医影在线
标题: PED0292:请大家讨论下这个BABY的片子! [打印本页]
作者: wangxiaoyu 时间: 2007-8-1 06:05
标题: PED0292:请大家讨论下这个BABY的片子!
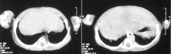
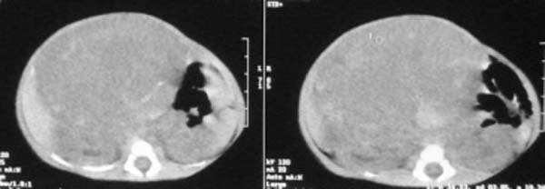
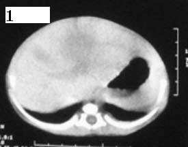
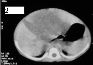
这个女孩刚出生一天,肚子比较大,没任何症状.比较少见,请大家积极发言!!









[本贴已被 jiajie 于 2007-8-1 10:04:57 修改过]
作者: zjzjr 时间: 2007-8-1 06:23
肝母细胞瘤或神经源性肿瘤.
作者: jsgdoctor 时间: 2007-8-1 06:33
考虑肝母细胞瘤或神经母细胞瘤.
作者: 天南地北 时间: 2007-8-1 06:43
标题: 回复:请大家讨论下这个baby的片子!
以下是引用jsgdoctor在2007-7-31 22:33:00的发言:[br]考虑肝母细胞瘤或神经母细胞瘤.
支持
倾向神经母细胞瘤
作者: jinning 时间: 2007-8-1 19:05
考虑肝母细胞瘤或神经母细胞瘤.
作者: 随缘的人 时间: 2007-8-1 20:15
考虑肝母细胞瘤或神经母细胞瘤.
作者: ZHANGZHONGSHOU 时间: 2007-8-1 20:39
肝母细胞瘤可能性大
作者: 听蝉观竹 时间: 2007-8-1 21:24
标题: 回复:ped0292:请大家讨论下这个baby的片子!
这个病例定位诊断:1、可以肯定肿块不在肝脏。2、肿块在腹膜后,因为肠管向前侧方推移,肾脏明显向后推挤,腹主动脉及下腔静脉被肿块包绕。
定性诊断比较困难,该病例肿块为实质性,小儿最常见的腹膜后肿瘤第一位应该是-----神经母细胞瘤!
[本贴已被 jiajie 于 2007-8-19 7:13:31 修改过]
作者: dyqct 时间: 2007-8-1 22:12
标题: 回复:ped0292:请大家讨论下这个baby的片子!
以下是引用zjzjr在2007-7-31 22:23:00的发言:[br]肝母细胞瘤或神经源性肿瘤.
支持!!
作者: 听蝉观竹 时间: 2007-8-2 08:30
标题: 回复:ped0292:请大家讨论下这个baby的片子!

以下是引用dyqct在2007-8-1 14:12:00的发言:[br][quote]以下是引用zjzjr在2007-7-31 22:23:00的发言:[br]肝母细胞瘤或神经源性肿瘤.
[br]支持!![/quote]
与dyqct版主商榷, 您考虑的到底是肝脏还是后腹膜占位?不能模棱两可,因为肝母细胞瘤或神经源性肿瘤两种肿瘤的定位诊断相差太远啦!!
我的意见是-----定位诊断是“1、可以肯定肿块不在肝脏。2、肿块在腹膜后,因为肠管向前侧方推移,肾脏明显向后推挤,腹主动脉及下腔静脉被肿块包绕。”
定性诊断比较困难,该病例肿块为实质性,小儿最常见的腹膜后肿瘤第一位应该是-----神经母细胞瘤!







[本贴已被 听蝉观竹 于 2007-8-2 13:26:47 修改过]
[本贴已被 jiajie 于 2007-8-19 7:13:41 修改过]
作者: 同 时间: 2007-8-2 14:52
考虑肝母细胞瘤或神经源性肿瘤.
作者: wangzhanshuang 时间: 2007-8-2 22:04
肝脏只是受推压改变,支持神经母细胞瘤
作者: liaizhi 时间: 2007-8-3 09:02
右中下腹部囊实性密度影,内有小细条状钙化影,胃及腹部肠管受压向左移位,肾脏受压向后移位,腹主动脉及下腔静脉包饶。考虑腹膜后畸胎瘤可能性大。
[本贴已被 jiajie 于 2007-8-20 6:51:19 修改过]
作者: zwz 时间: 2007-8-5 00:40
淋巴管瘤?
作者: LIMMM 时间: 2007-8-5 17:06
支持
倾向神经母细胞瘤
作者: zyx168 时间: 2007-8-6 14:36
考虑肝母细胞瘤
作者: 晨星剑 时间: 2007-8-6 22:08
支持10楼.并请mri协查.
作者: 清清楚楚 时间: 2007-8-8 15:40
支持8楼意见
作者: xlhdxh 时间: 2007-8-14 18:33
看好不同意见的分歧引起的争议.....定位好像是最大的分歧哦,,,不过还是支持神经母细胞瘤.
作者: jsmctmri 时间: 2007-8-16 19:56
神母
| 欢迎光临 医影在线 (http://bbs.radida.com/bbs/) |
Powered by Discuz! X3.2 |