医影在线
标题: PED0326B:平片漏了的。 [打印本页]
作者: zhangkai 时间: 2007-8-23 15:54
标题: PED0326B:平片漏了的。
ped0326:http://www.radida.com/bbs/forum.php?mod=viewthread&tid=28616
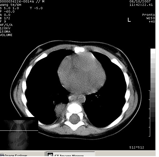
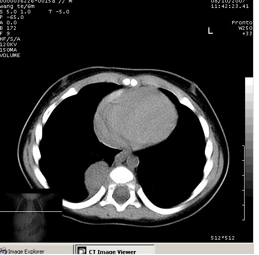
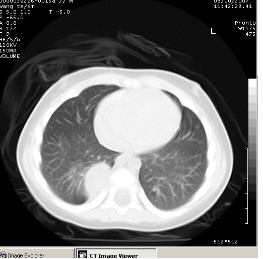
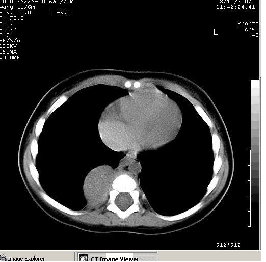
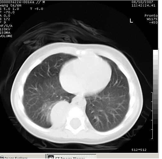
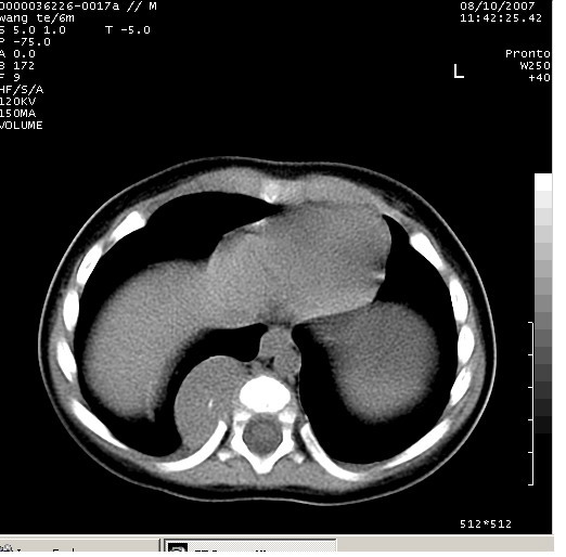
患儿男、6个月,因咳嗽三天曾拍胸片考虑肺部感染,这是在胸片后约一周左右作的ct。







[本贴已被 zhangkai 于 2007-8-23 9:10:20 修改过]
[本贴已被 zhangkai 于 2007-8-23 9:12:22 修改过]
[本贴已被 zhangkai 于 2007-8-23 10:39:30 修改过]
[本贴已被 jiajie 于 2007-8-23 13:02:18 修改过]
作者: zhangkai 时间: 2007-8-23 16:05
平片在ped0326
作者: tao772 时间: 2007-8-23 16:21
后纵隔神经元性肿瘤。
作者: jinning 时间: 2007-8-23 16:25
考虑神经源性肿瘤
作者: 卜一 时间: 2007-8-23 16:26
右下肺纵隔旁软组织密度影,边界清楚,内见点状高密度影。支持考虑:神经源性肿瘤!
作者: jw-830 时间: 2007-8-23 16:27
考虑为神经源性肿瘤可能性大
作者: 心愿 时间: 2007-8-23 16:50
后纵隔神经元性肿瘤可能性大。
作者: jsgdoctor 时间: 2007-8-23 16:53
考虑神经源性肿瘤
作者: 黄玉龙 时间: 2007-8-23 16:55
神经源性肿瘤
作者: ZHANGZHONGSHOU 时间: 2007-8-23 17:07
标题: 回复:平片漏了的。
以下是引用jinning在2007-8-23 8:25:00的发言:[br]考虑神经源性肿瘤
zhichi
作者: kbzyycm 时间: 2007-8-23 17:16
考虑神经源性肿瘤
作者: clj20 时间: 2007-8-23 17:17
神经源性肿瘤
作者: 超儿001 时间: 2007-8-23 17:19
神经源性肿瘤。
作者: shuhuang2007 时间: 2007-8-23 17:23
后纵隔神经源性肿瘤。
作者: liuqiang 时间: 2007-8-23 17:48
考虑神经源性肿瘤
作者: jiangjing 时间: 2007-8-23 18:36
右下肺纵隔旁软组织密度影,宽基底紧贴胸椎与肋骨,边界清楚,内见点状高密度影。支持考虑:神经源性肿瘤!肺隔离症待排
作者: jinguoji 时间: 2007-8-23 19:43
右下肺纵隔旁软组织密度影,边界清楚,考虑神经源性肿瘤。
作者: libinniu 时间: 2007-8-23 19:46
图有点少,但能看出越往下似乎越大,我认为除了考虑神经源性肿瘤,还要考虑膈疝可能
作者: 雪山飞狐 时间: 2007-8-23 19:49
考虑神经源性肿瘤可能性大
作者: zjzjr 时间: 2007-8-23 20:12
考虑神经源性肿瘤
作者: luochengyi 时间: 2007-8-23 20:42
考虑为神经源性肿瘤可能性大
作者: 天南地北 时间: 2007-8-23 21:04
考虑神经源性肿瘤
作者: tch7469 时间: 2007-8-24 00:46
后纵隔占位性病变,考虑为神经源性肿瘤可能性大。
作者: 黑白光影 时间: 2007-8-24 03:10
右下肺纵隔旁边界清楚软组织密度影,内见点状高密度影。考虑:神经源性肿瘤!
作者: 同 时间: 2007-8-24 14:29
多考虑神经源性肿瘤
作者: nanjing 时间: 2007-8-24 16:58
支持考虑:神经源性肿瘤!
作者: liaizhi 时间: 2007-8-24 21:35
考虑神经原性肿瘤。
作者: 22222222 时间: 2007-8-25 04:04
考虑神经源性肿瘤
作者: highsky 时间: 2007-8-25 06:05
神经元性肿瘤可能大
作者: sq7600 时间: 2007-8-25 06:44
神经元性肿瘤可能大
作者: zhangxiangjun 时间: 2007-8-25 18:48
右下肺纵隔旁软组织密度影,宽基底紧贴胸椎与肋骨,边界清楚,内见点状高密度影。支持考虑:神经源性肿瘤!肺隔离症待排
支持``学习拉
作者: 清清楚楚 时间: 2007-8-26 00:30
支持各位战友意见
作者: wangsong7001 时间: 2007-8-26 04:22
同意神经源性肿瘤的诊断,如果患儿一般情况不差的话,神经节细胞瘤可能性要大一些,隔离肺的可能性小,如果考虑叶内型隔离肺,孩子平时感染的机会可能比较多,增强后可排除
作者: 栀子花开了 时间: 2007-8-26 07:16
支持神经源性肿瘤
作者: 陈正林 时间: 2007-8-27 22:13
神经源性肿瘤
作者: gyybzj 时间: 2007-8-28 04:53
典型的神经源性肿瘤
作者: dyqct 时间: 2007-8-28 18:25
支持神经源性肿瘤,有肋骨破坏。
作者: hexue 时间: 2008-5-30 06:05
标题: 回复:ped0326b:平片漏了的。
考虑神经源性肿瘤
作者: 358450m 时间: 2008-7-4 09:56
标题: 回复:ped0326b:平片漏了的。
以下是引用jinning在2007-8-23 8:25:00的发言:[br]考虑神经源性肿瘤
| 欢迎光临 医影在线 (http://bbs.radida.com/bbs/) |
Powered by Discuz! X3.2 |