






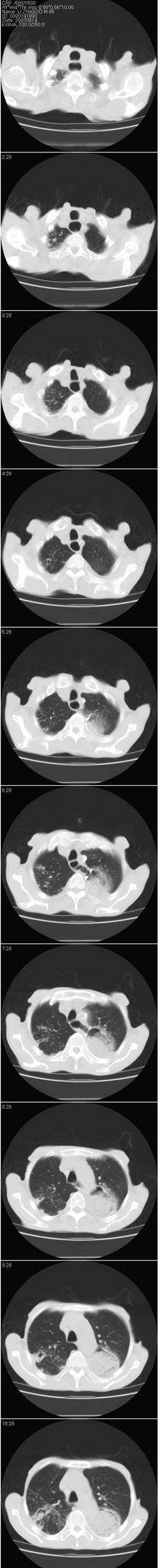
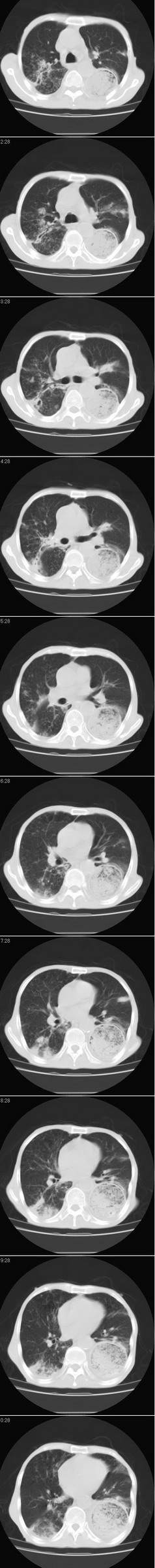
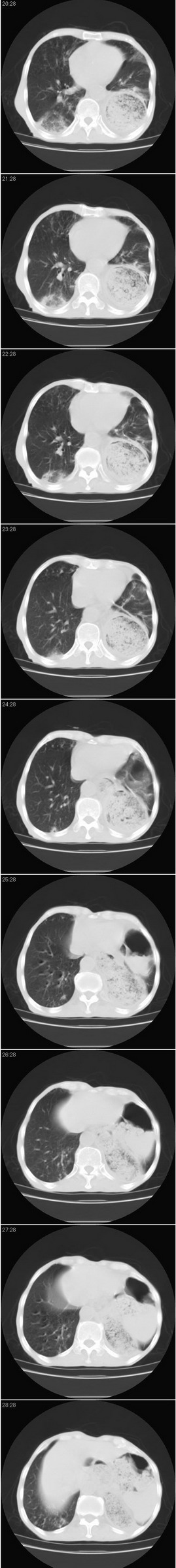
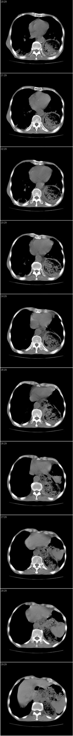
以下是引用dyqct在2007-8-18 14:40:00的发言:[br]考虑:1、食道弓上吻合术后(左侧胸腔胃);[br] 2、右上继发型肺结核;[br] 3、慢性支气管炎合并全小叶型肺气肿、感染。
以下是引用dyqct在2007-8-18 14:40:00的发言:[br]考虑:1、食道弓上吻合术后(左侧胸腔胃);[br] 2、右上继发型肺结核;[br] 3、慢性支气管炎合并全小叶型肺气肿、感染。
以下是引用宝天曼在2007-8-18 22:10:00的发言:[br]考虑:1、食道弓上吻合术后(左侧胸腔胃)[br] 2、右上继发型肺结核;[br] 3、慢性支气管炎合并全小叶型肺气肿、感染.
以下是引用dyqct在2007-8-18 14:40:00的发言:[br]考虑:1、食道弓上吻合术后(左侧胸腔胃);[br] 2、右上继发型肺结核;[br] 3、慢性支气管炎合并全小叶型肺气肿、感染。
以下是引用andymaomao在2007-8-18 14:29:00的发言:[br][br]1.该患者应有食道ca手术史,胃位于左侧胸腔(后纵膈旁);[br]2.双肺继发性肺tb?!不排除部分病灶改变为转移灶;[br]3.纵隔气管旁可见肿大淋巴结;[br]4.右下侧后胸壁轻度增厚、粘连。[br]5.另左肺部分肺组织含气不良(受压!?)。[br][br]
[本贴已被 jiajie 于 2007-8-18 20:56:59 修改过]
| 欢迎光临 医影在线 (http://bbs.radida.com/bbs/) | Powered by Discuz! X3.2 |