


















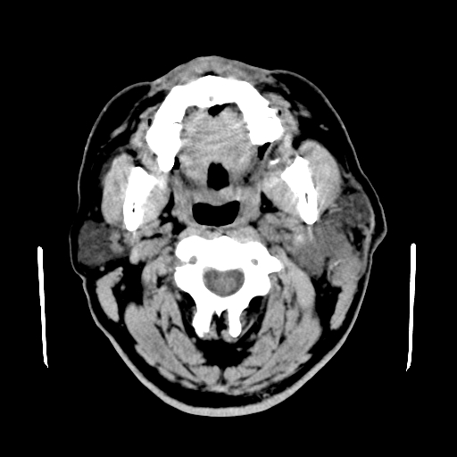
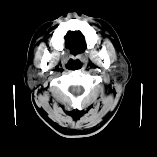
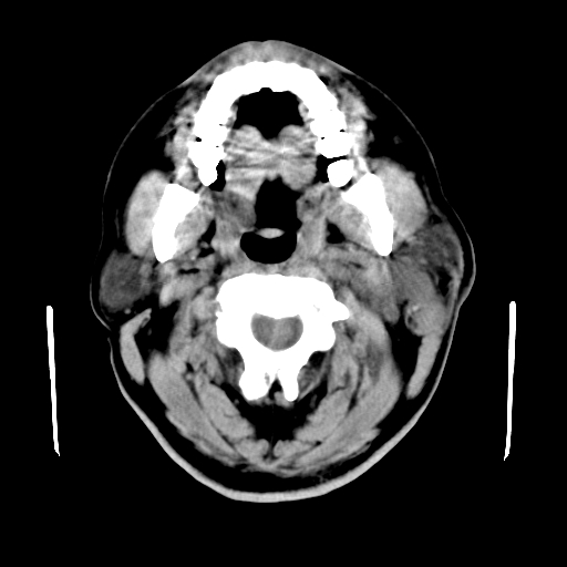
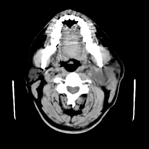
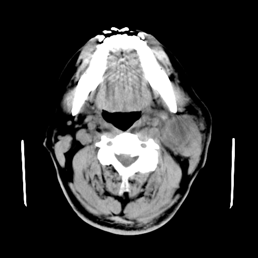
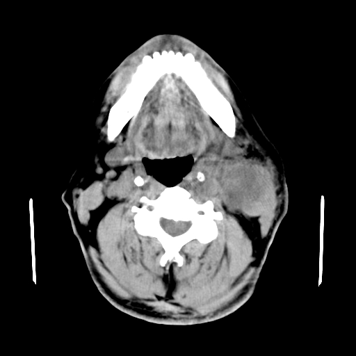
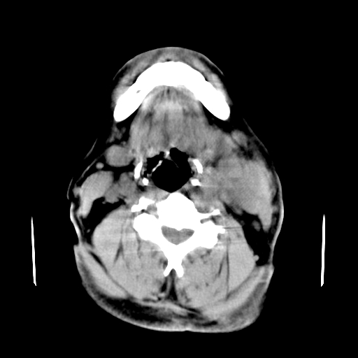
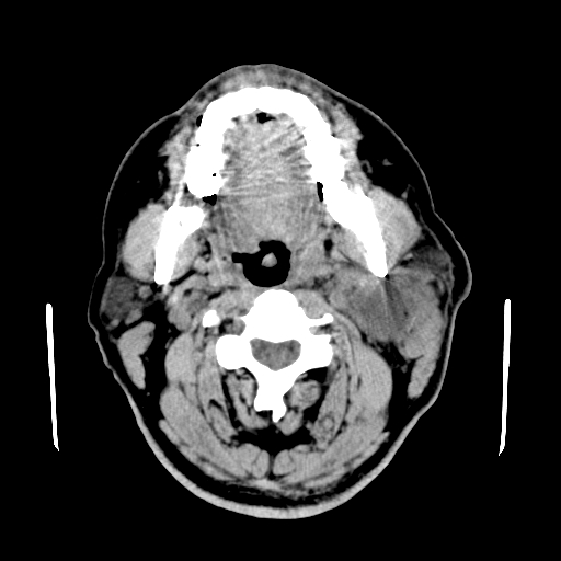
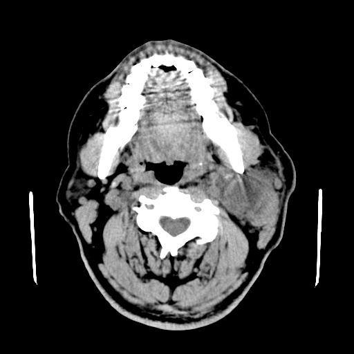
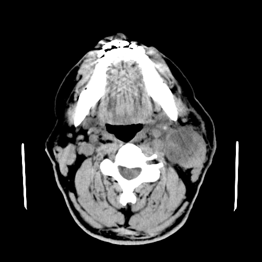
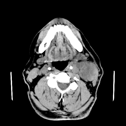
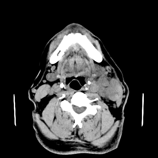
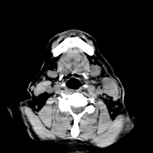
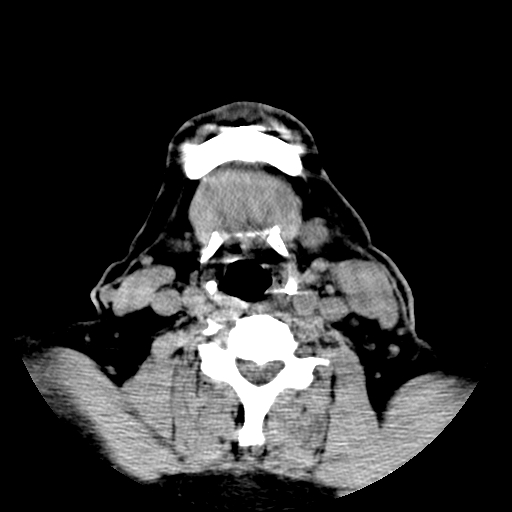
以下是引用卜一在2007-8-6 21:23:00的发言:[br]定位:左侧胸锁乳突肌内侧 颌下腺下后方。特征:弥漫性生长 软组织密度肿块,界限不清,内隐约见低密度坏死。考虑:神经源性肿瘤或血管源性肿瘤。
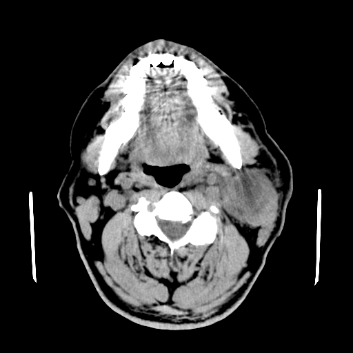
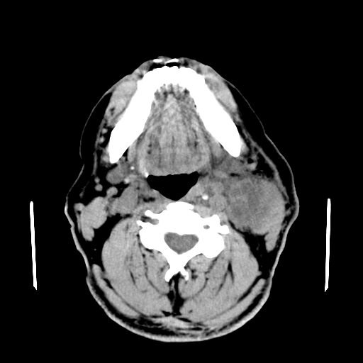
以下是引用卜一在2007-8-6 21:23:00的发言:[br]定位:左侧胸锁乳突肌内侧 颌下腺下后方。特征:弥漫性生长 软组织密度肿块,界限不清,内隐约见低密度坏死。考虑:神经源性肿瘤或血管源性肿瘤。
以下是引用wangzhanshuang在2007-8-6 21:08:00的发言:[br]腮腺混合瘤
| 欢迎光临 医影在线 (http://bbs.radida.com/bbs/) | Powered by Discuz! X3.2 |