医影在线
标题: CT9474:脑室占位 [打印本页]
作者: tzl 时间: 2007-8-22 07:09
标题: CT9474:脑室占位
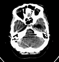
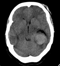
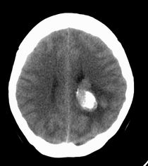
患者,女性,33岁,外伤检查发现,既往没有明显类似病史。











[本贴已被 翁志蓬 于 2007-8-22 0:08:30 修改过]
作者: 刘娟 时间: 2007-8-22 07:37
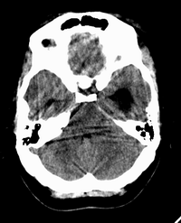
ct平扫见左侧脑室后角不规则形,边界不清的等密度肿块,肿瘤内有钙化,瘤周可见残存的脑室(低密度脑脊液影),考虑脉络脉丛乳头状瘤或室管膜瘤.
作者: lgl2007 时间: 2007-8-22 08:12
.室管膜瘤.>脑膜瘤>脉络脉丛乳头状瘤
作者: 汪涛同志 时间: 2007-8-22 09:03
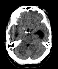
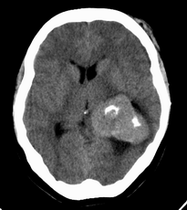
左侧侧脑室三角区占位性病变,其特点是平扫边界清、密度高、其内可见大块结节样的钙化,首先考虑起源于侧脑室三角区残余蛛网膜上皮的脑膜瘤可能性最大,无论是形态、密度、好发部位均符合脑膜瘤特点,建议增强进一步检查。
作者: 天南地北 时间: 2007-8-22 09:10
标题: 回复:ct9474:脑室占位
定位:左侧侧脑室内
考虑室管膜瘤,不排除脉络脉丛乳头状瘤
下附鉴别诊断。


[本贴已被 天南地北 于 2007-8-22 1:10:54 修改过]
作者: 清清楚楚 时间: 2007-8-22 14:38
ct平扫见左侧脑室后角不规则形,边界不清的等密度肿块,肿瘤内有钙化,瘤周可见残存的脑室(低密度脑脊液影),考虑脉络脉丛乳头状瘤或室管膜瘤.支持
作者: wxy7406 时间: 2007-8-22 15:10
考虑脑膜瘤。
作者: sdhct 时间: 2007-8-22 15:10
室管膜瘤 脑膜瘤!
其他暂时不考虑!
作者: 不羁暴雨 时间: 2007-8-22 15:32
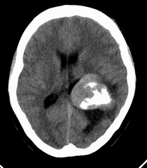
左侧脑室内软组织肿物,内部见多发不规则钙化,边界清楚锐利,有分叶。相应左侧脑室扩张。常见的不外乎3种病:室管膜瘤,脑膜瘤,脉络脉丛乳头状瘤。脑膜瘤分叶较少见,脉络脉丛乳头状瘤钙化较少见,因此,室管膜瘤可能性最大。
作者: chengjiaqiu1 时间: 2007-8-22 15:37
室管膜瘤 脑膜瘤
作者: jsgdoctor 时间: 2007-8-22 15:56
考虑室管膜瘤或脑膜瘤
作者: zj20060101 时间: 2007-8-22 16:31
室管膜瘤>脑膜瘤
作者: jinguoji 时间: 2007-8-22 16:52
考虑室管膜瘤
作者: 王燕 时间: 2007-8-22 17:04
首先考虑脉络丛乳头状瘤,其次为室管膜瘤
作者: liaizhi 时间: 2007-8-22 19:07
1室管膜瘤(肿瘤以膨胀性生长,有包膜,与周围分界清晰,大多位于脑室内ct表现为等密度,稍高密度肿快,边缘不光整呈分爷状。瘤内常见小圆状,块状钙化影。)2脑室内脑膜瘤(多位于侧脑室三角区ct平扫表现稍高于脑组织的肿快,无明显钙化。好发成年女性。)3脉络丛乳头状瘤(易引起交通性脑积水,颅高压症状明显)。总和以上考虑室管膜瘤可能性大。
作者: sjh753 时间: 2007-8-22 19:39
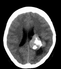
左侧脑室内见不规则略高密度团块影,边缘分叶,内见多发不规则钙化,病灶与侧脑室壁关系较为密切,左侧脑室扩大。考虑室管膜瘤可能性较大,其次为脑膜瘤,脉络丛乳头状瘤的可能性最小。
作者: zjzjr 时间: 2007-8-22 20:25
考虑室管膜瘤,(脉络丛乳头状瘤一般分泌脑脊液增多,常合并交通性脑积水).
作者: ysxyy 时间: 2007-8-22 20:46
患者,女性,33岁,外伤检查发现,既往没有明显类似病史;
1、病灶除钙化外其它部分质均匀,无明显密度差别;
2、病灶界清,呈现膨胀性生长,对周围组织无明显浸润表现;
3、钙化部分范围较大,呈现大片状钙化;
4、病人为成年女性,无明显不适;
考虑:脑膜瘤;
鉴别诊断:室管膜瘤;脉络膜乳头状瘤;
作者: qiushi 时间: 2007-8-22 21:22
平扫见左侧脑室三角区不规则形肿块,肿瘤内有钙化,瘤周可见残存的脑室(低密度脑脊液影),考虑脉络脉丛乳头状瘤或室管膜瘤.
作者: jinning 时间: 2007-8-22 22:06
考虑室管膜瘤或脉略丛乳头状瘤
作者: huobingsheng 时间: 2007-8-22 22:09
考虑:脑膜瘤
作者: zhangkai 时间: 2007-8-22 23:17
脑膜瘤可能性大。
作者: xulianj 时间: 2007-8-23 00:14
左侧侧脑室三角区占位性病变,其特点是平扫边界清、密度高、其内可见大块结节样的钙化,首先考虑起源于侧脑室三角区残余蛛网膜上皮的脑膜瘤可能性最大,无论是形态、密度、好发部位均符合脑膜瘤特点,建议增强进一步检查。
作者: 卜一 时间: 2007-8-23 00:30
左侧脑室内软组织肿物,内部见多发不规则钙化,边界清楚锐利,有分叶。相应左侧脑室扩张。常见的不外乎3种病:室管膜瘤,脑膜瘤,脉络脉丛乳头状瘤。脑膜瘤分叶较少见,脉络脉丛乳头状瘤钙化较少见,因此,室管膜瘤可能性最大。
支持!
作者: jiangjing 时间: 2007-8-23 00:42
脑膜瘤〉室管膜瘤〉脉络膜乳头状瘤
作者: yaping309 时间: 2007-8-23 01:02
九楼的说法我信服,赞同!!
作者: 一帆风顺 时间: 2007-8-23 01:06
脑室肿瘤(室管膜瘤 脑膜瘤?)
作者: psh 时间: 2007-8-23 01:10
室管膜瘤。
作者: libinniu 时间: 2007-8-23 02:25
侧脑室三角区占位,首先考虑脑膜瘤,其次考虑室管膜瘤,室管膜瘤相对密度混杂一些,低一些。脉络丛乳头状瘤可能性不大,因为没有脑脊液明显增多改变,而且成人多在四脑室。
作者: 小宝er 时间: 2007-8-23 03:04
个人意见:脑膜瘤可能性大,脉络丛乳头状瘤一般有脑积水的表现,室管膜瘤不能除外,建议mri检查
作者: sq7600 时间: 2007-8-23 03:20
室管膜瘤 可能大
作者: ydx_74 时间: 2007-8-23 04:28
考虑脑膜瘤,室管膜瘤、脉络脉丛乳头状瘤暂不考虑,没有所有脑室积水
作者: cxc1971101 时间: 2007-8-23 04:33
标题: 回复:ct9474:脑室占位
以下是引用不羁暴雨在2007-8-22 7:32:00的发言:[br]左侧脑室内软组织肿物,内部见多发不规则钙化,边界清楚锐利,有分叶。相应左侧脑室扩张。常见的不外乎3种病:室管膜瘤,脑膜瘤,脉络脉丛乳头状瘤。脑膜瘤分叶较少见,脉络脉丛乳头状瘤钙化较少见,因此,室管膜瘤可能性最大。
作者: 同 时间: 2007-8-23 05:11
考虑室管膜瘤 脑膜瘤
作者: 随缘的人 时间: 2007-8-23 05:16
定位:左侧侧脑室内
考虑室管膜瘤,不排除脉络脉丛乳头状瘤
下附鉴别诊断。
作者: 雪山飞狐 时间: 2007-8-23 06:07
标题: 回复:ct9474:脑室占位
以下是引用清清楚楚在2007-8-22 6:38:00的发言:[br]ct平扫见左侧脑室后角不规则形,边界不清的等密度肿块,肿瘤内有钙化,瘤周可见残存的脑室(低密度脑脊液影),考虑脉络脉丛乳头状瘤或室管膜瘤.支持
作者: qc80012345 时间: 2007-8-23 06:22
室管膜瘤
作者: sunjianting 时间: 2007-8-23 06:30
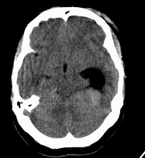
左侧侧脑室内分叶状肿块,其内见块状钙化,见左侧脑室阻塞性积水.考虑:脉络丛乳头状瘤
作者: 拾荒者 时间: 2007-8-23 06:36
因病人无交通性脑积水,故脉络丛乳头状瘤不支持,脑室内脑膜瘤及室管膜瘤均有可能,病灶密度较高,前者可能性更大,建议结合增强检查。
作者: zyx168 时间: 2007-8-23 07:44
考虑室管膜瘤或脉略丛乳头状瘤
作者: zhuchanghua2006 时间: 2007-8-24 08:02
考虑室管膜瘤或脑膜瘤
作者: zyyzzy 时间: 2007-8-25 00:09
左侧脑室后角不规则形,边界尚清的等密度肿块,肿瘤内有钙化。考虑脑膜瘤或室管膜瘤。
作者: 青莲居士 时间: 2007-8-25 03:21
ct平扫见左侧脑室后角不规则形,边界不清的等密度肿块,肿瘤内有钙化,瘤周可见残存的脑室(低密度脑脊液影),考虑考虑脑膜瘤
作者: zhghn2007 时间: 2007-8-25 04:56
学习
作者: 当当涛涛 时间: 2007-8-25 05:34
支持室管膜瘤
作者: dr.yang 时间: 2011-3-21 21:37
室管膜瘤 脑膜瘤!
其他暂时不考虑!
| 欢迎光临 医影在线 (http://bbs.radida.com/bbs/) |
Powered by Discuz! X3.2 |