医影在线
标题: PED0321:F 7 骶尾部肿瘤 有病理结果 [打印本页]
作者: sdhct 时间: 2007-8-20 02:55
标题: PED0321:F 7 骶尾部肿瘤 有病理结果
(结果公布:http://www.radida.com/bbs/forum.php?mod=viewthread&tid=28600)
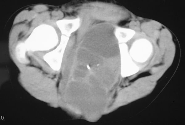
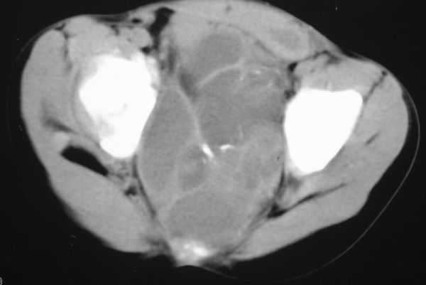
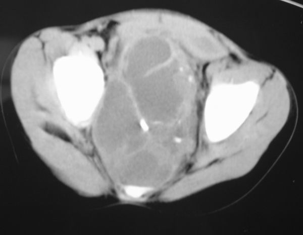
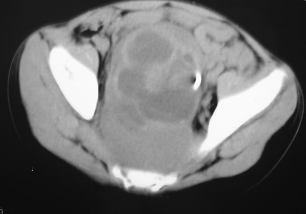
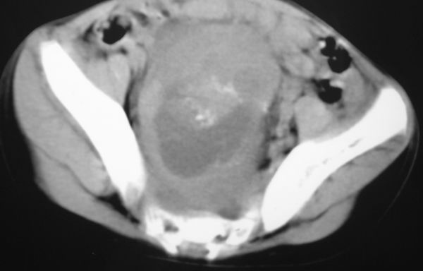
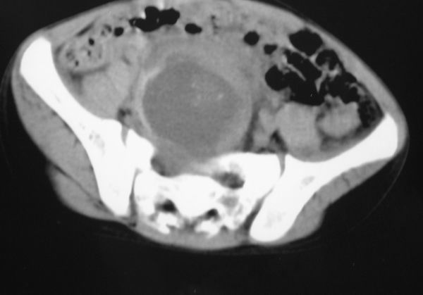
骶尾部肿瘤 有病理结果






[本贴已被 jiajie 于 2007-8-19 19:20:40 修改过]
[本贴已被 翁志蓬 于 2007-8-21 23:36:16 修改过]
作者: sdhct 时间: 2007-8-20 02:56
第一次传片 效果不好,见谅 这是我进修时的病例,还有很多,都有结果!
作者: w_jianhua 时间: 2007-8-20 05:34
畸胎瘤
作者: 471792 时间: 2007-8-20 07:20
脊索瘤
作者: liangshusheng 时间: 2007-8-20 07:44
畸胎瘤?
作者: liaizhi 时间: 2007-8-20 08:16
考虑畸胎瘤可能性大。骶尾骨无破坏。不考虑脊索瘤。
作者: 天南地北 时间: 2007-8-20 20:41
畸胎瘤
作者: 同 时间: 2007-8-20 22:11
考虑畸胎瘤可能性大
作者: jinning 时间: 2007-8-21 01:40
考虑畸胎瘤
作者: 宝天曼 时间: 2007-8-21 05:23
标题: 回复:ped0321:f 7 骶尾部肿瘤 有病理结果
以下是引用同在2007-8-20 14:11:00的发言:[br]考虑畸胎瘤可能性大
作者: LLXXLL 时间: 2007-8-21 05:55
畸胎瘤
作者: huangxun4321 时间: 2007-8-21 06:21
考虑畸胎瘤,还有比这个大的
作者: dyqct 时间: 2007-8-22 00:02
考虑畸胎瘤可能性大。
作者: caoyuanlang 时间: 2007-8-22 05:51
骶骨没有发现骨质破坏,畸胎瘤的可能性大
作者: 白云溪畔 时间: 2007-8-26 06:48
畸胎瘤!本人曾见过一例成年女子盆腔畸胎瘤长至臀部软组织内!
作者: ZHONGXINMR 时间: 2009-5-22 01:38
收到,谢谢
欢迎光临 医影在线 (http://bbs.radida.com/bbs/) |
Powered by Discuz! X3.2 |