
























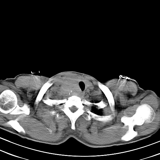
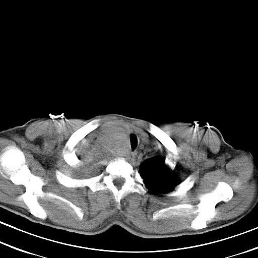
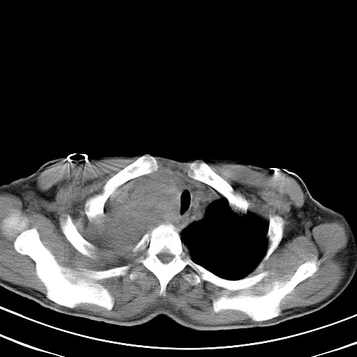
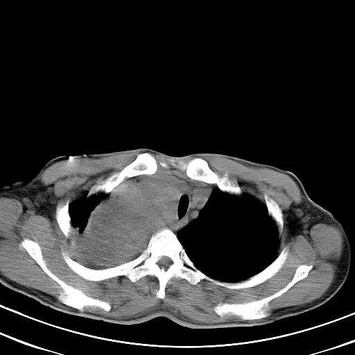
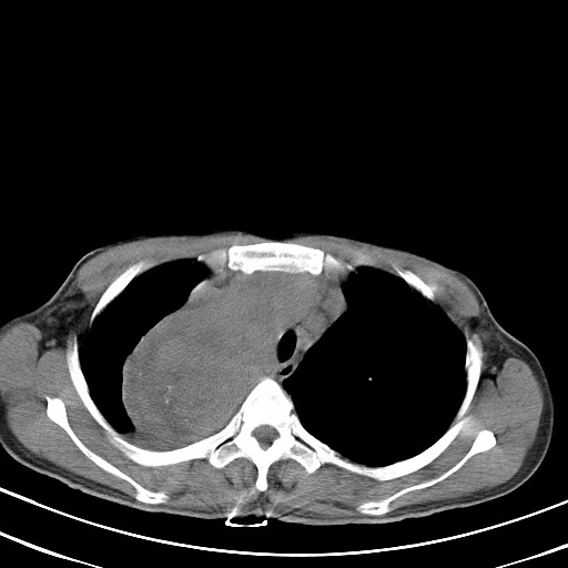
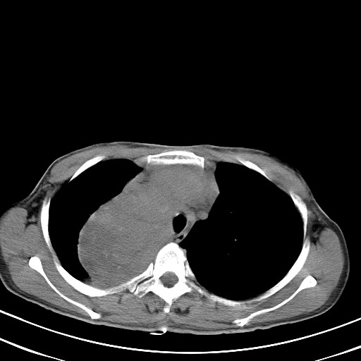
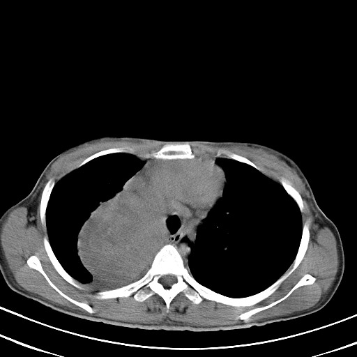
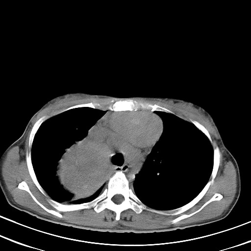
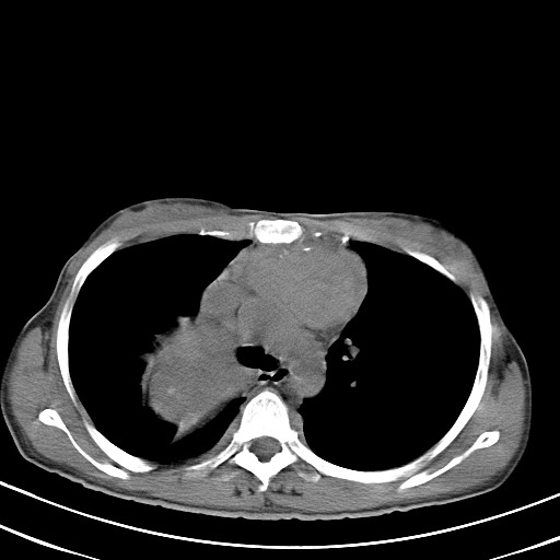
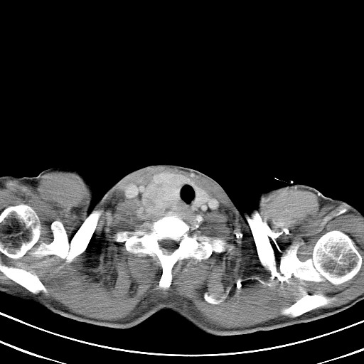
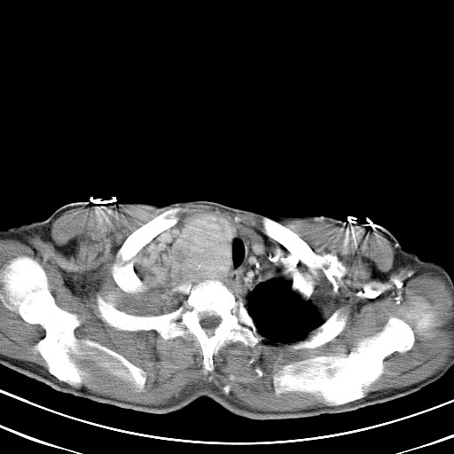
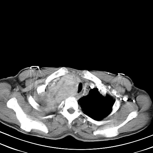
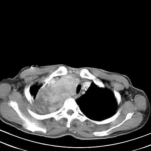
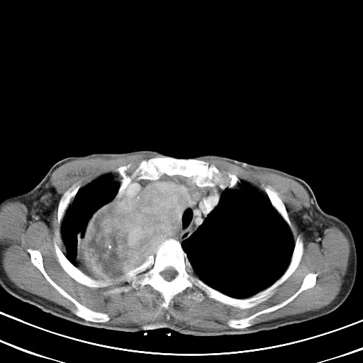
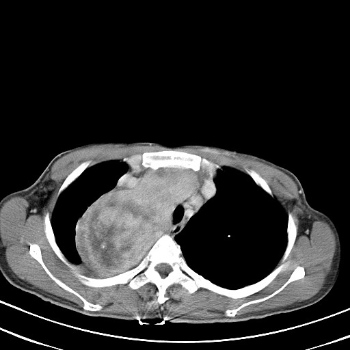
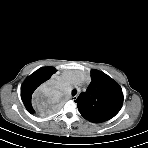
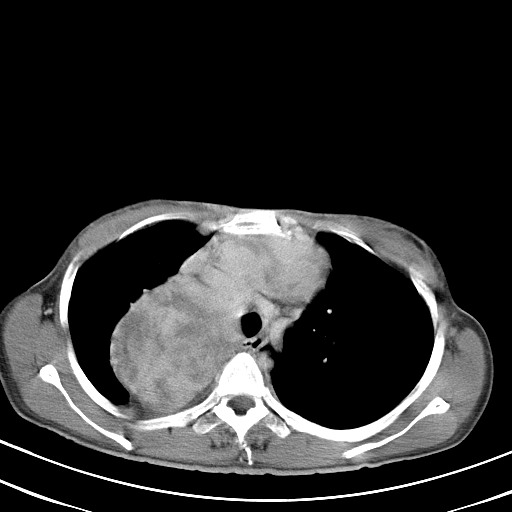
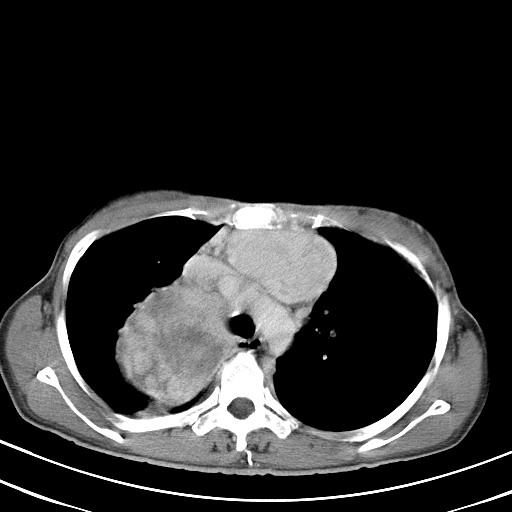
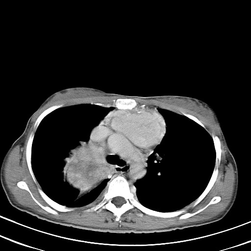
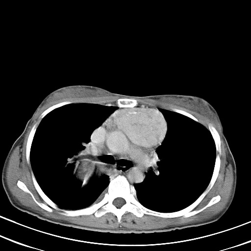
以下是引用汪涛同志在2007-8-2 0:40:00的发言:[br]病变虽然广泛,同时侵及双侧纵隔,但是无论左侧和右侧上下观察都是与右侧颈部甲状腺相延续的,而且强化幅度基本一致,又同时具有恶性病变病变的某些特征:肿块过大且密度不均,部分层面与正常纵隔结构分界不清,结合病史已有两年,考虑:胸内甲状腺肿恶变可能。[br]
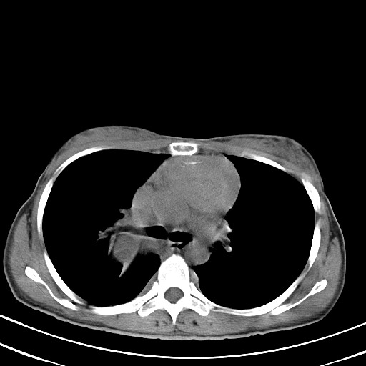
以下是引用汪涛同志在2007-8-2 0:40:00的发言:[br]病变虽然广泛,同时侵及双侧纵隔,但是无论左侧和右侧上下观察都是与右侧颈部甲状腺相延续的,而且强化幅度基本一致,又同时具有恶性病变病变的某些特征:肿块过大且密度不均,部分层面与正常纵隔结构分界不清,结合病史已有两年,考虑:胸内甲状腺肿恶变可能。[br]
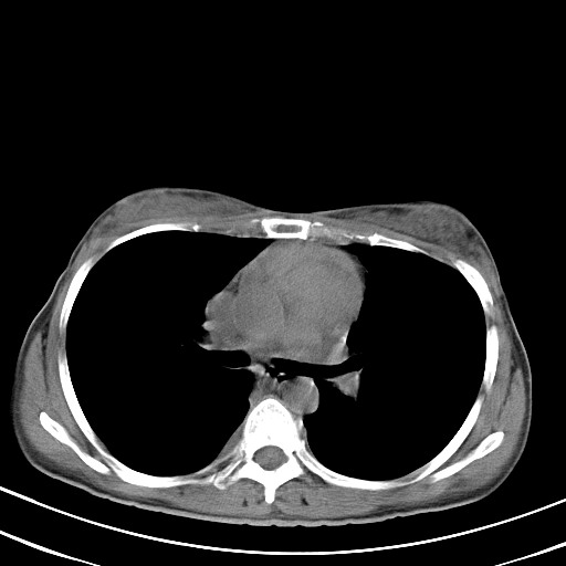
以下是引用汪涛同志在2007-8-2 0:40:00的发言:[br]病变虽然广泛,同时侵及双侧纵隔,但是无论左侧和右侧上下观察都是与右侧颈部甲状腺相延续的,而且强化幅度基本一致,又同时具有恶性病变病变的某些特征:肿块过大且密度不均,部分层面与正常纵隔结构分界不清,结合病史已有两年,考虑:胸内甲状腺肿恶变可能。[br]
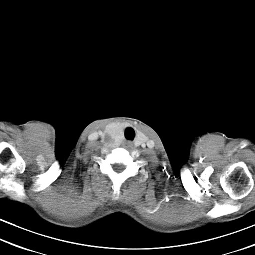
以下是引用汪涛同志在2007-8-2 0:40:00的发言:[br]病变虽然广泛,同时侵及双侧纵隔,但是无论左侧和右侧上下观察都是与右侧颈部甲状腺相延续的,而且强化幅度基本一致,又同时具有恶性病变病变的某些特征:肿块过大且密度不均,部分层面与正常纵隔结构分界不清,结合病史已有两年,考虑:胸内甲状腺肿恶变可能。[br]
以下是引用liyuangyuang在2007-9-1 22:02:00的发言:[br]支持汪涛同志意见
| 欢迎光临 医影在线 (http://bbs.radida.com/bbs/) | Powered by Discuz! X3.2 |