医影在线
标题: CT9416:头颅平扫加增强 [打印本页]
作者: fanshl 时间: 2007-8-18 01:04
标题: CT9416:头颅平扫加增强
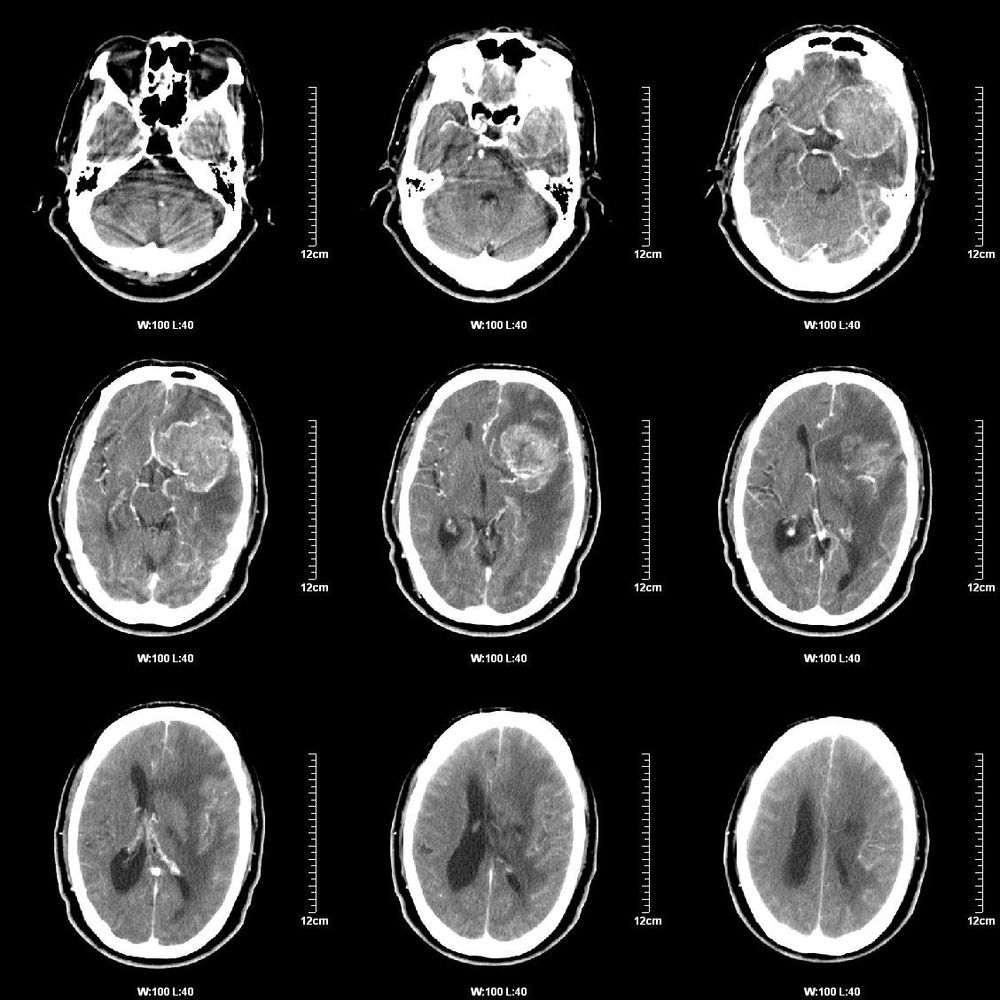
男,60岁。反应迟钝,胡言乱语20天余。


[本贴已被 翁志蓬 于 2007-8-17 23:14:02 修改过]
[本贴已被 fanshl 于 2007-8-18 5:25:13 修改过]
作者: luo706 时间: 2007-8-18 01:31
标题: 头颅平扫街增强
病灶不规则,密度不均,明显强化,周围水中,中线右偏,脑室受压。
考虑iii-iv级胶质细胞瘤。
[本贴已被 luo706 于 2007-8-17 17:33:12 修改过]
作者: 川北影像 时间: 2007-8-18 01:51
胶质瘤可能性大。
作者: 余辉 时间: 2007-8-18 02:17
支持考虑高分级胶质细胞瘤
作者: kbzyycm 时间: 2007-8-18 02:21
胶质瘤可能性大。
作者: qc80012345 时间: 2007-8-18 02:23
胶质细胞瘤诊断成立。
作者: zxczxc 时间: 2007-8-18 02:50
左侧额颞叶胶质瘤 。
作者: nanjing 时间: 2007-8-18 03:08
iii-iv级胶质细胞瘤
作者: jsgdoctor 时间: 2007-8-18 03:27
考虑iii-iv级胶质细胞瘤.
作者: 子期 时间: 2007-8-18 03:51
1、转移瘤,2、淋巴瘤,3、胶质瘤
作者: 天南地北 时间: 2007-8-18 03:54
标题: 回复:头颅平扫街增强
以下是引用jsgdoctor在2007-8-17 19:27:00的发言:[br]考虑iii-iv级胶质细胞瘤.
作者: 汪涛同志 时间: 2007-8-18 03:59
标题: 回复:头颅平扫街增强
以下是引用luo706在2007-8-17 17:31:00的发言:[br]病灶不规则,密度不均,明显强化,周围水中,中线右偏,脑室受压。[br] [br] 考虑iii-iv级胶质细胞瘤。[br][br][本贴已被 luo706 于 2007-8-17 17:33:12 修改过]
支持!
作者: mzh123 时间: 2007-8-18 04:22
标题: 回复:头颅平扫街增强
以下是引用zxczxc在2007-8-17 18:50:00的发言:[br]左侧额颞叶胶质瘤 。
作者: xulianj 时间: 2007-8-18 04:23
胶质细胞瘤
作者: ymmxuanfen 时间: 2007-8-18 04:31
胶质瘤考虑
作者: 裴德医生 时间: 2007-8-18 04:35
应把胶质瘤放到第一位
作者: panfeng 时间: 2007-8-18 05:07
胶质细胞瘤可能性大
作者: sq7600 时间: 2007-8-18 05:36
考虑iii-iv级胶质细胞瘤
作者: fanshl 时间: 2007-8-18 13:18
病理没有出来,谈谈我们的看法,我们考虑较之母细胞瘤,理由是:
1、患者年龄较大,65岁;
2、病灶主体位于左侧大脑额叶白质内,并侵及邻近脑叶;
3、平扫呈等/低混杂密度灶,病灶内见灶状坏死,但病变区未见明显钙化灶。边缘不整,轮廓不清楚,周围脑组织水肿明显;
4、病灶强化明显,呈不均匀强化,枣状坏死部分无强化;
鉴别
本病例要鉴别的疾病主要有:
1、间变型星形细胞瘤和3~4级星形细胞瘤 发病年龄一般较轻,瘤周水肿和占位效应也相对较轻;
2、淋巴瘤 常常是系统性发病,脑内可单发也可多发,多为等或高密度,但也可低密度,但一般水肿程度较轻;
3、恶性脑膜瘤 起源于大脑凸面,可向脑内侵犯,瘤周水肿明显,明显均匀强化,多伴有颅骨改变和脑膜尾征;
4、单发转移瘤 常有原发恶性肿瘤病史,水肿明显,常呈典型的‘指状征’。
[本贴已被 jiajie 于 2007-8-18 22:58:47 修改过]
作者: zyx168 时间: 2007-8-18 15:04
考虑左侧额颞叶胶质瘤 。
作者: mutour 时间: 2007-8-18 16:54
左侧额颞叶胶质瘤
作者: xiaoli 时间: 2007-8-18 16:58
胶质瘤
作者: wz_lizhihong 时间: 2007-8-18 17:59
肿瘤位于左额颞顶叶,边界尚清,但不规则,增强后强化不均匀,瘤周水肿较甚,左侧脑室受压变形,中线结构向右移位首先考虑胶质瘤,不排除单发转移瘤
[本贴已被 jiajie 于 2007-8-18 22:58:31 修改过]
作者: 啊萧 时间: 2007-8-18 20:13
考虑额颞叶胶质瘤 。单发转移瘤待排。
作者: wansheng 时间: 2007-8-18 20:19
考虑iii-iv级胶质细胞瘤
作者: zjzjr 时间: 2007-8-18 21:29
左侧额颞叶胶质瘤
作者: 拾荒者 时间: 2007-8-19 05:15
支持左侧额颞叶胶质瘤。
作者: qiuleiyu 时间: 2007-8-19 05:44
支持左额颞叶胶质瘤,不除外转移.
作者: 红樱枪 时间: 2007-8-19 05:47
考虑胶质瘤 或转移瘤
作者: zhuchanghua2006 时间: 2007-8-20 08:11
考虑胶质瘤可能性大
作者: 453506471 时间: 2007-8-20 08:26
标题: 回复:ct9416:头颅平扫加增强
以下是引用wz_lizhihong在2007-8-18 9:59:00的发言:[br]
肿瘤位于左额颞顶叶,边界尚清,但不规则,增强后强化不均匀,瘤周水肿较甚,左侧脑室受压变形,中线结构向右移位首先考虑胶质瘤,不排除单发转移瘤[br][br][本贴已被 jiajie 于 2007-8-18 22:58:31 修改过]
作者: tao772 时间: 2007-8-20 18:29
星型细胞瘤恶性或转移瘤。
作者: 5708 时间: 2007-8-20 21:15
左侧额颞叶胶质瘤,并水肿明显,为iii-iv级
作者: zylcq608 时间: 2007-8-20 22:30
1、胶质细胞瘤。2、腔梗。
作者: zhuchanghua2006 时间: 2007-8-22 06:04
平扫显示左侧额、颞叶可见一类圆形混杂密度肿块,病灶以等密度为主,中央可见小斑片状低密度去,周围可见大片状的水肿,中线偏向右侧,侧脑室前角明显受压,增强扫描可见病灶呈现明显不均匀强化,中央坏死区未见强化,结合临床,考虑为胶质瘤(iii-iv级)
作者: dr.yang 时间: 2011-3-21 21:47
iii-iv级胶质细胞瘤可能性大。
| 欢迎光临 医影在线 (http://bbs.radida.com/bbs/) |
Powered by Discuz! X3.2 |