





以下是引用wqs571018在2007-8-14 15:26:00的发言:[br]硬膜下血肿,蛛网膜下腔出血,,挫裂伤,大脑廉下疝。
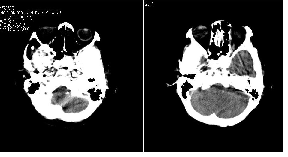
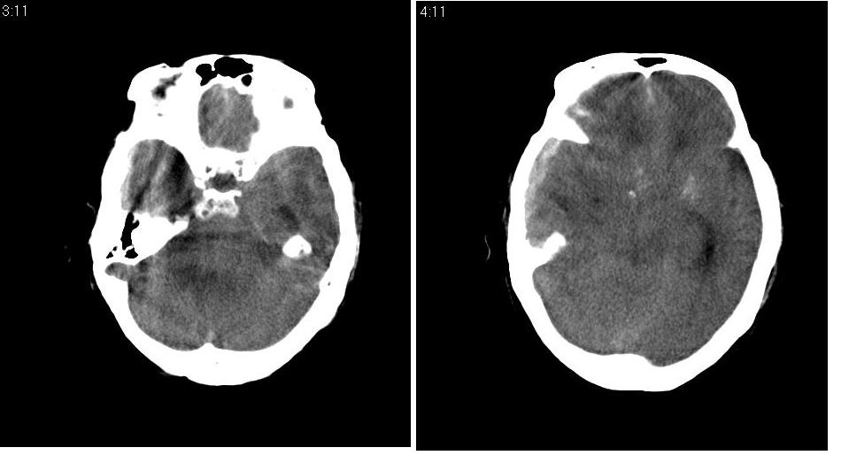
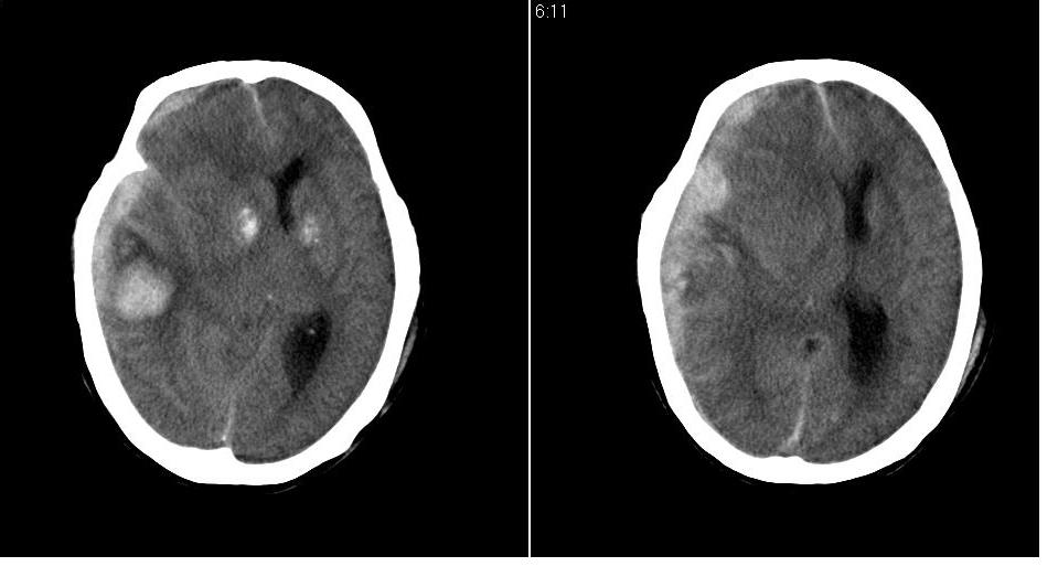
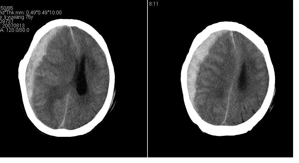
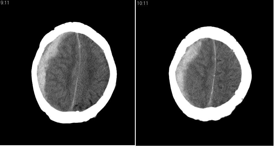
以下是引用川北影像在2007-8-14 15:33:00的发言:[br]1、右侧颞叶脑挫裂伤伴血肿形成。[br]2、右侧额颞顶部硬膜下血肿伴大脑廉下疝形成。
以下是引用wqs571018在2007-8-14 15:26:00的发言:[br]硬膜下血肿,蛛网膜下腔出血,,挫裂伤,大脑廉下疝。
以下是引用gaoshengjiang在2007-8-14 16:30:00的发言:[br]大家都认为右侧颞叶脑挫裂伤伴血肿形成;右侧额颞顶部硬膜下血肿伴大脑廉下疝形成;蛛网膜下腔出血。 但硬膜下血肿、脑内血肿量不多,而大脑廉下疝明显,右侧颞叶类圆形高密度灶,周围轻度水肿,呈蟹足状,考虑脑内占位所致脑内血肿、突然晕倒、硬膜下血肿、颞叶脑挫裂伤等一系列改变。[br][br] [br]
以下是引用拾荒者在2007-8-14 21:59:00的发言:[br][quote]以下是引用gaoshengjiang在2007-8-14 16:30:00的发言:[br]大家都认为右侧颞叶脑挫裂伤伴血肿形成;右侧额颞顶部硬膜下血肿伴大脑廉下疝形成;蛛网膜下腔出血。 但硬膜下血肿、脑内血肿量不多,而大脑廉下疝明显,右侧颞叶类圆形高密度灶,周围轻度水肿,呈蟹足状,考虑脑内占位所致脑内血肿、突然晕倒、硬膜下血肿、颞叶脑挫裂伤等一系列改变。[br][br] [br]
| 欢迎光临 医影在线 (http://bbs.radida.com/bbs/) | Powered by Discuz! X3.2 |