医影在线

标题: PED0294: 2月婴儿.VitK缺乏症颅内出血.. [打印本页]

作者: zjzjr    时间: 2007-8-2 21:59
标题: PED0294: 2月婴儿.VitK缺乏症颅内出血..










[本贴已被 jiajie 于 2007-8-2 15:18:09 修改过]

作者: 天南地北    时间: 2007-8-2 22:08
学习了
作者: jinning    时间: 2007-8-2 22:55
支持楼主
作者: jiangjing    时间: 2007-8-2 23:07
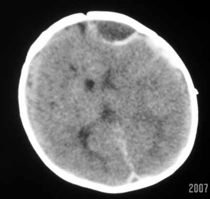
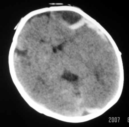
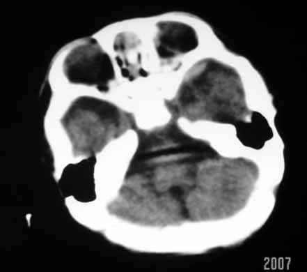
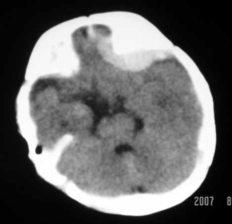
可见 硬膜下及硬膜外血肿,蛛网膜下腔出血
作者: dyqct    时间: 2007-8-3 02:14
典型!!
作者: 同    时间: 2007-8-3 05:49
标题: 回复:ped0294: 2月婴儿.vitk缺乏症颅内出血..
以下是引用jiangjing在2007-8-2 15:07:00的发言:[br]可见 硬膜下及硬膜外血肿,蛛网膜下腔出血

作者: liaizhi    时间: 2007-8-3 08:16
vk缺乏症ct表现有脑实质内出血,珠网膜下腔,硬膜下出血,硬膜外出血,脑实质内出血少见。本病出血要点出血量大,多部位出血,脑室质出血呈团快状。
作者: 余辉    时间: 2007-8-3 18:34
学习了
作者: zyx168    时间: 2007-8-6 14:32
支持楼主!
作者: 晨星剑    时间: 2007-8-6 21:56
标题: 回复:ped0294: 2月婴儿.vitk缺乏症颅内出血..
以下是引用zyx168在2007-8-6 6:32:00的发言:[br]支持楼主!  [br]   [br]

作者: 22222222    时间: 2007-8-8 05:05
学习了
作者: 清清楚楚    时间: 2007-8-8 15:42
支持楼主!
作者: lgl2007    时间: 2007-8-9 01:33
学习了
作者: xlhdxh    时间: 2007-8-14 18:13
支持!!!!




欢迎光临 医影在线 (http://bbs.radida.com/bbs/) Powered by Discuz! X3.2