












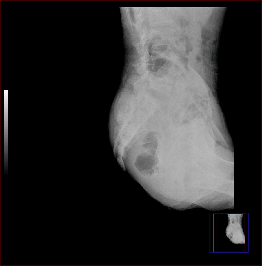
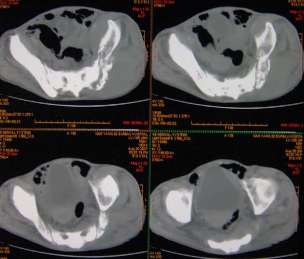
以下是引用ybing在2007-8-22 20:31:00的发言:[br]左侧髂骨溶骨样破坏;软组织肿块形成;其内未见肿瘤骨考虑纤维肉瘤或滑膜肉瘤不除外转移瘤
以下是引用qiushi在2007-8-22 21:39:00的发言:[br]双侧髂骨、骶骨侧快呈溶骨样骨质破坏,边缘模糊,左侧髂骨见骨折线,左侧髂部见软组织块影。考虑骨纤维肉瘤(中央型)伴病理性骨折,不排除骨髓瘤。建议本--周氏蛋白检查。[br] 鉴别点:[br] 骨纤维肉瘤,中央型者示边缘模糊的囊状溶骨破坏,一般无骨膜反映,可膨胀变形,突破骨皮质可形成软组织肿块,或并发病理性骨折。[br] 骨髓瘤,常表现为广泛的骨质疏松,皮质变薄或破坏,呈粟栗状、穿凿状、鼠咬状骨质破坏,边缘清晰,周围无硬化。[br] 骨转移瘤(溶骨型),表现为虫噬样、泡沫状圆形或卵圆形破坏区,很少出现软组织块影。[br][br][本贴已被 qiushi 于 2007-8-23 6:20:19 修改过]
| 欢迎光临 医影在线 (http://bbs.radida.com/bbs/) | Powered by Discuz! X3.2 |