医影在线
标题: CT9479:M,56Y,DM病史,咳嗽发热5天.肺脓疡.肺癌? [打印本页]
作者: 江尾海头 时间: 2007-8-23 02:00
标题: CT9479:M,56Y,DM病史,咳嗽发热5天.肺脓疡.肺癌?



















[本贴已被 jiajie 于 2007-8-22 18:14:14 修改过]
作者: 余辉 时间: 2007-8-23 02:12
标题: 1
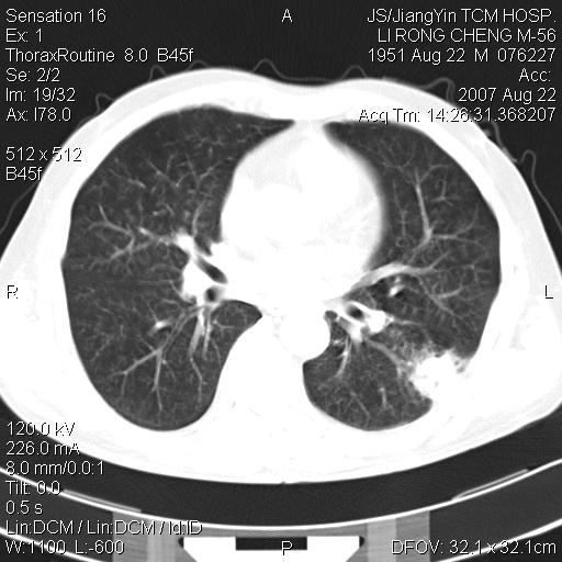
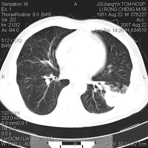
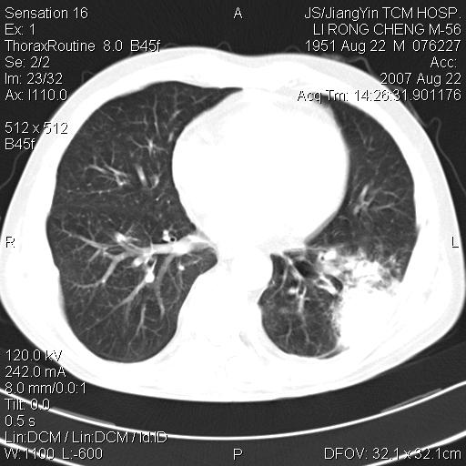
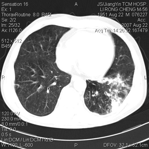
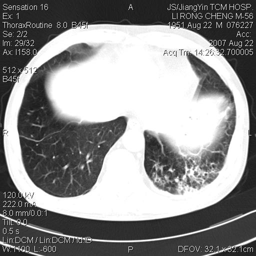
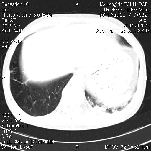
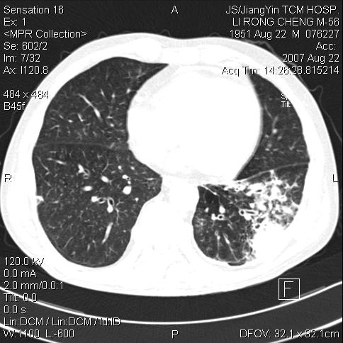
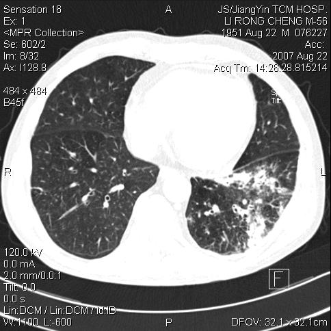
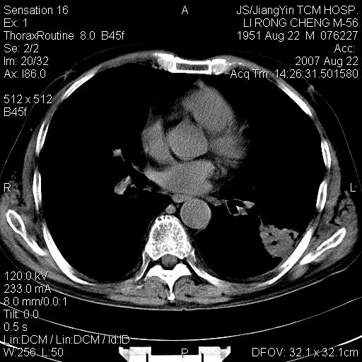
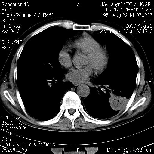
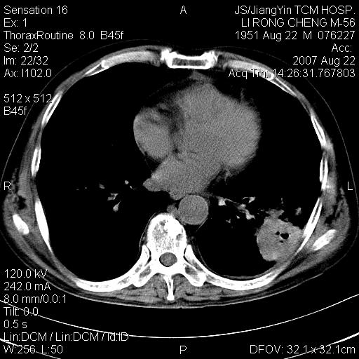
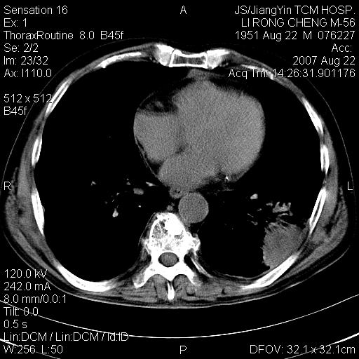
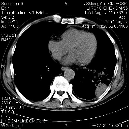
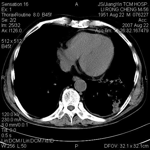
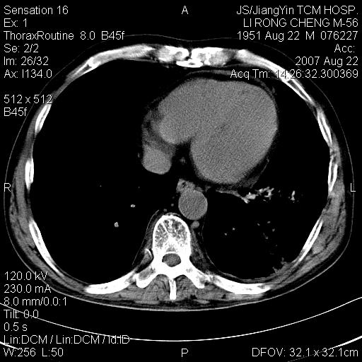
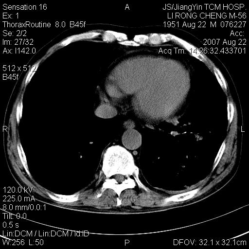
边灶边缘较光整,冠状位病灶呈大片状,,内有空洞,有胸膜反应,但无明显胸膜外侵犯征像,结合病史支持考虑肺肿脓,不排除结核,治疗后复查
好多钙化灶哦,病灶位于下叶背段,或许考虑结核更合适,做下相应检查先
[本贴已被 余辉 于 2007-8-22 18:13:43 修改过]
作者: 天南地北 时间: 2007-8-23 02:17
支持考虑肺肿脓
作者: luochengyi 时间: 2007-8-23 02:49
考虑肺肿脓
作者: 小宝er 时间: 2007-8-23 02:59
周围有支气管扩张影,伴片块状高密度影,有空洞和胸膜增厚,但是肋骨未见明显破坏,考虑炎性病变可能性大。
作者: qiushi 时间: 2007-8-23 03:08
左肺下叶见类软组织密度影,其内密度不均,有小空洞,广基与胸膜相连,其周见斑片状致密影.
考虑肺肿脓,不排除结核.
建议: 1.治疗后复查. 2.ppd试验
作者: liangshusheng 时间: 2007-8-23 03:25
首先考虑肺肿脓
作者: sq7600 时间: 2007-8-23 03:29
考虑肺肿脓,建议治疗后复查
作者: ydx_74 时间: 2007-8-23 04:11
考虑结核,空洞形成,并发支扩
作者: duanhui007 时间: 2007-8-23 04:40
左下肺炎性病变,有支气管扩张,考虑肺结核合并感染。
作者: sdhct 时间: 2007-8-23 04:43
考虑结核病播散!
1:病灶不是实质肿块形态,胸膜脂肪间隙存在!
2:周围有卫星病灶,不象阻塞性肺炎
3:往下间质增厚,播散征象.
作者: ybing 时间: 2007-8-23 04:44
结合临床考虑肺脓肿
作者: liyu111 时间: 2007-8-23 04:51
左肺癌 ,骨转移!
作者: 随缘的人 时间: 2007-8-23 04:53
考虑结核,其次是肺脓肿
作者: 同 时间: 2007-8-23 05:18
考虑肺脓肿
作者: jsgdoctor 时间: 2007-8-23 05:36
标题: 回复:ct9479:m,56y,dm病史,咳嗽发热5天.肺脓疡.肺癌?
以下是引用ydx_74在2007-8-22 20:11:00的发言:[br]考虑结核,空洞形成,并发支扩[br]
作者: 雪山飞狐 时间: 2007-8-23 05:53
考虑肺肿脓,建议治疗后复查
作者: 羊皮 时间: 2007-8-23 05:59
标题: 回复:ct9479:m,56y,dm病史,咳嗽发热5天.肺脓疡.肺癌?
以下是引用ybing在2007-8-22 20:44:00的发言:[br]结合临床考虑肺脓肿
作者: liaizhi 时间: 2007-8-23 06:04
左肺下叶支气管呈小囊状扩张。下叶背段有类圆形高密度影,边缘模糊,外与胸膜相连。左侧胸膜增厚粘连。心包膜增厚。结合病史考虑1支扩并感染2胸膜及心包炎。
作者: ZFXZHF88 时间: 2007-8-23 06:05
左下肺团片状类软组织密度影,形态不规则,边缘欠规整,其内可见液化区及气体影,病灶内侧见引流支气管影,相邻胸膜反应性增厚。病灶周围肺野内见增粗支气管,壁厚,边缘模糊。考虑:支气管扩张并感染;肺脓肿。
作者: zjzjr 时间: 2007-8-23 06:45
左下肺炎症,建议抗炎治疗后复查.
作者: qc80012345 时间: 2007-8-23 06:53
肺结核;肺内感染性变;支气管扩张;胸膜增厚。
作者: zyx168 时间: 2007-8-23 07:30
考虑:1,左下肺脓肿;2,支气管扩张并感染。
作者: 卜一 时间: 2007-8-23 08:23
支持考虑:肺脓肿!
作者: tao772 时间: 2007-8-23 15:32
肺化脓症。抗炎后复查。
作者: yxh68游 时间: 2007-8-23 16:24
考虑结核并支扩建议治疗后复查
作者: jinning 时间: 2007-8-23 16:31
考虑1:肺脓肿,建议积极治疗后复查
2:支扩
作者: jw-830 时间: 2007-8-23 16:50
考虑肺脓肿可能
作者: 心愿 时间: 2007-8-23 16:54
左下肺感染性病变,建议抗炎抗痨治疗后复查.
作者: 黄玉龙 时间: 2007-8-23 17:04
考虑肺脓肿,建议抗炎后复查
作者: shuhuang2007 时间: 2007-8-23 17:36
支持肺脓肿,左下叶见广泛浸润,并见支扩改变。建议治疗后复查。
作者: libinniu 时间: 2007-8-23 18:27
考虑炎性病变,结核可能性大,建议行相关检查
作者: clj20 时间: 2007-8-23 18:41
1\\结核伴支扩
2\\结核支扩肺ca并存
作者: jiangjing 时间: 2007-8-23 18:47
考虑左下肺感染,脓肿形成,左下肺支气管扩张,左侧胸膜增厚。其他待排,治疗复查
作者: 宝天曼 时间: 2007-8-23 21:44
周围有支气管扩张影,伴片块状高密度影,有空洞和胸膜增厚,但是肋骨未见明显破坏,
考虑炎性病变可能性大。
作者: ZHANGZHONGSHOU 时间: 2007-8-23 22:16
标题: 回复:ct9479:m,56y,dm病史,咳嗽发热5天.肺脓疡.肺癌?
以下是引用sq7600在2007-8-22 19:29:00的发言:[br]考虑肺肿脓,建议治疗后复查
另外左下肺支气管扩张
作者: 快乐男生 时间: 2007-8-23 23:55
左肺下叶支扩合并感染,肺脓肿形成
但不除外结核。
作者: xulianj 时间: 2007-8-24 00:55
考虑肺肿脓,不排除结核.
作者: 拾荒者 时间: 2007-8-25 05:17
支持:左下肺感染,脓肿形成,左下肺支气管扩张,左侧胸膜增厚。建议治疗复查,排除其他。
| 欢迎光临 医影在线 (http://bbs.radida.com/bbs/) |
Powered by Discuz! X3.2 |