医影在线

标题: DY0923:请教这个是什么血管啊?? [打印本页]

作者: woyaokaoyan    时间: 2007-8-7 03:34
标题: DY0923:请教这个是什么血管啊??

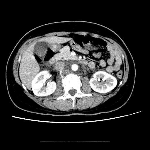
请教大家,这个注入下腔静脉的是什么血管??该期是打针后30s扫描的图像。
(ge lightspeed 16)

[本贴已被 jiajie 于 2007-11-30 7:09:35 修改过]

作者: zjzjr    时间: 2007-8-7 03:46
椎旁静脉直接汇入下腔静脉.
作者: woyaokaoyan    时间: 2007-8-9 21:43
注意哦,这个是动脉期
下腔还没有显影,怎么会椎静脉有,而下腔没有造影???
作者: 美田桥    时间: 2007-8-9 22:10
我决得你的图像太少了>门脉期大概是25~``~28考虑是不是门脉和胸壁的异常交通支啊?这位患者有无肝硬化?




欢迎光临 医影在线 (http://bbs.radida.com/bbs/) Powered by Discuz! X3.2