医影在线

标题: CT9259:男 58岁,咳嗽 ,无明显不适 [打印本页]

作者: 同    时间: 2007-8-3 22:38
标题: CT9259:男 58岁,咳嗽 ,无明显不适
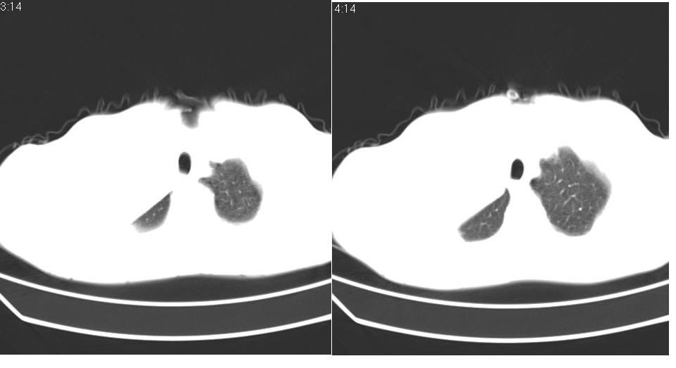
男 58岁 咳嗽,无明显不适.

















[本贴已被 jiajie 于 2007-8-3 20:10:03 修改过]

作者: qian    时间: 2007-8-3 23:12
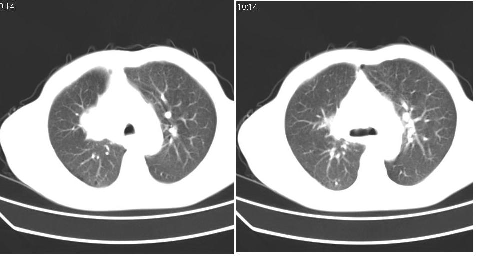
中央型肺癌伴有右肺上叶不张。
作者: 卜一    时间: 2007-8-3 23:21
中央型肺癌伴有右肺上叶不张。典型!支持!
作者: hhcckk    时间: 2007-8-3 23:58
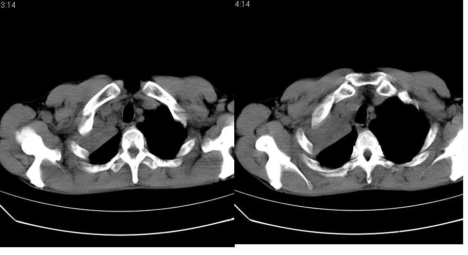
右侧肺门肿块,右上叶不张,右上胸廓塌陷,气管纵隔右移,纵隔内有些小淋巴结,考虑中央型肺癌,作个支气管纤维镜取个病理吧,鳞癌的可能性大
作者: 天南地北    时间: 2007-8-4 00:17
中央型肺癌伴有右肺上叶不张。典型!支持!
作者: 海之间5    时间: 2007-8-4 00:18
中央型肺癌伴有右肺上叶不张
作者: lgl2007    时间: 2007-8-4 00:19
中央型肺癌伴有右肺上叶不张
作者: 文莱    时间: 2007-8-4 00:30
中央型肺癌伴有右肺上叶不张
作者: luochengyi    时间: 2007-8-4 02:02
中央型肺癌伴有右肺上叶不张。
作者: lijunyao1999    时间: 2007-8-4 03:41
中央型肺癌伴有右肺上叶不张。
作者: xueyun722    时间: 2007-8-4 04:01
考虑中央型肺ca伴右肺上叶不张,建议纤支镜检查。
作者: xulianj    时间: 2007-8-4 04:03
右上肺中央型肺癌伴有右肺上叶不张
作者: mzh123    时间: 2007-8-4 04:26
标题: 回复:ct9259:男 58岁,咳嗽 ,无明显不适
[quote]以下是引用hhcckk在2007-8-3 15:58:00的发言:[br]右侧肺门肿块,右上叶不张,右上胸廓塌陷,气管纵隔右移,纵隔内有些小淋巴结,考虑中央型肺癌,作个支气管纤维镜取个病理吧,鳞癌的可能性大
支持
作者: zjzjr    时间: 2007-8-4 05:01
中央型肺癌致右肺上叶不张及左肺上叶转移.
作者: jsgdoctor    时间: 2007-8-4 05:23
考虑右侧中央型肺癌伴不张
作者: 拾荒者    时间: 2007-8-4 05:44
支持右肺上叶中央型肺癌并右肺上叶不张。
作者: jinning    时间: 2007-8-4 06:01
中央型肺癌伴有右肺上叶不张。典型!支持!
作者: 何神仙    时间: 2007-8-4 07:55
右肺上叶中央型ca,右上叶支气管起始部变狭窄,致右肺不张,纵隔及腋窝淋巴结肿大,请结合纤维镜检查.
作者: ZHANGZHONGSHOU    时间: 2007-8-4 15:55
标题: 回复:ct9259:男 58岁,咳嗽 ,无明显不适
以下是引用qian在2007-8-3 15:12:00的发言:[br]中央型肺癌伴有右肺上叶不张。

作者: sdw662    时间: 2007-8-4 16:37
中央型肺癌伴有右肺上叶不张,左肺有转移.
作者: haha215315    时间: 2007-8-4 16:51
中央型肺癌伴上叶不张。支持!
作者: qiushi    时间: 2007-8-4 18:08
右侧肺门肿块,右上叶不张,右上胸廓塌陷,气管纵隔右移,纵隔内有些小淋巴结,考虑中央型肺癌伴右肺上叶不张,作个支气管纤维镜取个病理吧.
作者: sq7600    时间: 2007-8-4 18:26
支持
作者: huobingsheng    时间: 2007-8-4 18:45
中央型肺癌伴上叶不张。支持!
作者: 宝天曼    时间: 2007-8-5 07:51
中央型肺癌伴有右肺上叶不张。
作者: zyx168    时间: 2007-8-5 08:04
中央型肺癌伴有右肺上叶不张。




欢迎光临 医影在线 (http://bbs.radida.com/bbs/) Powered by Discuz! X3.2