医影在线

标题: CT9502:肝脏 [打印本页]

作者: 007VIP    时间: 2007-8-25 20:22
标题: CT9502:肝脏
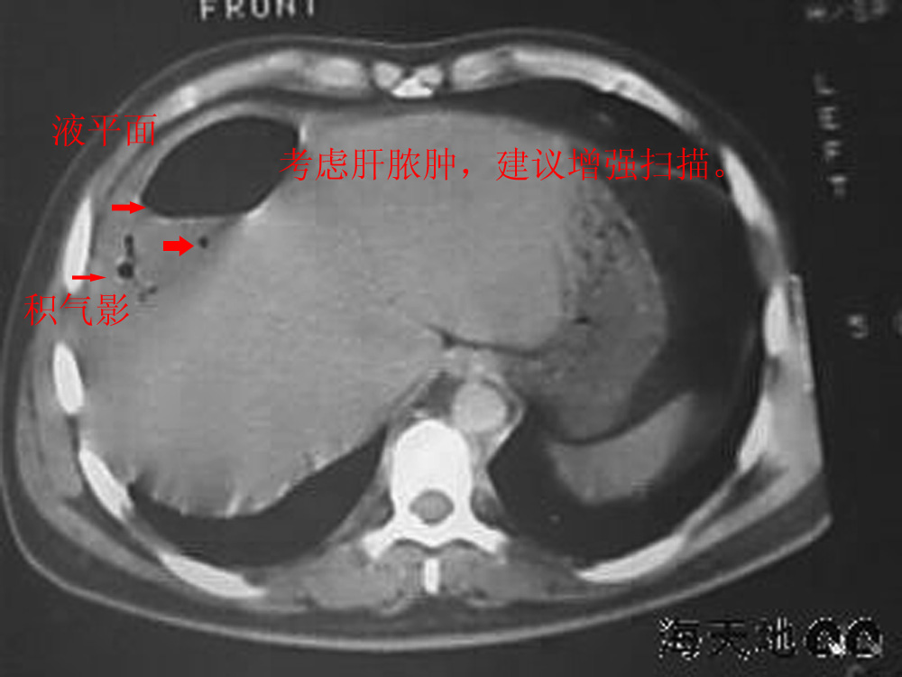
男 32y 外伤后一月余,现 t38.5,肝区隐痛。

















[本贴已被 翁志蓬 于 2007-8-25 23:33:35 修改过]

作者: 天南地北    时间: 2007-8-25 20:50
标题: 回复:肝脏

作者: ZHANGZHONGSHOU    时间: 2007-8-25 21:05
间位结肠待排,建议服造影剂后ct,是否为肝脓肿一目了然。
作者: mzh123    时间: 2007-8-25 21:09
标题: 回复:肝脏
以下是引用zhangzhongshou在2007-8-25 13:05:00的发言:[br]间位结肠待排,建议服造影剂后ct,是否为肝脓肿一目了然。

作者: huhong1111111    时间: 2007-8-25 21:34
应是隔下脓肿
作者: zjzjr    时间: 2007-8-25 22:00
支持膈下脓肿.
作者: yuebin    时间: 2007-8-25 22:36
间位结肠内应有气液平吗?
作者: caoyuanlang    时间: 2007-8-25 22:44
支持膈下脓肿
作者: qiuleiyu    时间: 2007-8-25 23:47
右肝膈顶区液气平面.右膈肌增厚改变,病灶下部层面呈半月形延伸于肝表面.且于横结肠无明确密度切关系.
结合临床症状;考虑膈下脓肿.建议薄层矢状重建进一步证实.
鉴别;1,膈疝;2,间位结肠.
作者: 魏永民    时间: 2007-8-25 23:50
支持膈下脓肿
作者: 清清楚楚    时间: 2007-8-26 00:13
支持膈下脓肿.
作者: liaizhi    时间: 2007-8-26 00:17
右隔肌与肝顶之间隙有长气液平,其下散在点状气体影,右侧腹膜局限增厚。考虑右膈下脓肿。
作者: xulianj    时间: 2007-8-26 01:12
考虑右膈下脓肿。病灶不在肝内,位于肝外膈下;病灶下方的层面无结肠影与之相连。
作者: lizimu    时间: 2007-8-26 02:16
支持膈下脓肿.
作者: 余辉    时间: 2007-8-26 02:21
支持膈下脓肿
作者: 随缘的人    时间: 2007-8-26 03:29
建议增强扫描
作者: zxczxc    时间: 2007-8-26 03:32
考虑为膈下脓肿。
间位结肠诊断不是很支持,
作者: wangjj555    时间: 2007-8-26 03:56
支持隔下脓肿,
作者: sq7600    时间: 2007-8-26 04:01
支持隔下脓肿,
作者: 卜一    时间: 2007-8-26 05:05
支持:膈下脓肿!
作者: jsgdoctor    时间: 2007-8-26 05:11
支持膈下脓肿,间位结肠不象.
作者: shiqingfa    时间: 2007-8-26 05:16
隔下脓肿
作者: ydx_74    时间: 2007-8-26 05:25
支持:膈下脓肿
作者: pingdongying    时间: 2007-8-26 05:39
膈下脓肿,支持
作者: yxfjnchina    时间: 2007-8-26 05:41
病灶在肝脏外部,有液气平面,应该是膈下脓肿!
作者: nanjing    时间: 2007-8-26 05:44
考虑右膈下脓肿。病灶不在肝内,位于肝外膈下;病灶下方的层面无结肠影与之相连。
作者: 快乐的源泉    时间: 2007-8-26 06:06
脓肿不象.间位结肠可能性大!建议强化!
作者: 拾荒者    时间: 2007-8-26 06:08
支持膈下脓肿,间位结肠出现孤立液平面不好解释。
作者: 栀子花开了    时间: 2007-8-26 06:16
支持膈下脓肿
作者: zyx168    时间: 2007-8-26 06:59
支持膈下脓肿
作者: 刘娟    时间: 2007-8-26 07:45
标题: 回复:ct9502:肝脏
以下是引用zyx168在2007-8-25 22:59:00的发言:[br]支持膈下脓肿  [br]   [br]

作者: 宝天曼    时间: 2007-8-26 14:44
支持膈下脓肿.
作者: lushijun    时间: 2007-8-26 14:50
支持膈下脓肿
作者: rongzhangyile    时间: 2007-8-26 16:12
膈下脓肿可能性大
作者: gaoshengjiang    时间: 2007-8-26 17:55
右膈肌增厚,肝膈间见条状低密度影内可见积气影及宽大液平面,并未见与结肠相连。因此考虑膈下脓肿。
作者: qiushi    时间: 2007-8-26 19:09
应是隔下脓肿
作者: qc80012345    时间: 2007-8-26 20:26
支持:膈下脓肿
作者: jinguoji    时间: 2007-8-26 21:15
考虑为膈下脓肿,建议增强扫描。
作者: ZYYZZY    时间: 2007-8-27 07:46
结合临床考虑隔下脓肿
作者: zsl6918    时间: 2007-8-27 16:43
既然大家都说是膈下脓肿那俺也支持!




欢迎光临 医影在线 (http://bbs.radida.com/bbs/) Powered by Discuz! X3.2