














以下是引用天南地北在2007-8-22 18:20:00的发言:[br]腰椎退行性变。[br][br]
以下是引用天南地北在2007-8-22 18:20:00的发言:[br]腰椎退行性变。[br][br]
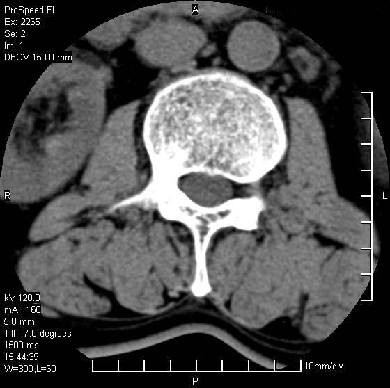
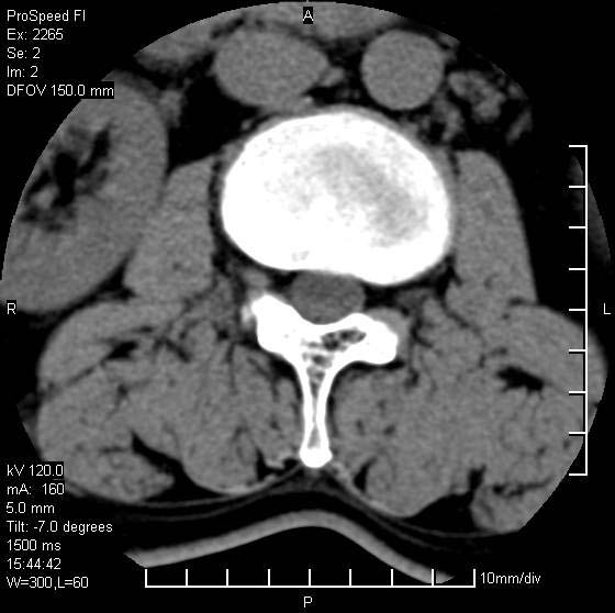
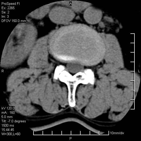
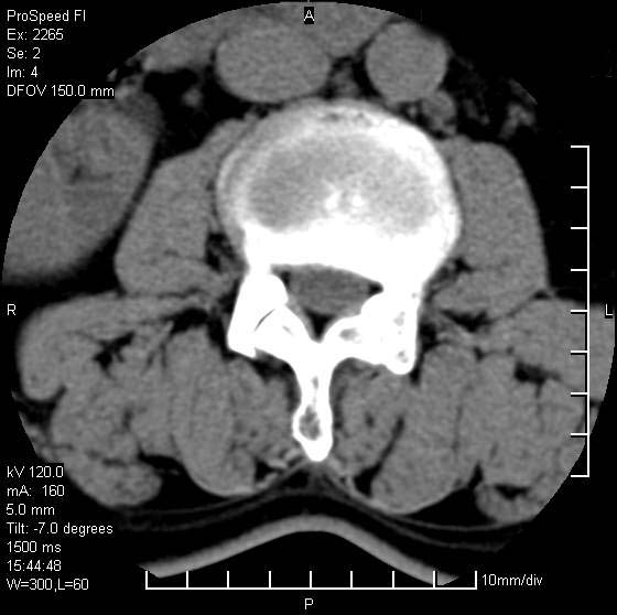
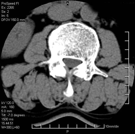
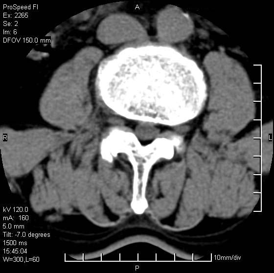
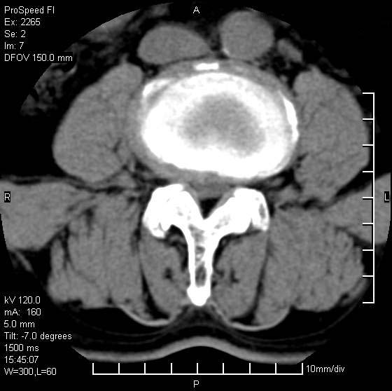
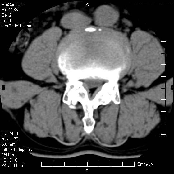
以下是引用qiushi在2007-8-22 17:26:00的发言:[br]没骨窗![br] 1、 l5~s1间盘膨出伴轻度突出(中央型)、变性。[br] 2、l4~5间盘膨出伴突出(右侧远外侧型)。[br] 3、l3~4间盘膨出。[br] 4、腰椎退行性变。[br]
以下是引用随缘的人在2007-8-22 20:56:00的发言:[br]腰椎退行性变:1。l4/5,l5/s1膨出[br] 2。l5/s1间盘退行性变 [br] 3。腰椎骨质增生
以下是引用天南地北在2007-8-22 18:20:00的发言:[br]腰椎退行性变。[br][br]
以下是引用liaizhi在2007-8-22 22:13:00的发言:[br]1,l4-5锥间盘膨出,2,l5-s1椎间盘膨出并退变(椎间盘呈真空征);3,血管瘤(椎体骨小梁稀疏粗大)?
| 欢迎光临 医影在线 (http://bbs.radida.com/bbs/) | Powered by Discuz! X3.2 |