医影在线

标题: DSA0115:子宫肌瘤介入治疗 [打印本页]

作者: lmldoc    时间: 2007-8-10 00:32
标题: DSA0115:子宫肌瘤介入治疗
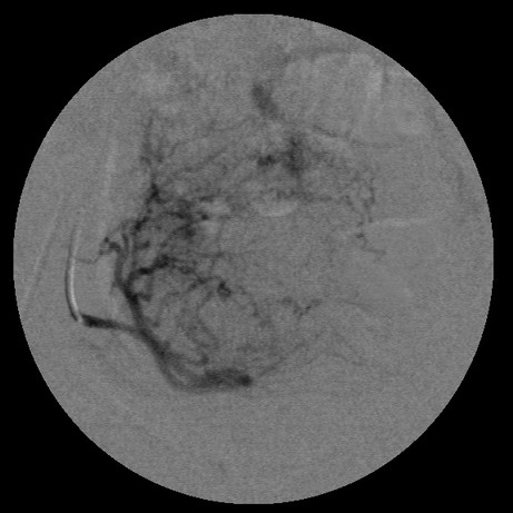
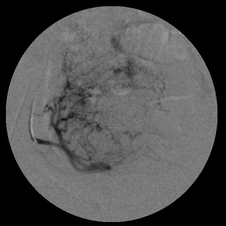
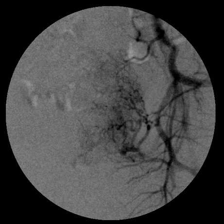
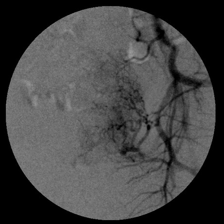
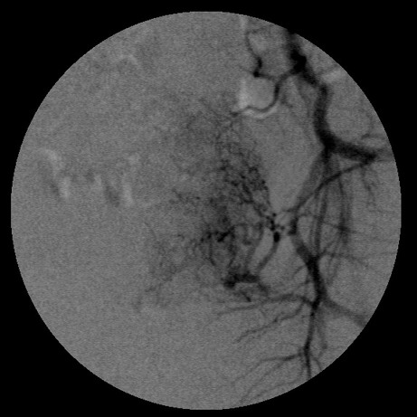
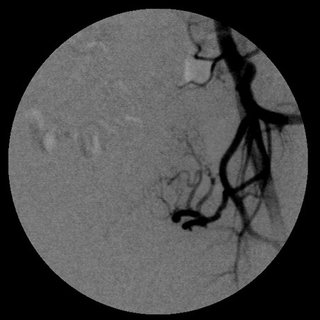
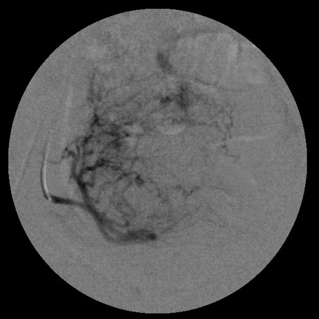
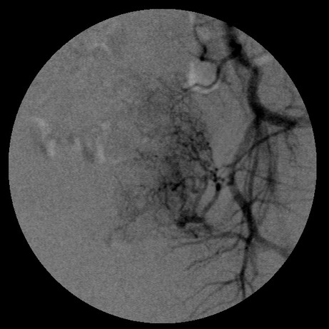
女,35岁,子宫多发肌瘤


















[本贴已被 jiajie 于 2007-8-9 16:42:40 修改过]

作者: 五阿哥    时间: 2007-8-10 03:21
子宫动脉增粗,分支数量增多,迂曲,染色明显并排空延迟
作者: cbl    时间: 2007-8-10 03:47
请教楼主用的啥栓塞剂!!???栓塞面积是否大了点!?
作者: lmldoc    时间: 2007-8-10 15:59
栓塞剂用的是进口pva,二瓶,几千块呀,栓塞面积应该不大吧,呵呵
作者: zjzjr    时间: 2007-8-10 23:58
左边没有避开卵巢支啊
作者: 超儿001    时间: 2007-8-17 02:58
pva好贵!不过也值!
作者: 五阿哥    时间: 2007-8-19 05:34
以后会有代偿血管生成的
作者: liupeng760708    时间: 2007-9-5 02:52
要超选到子宫动脉上支吗?
作者: yangkun1217    时间: 2007-10-27 06:34
漂亮
作者: hcl7403207    时间: 2008-3-7 02:38
月经期能做吗
作者: 朱亮    时间: 2008-4-12 21:34
学习了




欢迎光临 医影在线 (http://bbs.radida.com/bbs/) Powered by Discuz! X3.2