医影在线
标题: CT9451:M59Y,肝脏占位 [打印本页]
作者: xclzq_910 时间: 2007-8-21 02:46
标题: CT9451:M59Y,肝脏占位
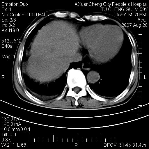
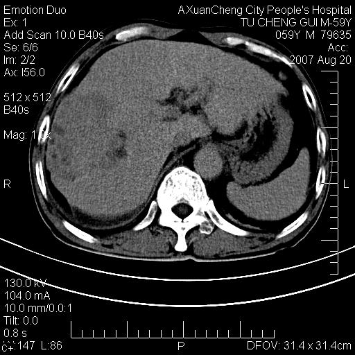
肝区涨痛一周,肝功能转氨酶均轻度增高











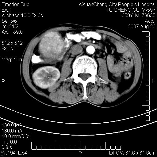
增强






































[本贴已被 jiajie 于 2007-8-20 19:06:49 修改过]
作者: 北方的狼 时间: 2007-8-21 02:54
原发大肝癌
作者: qiushi 时间: 2007-8-21 02:57
典型的肝癌(巨块型)、腹水,有供血动脉。
作者: xclzq_910 时间: 2007-8-21 03:22
请问肝癌的动脉期怎么会是这种大片状强化,这么大的病灶很少看到增多异常的供血动脉影象,而且静脉期门静脉右支只是推移,而没有侵犯?
[本贴已被 jiajie 于 2007-8-21 7:41:15 修改过]
作者: 卜一 时间: 2007-8-21 03:27
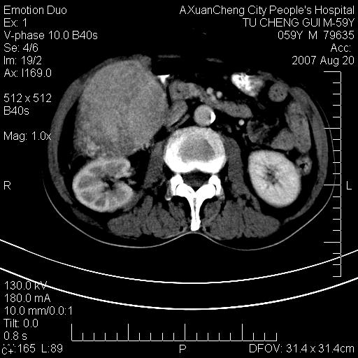
巨块性肝癌!(平扫不均匀低密度,增强方式典型的快进快出)
作者: jian-5587 时间: 2007-8-21 03:38
!原发型肝癌,(平扫不均匀低密度,增强方式典型的快进快出)
作者: 云翔 时间: 2007-8-21 03:52
考虑间叶组织肿瘤
作者: jia119 时间: 2007-8-21 03:55
肝ca,快进快出,其内有坏死组织吧
作者: caoyuanlang 时间: 2007-8-21 04:08
hcc
作者: 五阿哥 时间: 2007-8-21 04:21
典型的快进快出,动脉期可见肿瘤组织的供血动脉,肝下间隙可见条带状水样低密度区,符合原发性肝癌的ct表现。可以查一个afp >300有意义
[本贴已被 jiajie 于 2007-8-21 7:41:23 修改过]
作者: 永州人 时间: 2007-8-21 04:24
标题: 回复:ct9451:m59y,肝脏占位
以下是引用qiushi在2007-8-20 18:57:00的发言:[br]典型的肝癌(巨块型)、腹水,有供血动脉。
恩
作者: 余辉 时间: 2007-8-21 04:36
强化规律符合肝癌,门脉有受侵.纤维板层型肝癌?
作者: 宝天曼 时间: 2007-8-21 04:43
巨块性肝癌!(平扫不均匀低密度,增强方式典型的快进快出)
作者: gaoshengjiang 时间: 2007-8-21 04:44
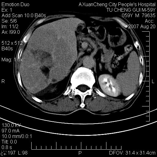
患者有肝硬化,平扫病灶呈不均性低密度,增强呈快尽快出表现,内见更低密度灶,静脉期延迟期呈低密度符合肝癌表现,内低密度为坏死改变并少量胸腹水。
作者: zsl6918 时间: 2007-8-21 04:50
速升速降符合原发性肝癌!富含脂质的肝癌并不少见。
作者: 沙漠之舟 时间: 2007-8-21 04:54
典型肝癌ct表现.内部有液化坏死,可能有脂肪变性.
作者: sq7600 时间: 2007-8-21 05:01
典型肝癌ct表现.内部有液化坏死,可能有脂肪变性
作者: 同 时间: 2007-8-21 05:29
支持原发型肝癌
作者: qiuleiyu 时间: 2007-8-21 05:35
支持典型原发型肝癌.
作者: jsgdoctor 时间: 2007-8-21 05:48
肝ca,快进快出.
作者: 随缘的人 时间: 2007-8-21 06:01
考虑肝癌可能,腹水
作者: huangyinshan 时间: 2007-8-21 06:08
动脉期肝右动脉粗细不均,走行有点迂曲,门脉期门脉右支有点受侵,并且中心有坏死,呈快进快出,符合肝癌
作者: 拾荒者 时间: 2007-8-21 06:18
典型肝癌ct表现(肝右叶肿块密度不均,增强典型快进快出,内部有液化坏死,可能有脂肪变性)。
作者: jiangjing 时间: 2007-8-21 06:21
典型的肝癌(巨块型)、腹水---增强呈快进快出强化
作者: 一个人 时间: 2007-8-21 06:29
典型的肝癌(巨块型)、腹水,有供血动脉
作者: zjzjr 时间: 2007-8-21 06:40
肝右叶巨块型肝癌伴少量腹水.双侧少量胸腔积液.
作者: 天南地北 时间: 2007-8-21 06:59
标题: 回复:ct9451:m59y,肝脏占位
以下是引用卜一在2007-8-20 19:27:00的发言:[br]巨块性肝癌!(平扫不均匀低密度,增强方式典型的快进快出)
作者: luochengyi 时间: 2007-8-21 07:44
肝ca
作者: shenhs 时间: 2007-8-21 08:02
原发性肝癌
作者: zyx168 时间: 2007-8-21 15:11
肝癌(巨块型)、腹水,
作者: 蜜蜂君 时间: 2007-8-21 17:08
标题: 回复:ct9451:m59y,肝脏占位
以下是引用云翔在2007-8-20 19:52:00的发言:[br]考虑间叶组织肿瘤
作者: tao772 时间: 2007-8-21 18:07
肝癌脂变,肝硬化。
作者: jinguoji 时间: 2007-8-21 19:29
巨块性肝癌!
作者: 随缘的人 时间: 2007-8-21 20:28
肝癌,腹水
作者: 当当涛涛 时间: 2007-8-28 03:31
支持巨块性肝癌!(平扫不均匀低密度,增强方式典型的快进快出
| 欢迎光临 医影在线 (http://bbs.radida.com/bbs/) |
Powered by Discuz! X3.2 |