
以下是引用汪涛同志在2007-8-10 2:10:00的发言:[br]左侧甲状腺巨大软组织病变,虽然临床表现倾向于感染,但皮下脂肪过于清晰,穿刺又未见脓液,应警惕甲状腺恶性病变,结合患儿年龄,考虑为肉瘤可能。
以下是引用汪涛同志在2007-8-10 2:10:00的发言:[br]左侧甲状腺巨大软组织病变,虽然临床表现倾向于感染,但皮下脂肪过于清晰,穿刺又未见脓液,应警惕甲状腺恶性病变,结合患儿年龄,考虑为肉瘤可能。
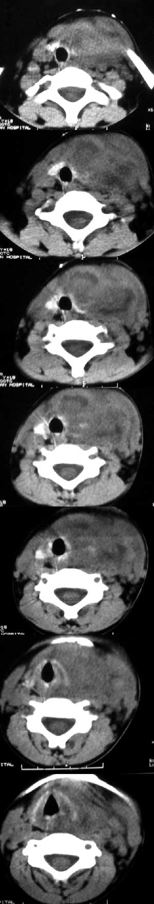
以下是引用jiajie在2007-8-10 11:14:00的发言:[br]左侧颈部锁骨上区巨大软组织密度肿块,左侧甲状腺受侵,边缘不整、界限不清,肿块密度不均,气管受压右移。临床有发热、疼痛病史,考虑急性化脓性甲状腺炎。[br]鉴别诊断,颈部横纹肌肉瘤,男性稍多,2~6岁为发病高峰期,不规则软组织肿块,边界多较清。
| 欢迎光临 医影在线 (http://bbs.radida.com/bbs/) | Powered by Discuz! X3.2 |