医影在线

标题: CT9246:转移瘤,有结肠癌手术史. [打印本页]

作者: zjzjr    时间: 2007-8-2 21:56
标题: CT9246:转移瘤,有结肠癌手术史.












[本贴已被 jiajie 于 2007-8-2 15:16:10 修改过]

作者: 天南地北    时间: 2007-8-2 22:09
支持楼主意见
有增强片子更好看
作者: jinning    时间: 2007-8-2 22:56
支持楼主
作者: 还珠格格    时间: 2007-8-2 22:58
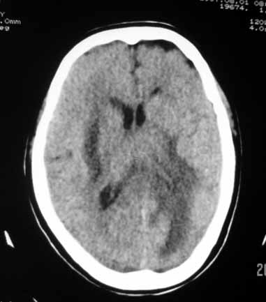
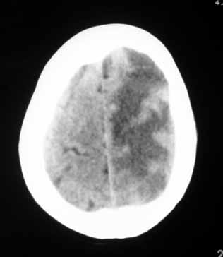
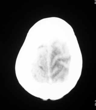
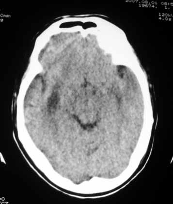
1、右侧外囊区脑软化;
2、左侧额、顶、枕区脑转移瘤。
作者: zhangkai    时间: 2007-8-2 23:09
转移瘤。
作者: jiangjing    时间: 2007-8-2 23:09
支持
1、右侧外囊区脑软化;
2、左侧额、顶、枕区脑转移瘤。
建议增强
作者: rongzhangyile    时间: 2007-8-2 23:40
转移瘤
作者: liuqiang    时间: 2007-8-2 23:42
典型的“转移瘤”。
作者: 陈剑    时间: 2007-8-2 23:45
最好做个增强
作者: jinguoji    时间: 2007-8-3 00:20
考虑转移瘤.
作者: sq7600    时间: 2007-8-3 00:33
转移瘤
作者: 卜一    时间: 2007-8-3 00:35
典型的“转移瘤”。
(多发 小病灶,大水肿!)
作者: qiushi    时间: 2007-8-3 01:42
1、右侧外囊区脑软化.
2、左侧额、顶、枕区脑转移瘤.
作者: dyqct    时间: 2007-8-3 02:04
考虑:1、左侧额、顶、枕区脑转移瘤;
      2、右侧外囊区脑软化。
作者: luochengyi    时间: 2007-8-3 02:15
1、右侧外囊区脑软化;
2、左侧额、顶、枕区脑转移瘤。
作者: jian-5587    时间: 2007-8-3 04:11
转移瘤
作者: 471792    时间: 2007-8-3 04:24
小病灶,在水肿。符合转移瘤改变。
作者: xulianj    时间: 2007-8-3 04:53
转移瘤
作者: 国王    时间: 2007-8-3 05:00
转移瘤
作者: 同    时间: 2007-8-3 05:19
支持转移瘤
作者: highsky    时间: 2007-8-3 05:40
小转移大水肿,支持转移
作者: 拾荒者    时间: 2007-8-3 06:33
脑内多发结节性小病灶,周围水肿明显,结合结肠癌病史,典型的转移瘤。
作者: 悬壶济世    时间: 2007-8-3 06:45
标题: 回复:ct9246:转移瘤,有结肠癌手术史.
以下是引用jiangjing在2007-8-2 15:09:00的发言:[br]支持[br]1、右侧外囊区脑软化;[br] 2、左侧额、顶、枕区脑转移瘤。[br] 建议增强

作者: liaizhi    时间: 2007-8-3 07:16
标题: 回复:ct9246:转移瘤,有结肠癌手术史.
以下是引用jinguoji在2007-8-2 16:20:00的发言:[br]考虑转移瘤.

作者: zyx168    时间: 2007-8-3 15:36
转移瘤.
作者: psh    时间: 2007-8-3 16:26
典型。
作者: 红樱枪    时间: 2007-8-4 01:51
1、右侧外囊区脑软化;
2、左侧额、顶、枕区脑转移瘤。
作者: 宝天曼    时间: 2007-8-5 08:17
支持楼主意见
有增强片子更好看
作者: 青莲居士    时间: 2007-8-5 18:36
脑转移瘤
右侧外囊区脑软化




欢迎光临 医影在线 (http://bbs.radida.com/bbs/) Powered by Discuz! X3.2