






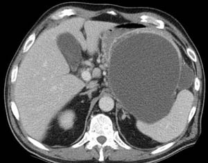
以下是引用hhcckk在2007-8-3 20:12:00的发言:[br][br]左肾周筋膜增厚,有胰腺炎的表现,胆管内高密度,结石?钙化?图片不全,遗憾[br][br]
[本贴已被 hhcckk 于 2007-8-3 20:13:59 修改过]
以下是引用同在2007-8-3 22:29:00的发言:[br][quote]以下是引用hhcckk在2007-8-3 20:12:00的发言:[br][br]左肾周筋膜增厚,有胰腺炎的表现,胆管内高密度,结石?钙化?图片不全,遗憾[br][br]
[本贴已被 hhcckk 于 2007-8-3 20:13:59 修改过]
| 欢迎光临 医影在线 (http://bbs.radida.com/bbs/) | Powered by Discuz! X3.2 |