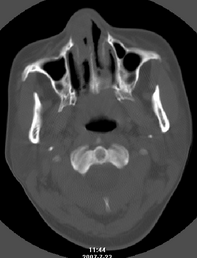
以下是引用还珠格格在2007-7-31 19:32:00的发言:[br]右侧鼻前庭内可见软组织块影,部分鼻中隔包绕其内,邻近骨质未见明显吸收破坏,考虑 1、鼻息肉可能性大 内翻乳头状廇不除外。期待结果。
以下是引用zjzjr在2007-7-31 20:29:00的发言:[br]右侧鼻前庭内可见软组织块影,部分鼻中隔包绕其内,邻近骨质未见明显吸收破坏,考虑 1、鼻息肉可能性大 内翻乳头状廇及肉芽肿类病变除外。期待结果。
| 欢迎光临 医影在线 (http://bbs.radida.com/bbs/) | Powered by Discuz! X3.2 |