









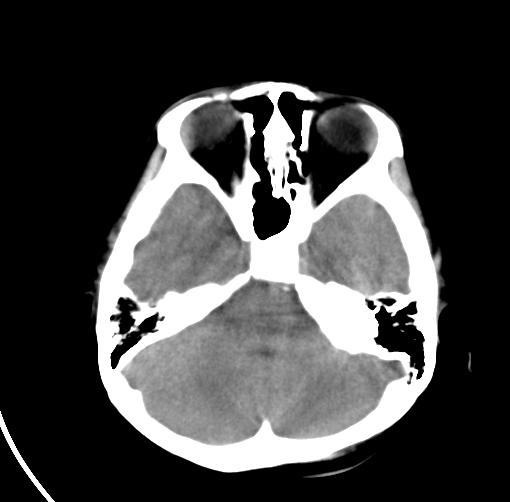
以下是引用zjzjr在2007-7-31 22:25:00的发言:[br]考虑脉络裂囊肿
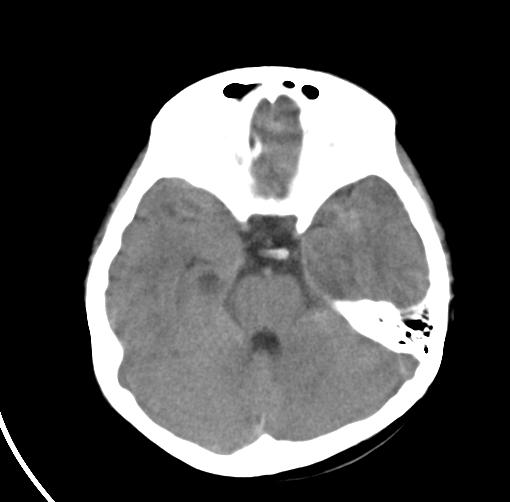
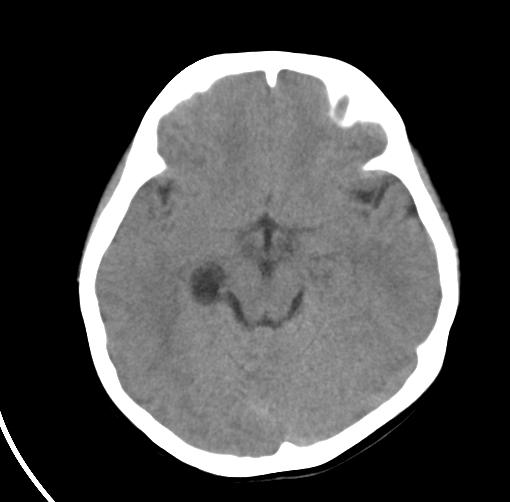
以下是引用sunjh2266在2007-7-31 23:35:00的发言:[br]脉络膜裂,是胚胎发育过程中脉络襞突入侧脑室下角构成脉络丛时形成,位于丘脑下部与海马之间,走行与海马平行。脉络裂内侧通于环池,外侧为侧脑室下角,前面是海马钩及杏仁体,后部与海马沟交通。脉络裂内有参与组成侧脑室脉络丛的脉络膜前动脉及脉络膜后外动脉及其分支走行。[br] mri轴位像,在大脑脚的前外侧多能显示脉络裂的前部,呈左右走行的含脑脊液间隙,前后内外分别与杏仁体、海马、海马钩及侧脑室下角相邻(图1);冠状位像,在扫及脑干的多个层面上,脉络裂均可被清晰显示,因而是显示脉络裂的最佳扫描方式。偏前的部分层面还可见到呈切迹状的海马沟走行于海马旁回内上方;矢状位像,海马旁回上方可见一分叉状裂隙,类似一斜卧的“入”字,接近水平走行的一撇为脉络裂,而由后上向前下走行的一捺为从扣带沟延续而来的海马沟。[br] [br]
| 欢迎光临 医影在线 (http://bbs.radida.com/bbs/) | Powered by Discuz! X3.2 |