医影在线

标题: CT9475:男性,38岁,与别人吵架后头痛/晕,恶性.呕吐入院. [打印本页]

作者: SYFSZCW    时间: 2007-8-22 09:17
标题: CT9475:男性,38岁,与别人吵架后头痛/晕,恶性.呕吐入院.
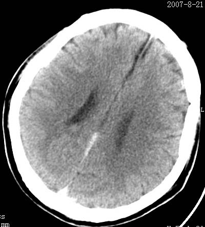
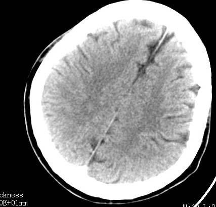
男性病人38岁,与别人吵架后头痛/晕,恶性.呕吐入院.请问大脑后纵裂是出血还是正常.






[本贴已被 jiajie 于 2007-8-22 18:09:24 修改过]

作者: 天南地北    时间: 2007-8-22 09:34
支持蛛网膜下腔少量出血
作者: 清清楚楚    时间: 2007-8-22 14:35
蛛网膜下腔少量出血
作者: wxy7406    时间: 2007-8-22 15:11
边缘比较模糊,考虑蛛网膜下腔出血哦。
作者: jsgdoctor    时间: 2007-8-22 15:57
蛛网膜下腔少量出血
作者: kbzyycm    时间: 2007-8-22 15:58
蛛网膜下腔少量出血
作者: zj20060101    时间: 2007-8-22 16:20
大脑纵裂内少量蛛网膜下腔出血.
作者: jinguoji    时间: 2007-8-22 16:50
蛛网膜下腔少量出血.
作者: 王燕    时间: 2007-8-22 16:55
蛛网膜下腔少量出血
作者: clj20    时间: 2007-8-22 17:12
蛛网膜下腔出血
作者: clj20    时间: 2007-8-22 17:31
建议排除硬膜下积液
作者: shenjiu    时间: 2007-8-22 18:08
考虑蛛网膜下腔少量出血
作者: liaizhi    时间: 2007-8-22 18:14
珠网膜下腔出血








珠网膜下腔出血(少量)。





9
作者: xxjfb    时间: 2007-8-22 18:32
同意
作者: luochengyi    时间: 2007-8-22 19:58
蛛网膜下腔出血
作者: juwen73    时间: 2007-8-22 20:01
应该正常吧。
作者: zjzjr    时间: 2007-8-22 20:27
支持蛛网膜下腔少量出血,治疗后复查吧.
作者: lgl2007    时间: 2007-8-22 21:05
蛛网膜下腔出血
作者: qiushi    时间: 2007-8-22 21:10
支持蛛网膜下腔少量出血,治疗后复查吧,但纵裂内的血吸收得很慢.
作者: zhuchanghua2006    时间: 2007-8-22 21:53
结合临床病史,考虑蛛网膜下腔出血可能,建议mr进一步检查或做一个cta(考虑动脉瘤)。
作者: jinning    时间: 2007-8-22 22:03
还是复查一次吧
作者: zhangkai    时间: 2007-8-22 23:29
从自我保护的意识出发,还是建议复查或作进一步检查排除出血可能。
作者: xulianj    时间: 2007-8-23 00:10
蛛网膜下腔出血,过几个小时再复查就职明了。
作者: 卜一    时间: 2007-8-23 00:28
不能完全确定!建议短时间内复查!
作者: jiangjing    时间: 2007-8-23 00:39
蛛网膜下腔少量出血
作者: psh    时间: 2007-8-23 01:16
蛛网膜下腔出血。
作者: w_jianhua    时间: 2007-8-23 01:56
未见明显异常,建议3日后复查
作者: libinniu    时间: 2007-8-23 02:10
我支持少量蛛网膜下腔出血
作者: sq7600    时间: 2007-8-23 03:52
支持少量蛛网膜下腔出血
作者: rongzhangyile    时间: 2007-8-23 04:02
sah
作者: ydx_74    时间: 2007-8-23 04:25
复查吧,有些人后部大脑镰钙化很难区别
作者: cxc1971101    时间: 2007-8-23 04:30
还是复查一次吧
作者: 同    时间: 2007-8-23 05:13
支持蛛网膜下腔少量出血.
作者: 随缘的人    时间: 2007-8-23 05:13
不能完全确定!建议结合临床,或短时间复查
作者: 羊皮    时间: 2007-8-23 06:05
标题: 回复:ct9475:男性,38岁,与别人吵架后头痛/晕,恶性.呕吐入院.
以下是引用随缘的人在2007-8-22 21:13:00的发言:[br]不能完全确定!建议结合临床,或短时间复查

作者: sunjianting    时间: 2007-8-23 06:49
蛛网膜下腔少量出血
作者: zyx168    时间: 2007-8-23 07:41
不能完全确定!建议腰穿。
作者: tao772    时间: 2007-8-23 15:36
不能完全确定!建议结合临床,或短时间复查  临床医生腰穿。
作者: jw-830    时间: 2007-8-23 17:06
蛛网膜下腔出血
作者: 雪山飞狐    时间: 2007-8-23 17:58
标题: 回复:ct9475:男性,38岁,与别人吵架后头痛/晕,恶性.呕吐入院.
以下是引用卜一在2007-8-22 16:28:00的发言:[br]不能完全确定!建议短时间内复查!

作者: xyf158433    时间: 2007-8-24 01:57
应该是正常的
作者: jw-830    时间: 2007-8-24 02:02
蛛网膜下腔出血
作者: wqs571018    时间: 2007-8-24 03:35
蛛网膜下腔(纵裂内)出血 。
作者: 一个人    时间: 2007-8-24 05:57
蛛网膜下腔少量出血
作者: 拾荒者    时间: 2007-8-25 04:45
后纵裂密度增高,边缘模糊,结合病史考虑蛛网膜下腔可能,建议短期复查。病人因纠纷发病,诊断更要慎重!
作者: zhaz2    时间: 2007-8-25 04:49
蛛网膜下腔出血
吵架吵的脑子里出血,利害
作者: dr.yang    时间: 2011-3-21 21:49
后纵裂密度增高,边缘模糊,结合病史考虑蛛网膜下腔可能,建议短期复查。病人因纠纷发病,诊断更要慎重!-支持




欢迎光临 医影在线 (http://bbs.radida.com/bbs/) Powered by Discuz! X3.2