医影在线

标题: X2594:男,56岁,左肺阴影性质? [打印本页]

作者: zxczxc    时间: 2007-8-4 23:29
标题: X2594:男,56岁,左肺阴影性质?
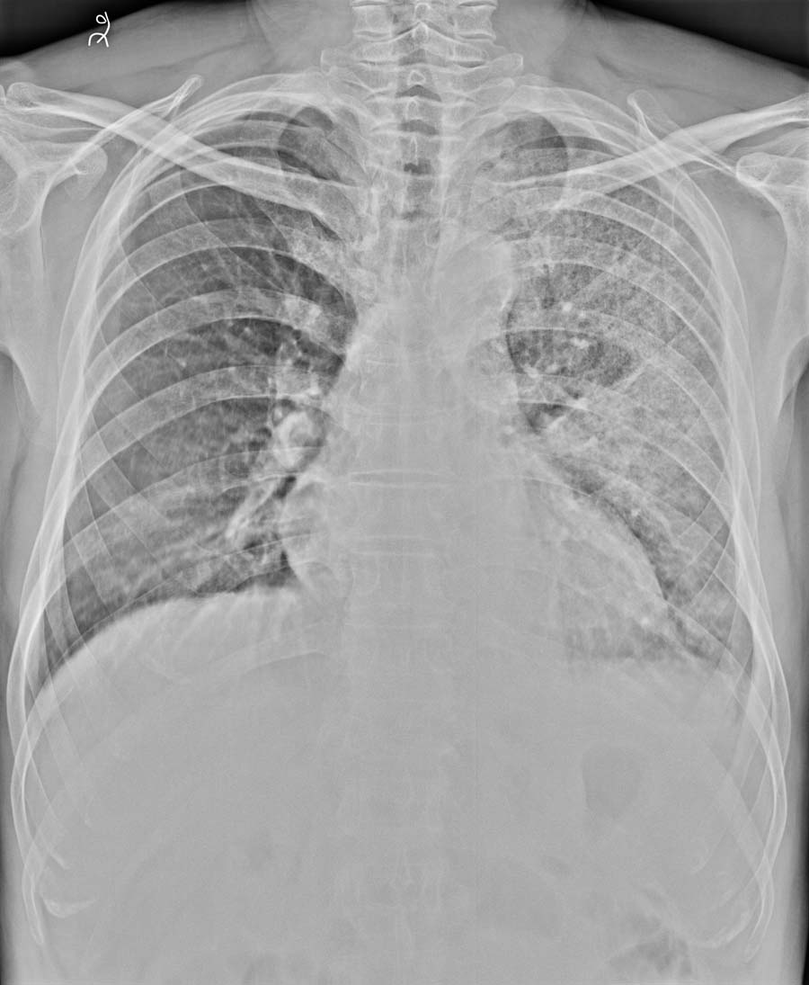
男,56岁,咯血2天,左肺阴影性质?




[本贴已被 jiajie 于 2007-8-4 17:57:17 修改过]

作者: jian-5587    时间: 2007-8-5 03:48
左肺感染性病变.
作者: xulianj    时间: 2007-8-5 05:16
左肺炎性病变
作者: 柯长存    时间: 2007-8-5 05:26
考虑为支扩.
作者: liaizhi    时间: 2007-8-5 06:37
左肺散在小结节状,片状高密度影,边缘模糊,以背段为重,肺门散在点状钙化影。考虑结核?建议ct建查。
作者: 天南地北    时间: 2007-8-5 06:45
左肺感染性病变
作者: 谌贻荣    时间: 2007-8-5 08:17
tb并感染
作者: liuhongjun01    时间: 2007-8-5 08:24
有炎性病变是肯定的,上肺有小颗粒状阴影及条索状影,不除外有结核可能,建议抗炎治疗一周后来复查。
作者: WANGCAIXIA    时间: 2007-8-5 08:42
感染性病变,支扩可能建议进一步检查
作者: zyx168    时间: 2007-8-5 15:14
建议抗炎治疗后复查。
作者: ZHANGZHONGSHOU    时间: 2007-8-5 16:23
左肺弥漫性病变,建议ct检查。
作者: 清清楚楚    时间: 2007-8-5 19:59
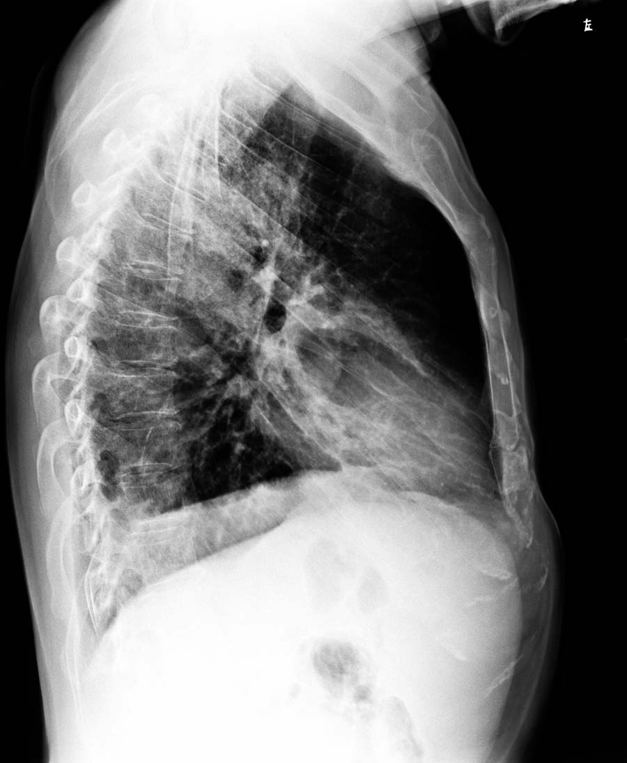
版主的侧位片是右侧位吧?不好意思.
作者: liangshusheng    时间: 2007-8-5 22:11
考虑tb,有播散,合并感染
作者: jinguoji    时间: 2007-8-6 04:55
建议ct检查。
作者: yucain    时间: 2007-8-6 05:51
我看到过一个相像的片子。 只是发生在右肺,当时考虑为感染,谁知道第二天患者就挂拉。原因为窒息
好来专家会诊,考虑有没有占位后阻塞性的东东在。因无没有来得及ct检查。故不知结果。
本人认为tb和肿瘤都有可能。
作者: 曼一拍    时间: 2007-8-6 06:49
不能单纯感染吧,还是同意弥漫性病变为好,包括肺出血也是这种改变,当然出血的原因待查,做一ct吧
要了解咯血的量是多少,
作者: ☆芝麻糖☆    时间: 2007-8-6 07:08
炎性病变,陈旧性肺结核,右下肺野也象有斑片影。
作者: zhangkai    时间: 2007-8-6 16:53
左肺感染性病变,建议治疗后复查或作进一步检查。
作者: gujialin    时间: 2007-8-6 19:38
标题: 回复:x2594:男,56岁,左肺阴影性质?
肺出血
作者: yuhongjun    时间: 2007-8-6 23:02
还是先查个ct较稳妥.
作者: jinning    时间: 2007-8-6 23:57
左肺感染性病变.
作者: zhangkening    时间: 2007-8-7 00:18
建议行ct检查,排除占位.
作者: zjzjr    时间: 2007-8-7 01:49
左肺感染性病变, 建议ct除外占位性病变.
作者: 吴文利    时间: 2007-8-7 05:47
考虑结核
作者: a13085518515    时间: 2007-8-7 19:01
本人觉得像阻塞性肺炎,  支气管镜检查很有必要
作者: jiangjing    时间: 2007-8-8 01:40
左肺感染,左侧胸腔积液
作者: clj20    时间: 2007-8-9 01:41
不出意外是肺结核
作者: qjg1040    时间: 2007-8-9 06:07
结核或肺泡癌可疑
作者: clj20    时间: 2007-8-9 17:54
2型结核(亚急性)
作者: zhangxiangjun    时间: 2007-8-14 02:42
左肺感染性病变.建议严格抗炎治疗后复查。
作者: longshe07    时间: 2007-8-18 02:07
考虑左肺上叶阻塞性病变,建议ct检查
作者: ct-mr311    时间: 2007-8-18 02:24
有炎性病变是肯定的,肺门散在点状钙化影。结核?建议ct建查。
作者: ssjeypm    时间: 2007-8-19 07:34
左肺感染.建议进一步治疗.
作者: yrjw    时间: 2007-8-26 04:39
建议抗炎治疗后复查。
作者: shibing    时间: 2013-5-2 07:27
建议ct建\\查。




欢迎光临 医影在线 (http://bbs.radida.com/bbs/) Powered by Discuz! X3.2