医影在线

标题: DSA0121:脑血管造影 [打印本页]

作者: jiajie    时间: 2007-8-23 05:07
标题: DSA0121:脑血管造影
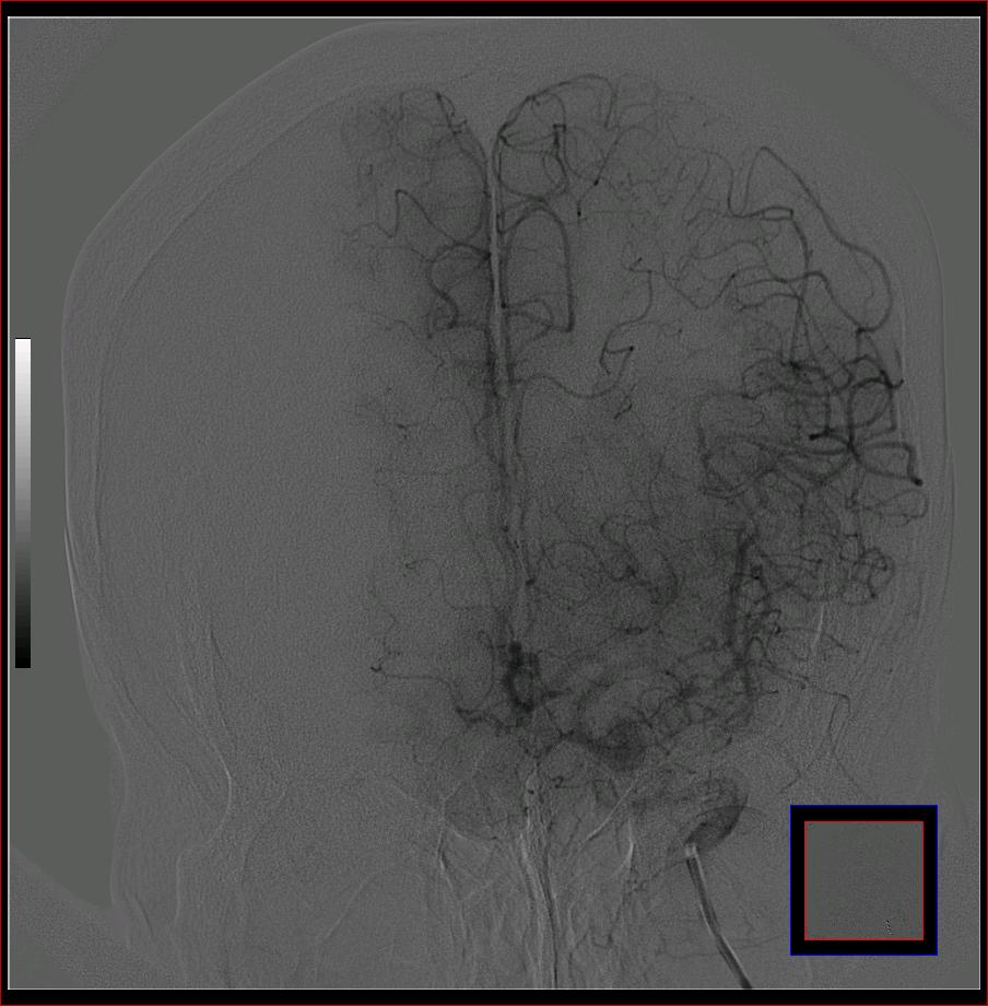
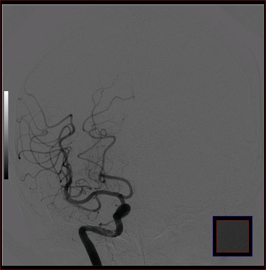
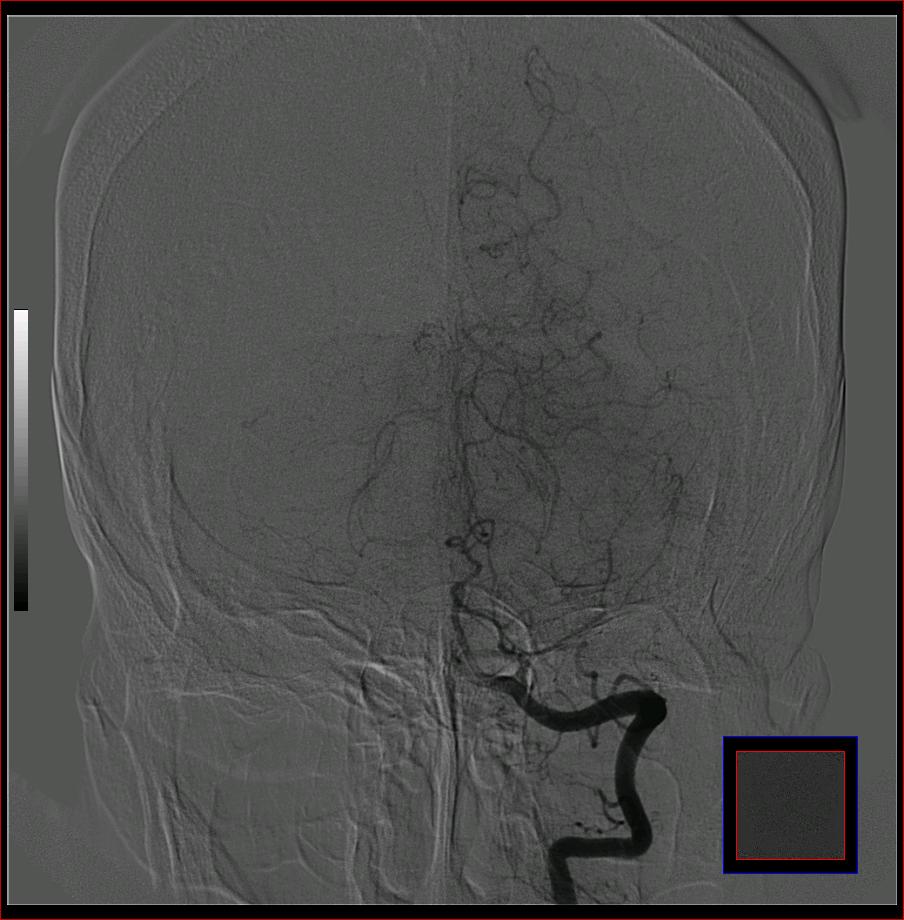
男,65岁,肢体无力。















[本贴已被 jiajie 于 2007-8-22 21:11:11 修改过]

作者: zjzjr    时间: 2007-8-23 06:54
左侧大脑中动脉水平段狭窄.
作者: liupeng760708    时间: 2007-9-5 02:49
请教:大脑中动脉m3与m4如何界定?
作者: jssqcdm    时间: 2007-9-9 00:19
大脑前动脉a2段动脉瘤.
作者: qiuleiyu    时间: 2007-9-12 19:47
右侧大脑前a缺如.左侧大脑中动脉m1段狭窄,远端分支分布稀疏.
作者: wangq    时间: 2007-9-22 23:38
右侧大脑前a缺如.左侧大脑中动脉m1段狭窄
作者: 老丹    时间: 2007-10-1 09:53
前交通或稍远端动脉瘤要仔细查,左大脑中动脉狭窄要鉴别,有可能是痉挛,因为造影导管插得稍深啦。其它就是供血动脉变异较大
作者: lq1985    时间: 2007-10-8 04:26
标题: 回复:dsa0121:脑血管造影
以下是引用qiuleiyu在2007-9-12 11:47:00的发言:[br]右侧大脑前a缺如.左侧大脑中动脉m1段狭窄,远端分支分布稀疏.

学习之!
作者: yangwq    时间: 2007-10-14 17:39
烟雾病




欢迎光临 医影在线 (http://bbs.radida.com/bbs/) Powered by Discuz! X3.2