医影在线
标题: X176:K) 一例肱骨肿瘤 [打印本页]
作者: ctm 时间: 2005-1-28 03:10
标题: X176:K) 一例肱骨肿瘤
男,11y.

[本贴已被 jiajie 于 2006-6-12 8:55:53 修改过]
作者: 迷徒者 时间: 2005-1-28 03:19
骨纤维结构不良
作者: kjgj 时间: 2005-1-28 03:26
诊断:a瘤样骨囊肿.
依据:骨端,膨胀破坏,边缘硬化,其内粗网状改变.
作者: 黄恩辉 时间: 2005-1-28 03:34
[emb6]瘤样骨囊肿.
作者: 大鹏 时间: 2005-1-28 05:01
a瘤样骨囊肿或骨囊肿.
[em4][emb26]
作者: 海马神医 时间: 2005-1-28 06:15
标题: 回复:一例骨肿瘤
以下是引用kjgj在2005-1-27 19:26:47的发言:[br]诊断:a瘤样骨囊肿.[br] [br] 依据:骨端,膨胀破坏,边缘硬化,其内粗网状改变.
[emb6][emb6]
作者: mzj-329 时间: 2005-1-28 07:14
骨纤[emb6]
作者: jiangjing 时间: 2005-1-28 08:05
考虑:骨纤维异常增殖症,骨囊肿,成骨细胞瘤。
作者: ht19790909 时间: 2005-1-28 21:52
a瘤样骨囊肿[emb6]
作者: 假如 时间: 2005-1-28 21:55
a瘤样骨囊肿:
1.干骺端囊状
2.其内可见密度较高的网格影
作者: guduchunmeng 时间: 2005-1-29 06:28
标题: 回复:x176:一例肱骨肿瘤
以下是引用kjgj在2005-1-27 19:26:47的发言:[br]诊断:a瘤样骨囊肿.[br] [br] 依据:骨端,膨胀破坏,边缘硬化,其内粗网状改变.
作者: wxy7406 时间: 2005-1-29 06:49
动脉瘤样骨囊肿[emb6]
作者: 影子杀手 时间: 2005-1-29 16:38
骨纤
作者: 静轲 时间: 2005-1-29 17:22
膨胀性骨破坏考虑良性骨肿瘤,以动脉瘤样骨囊肿可能
作者: huhong1111111 时间: 2005-1-29 20:07
标题: 回复:x176:一例肱骨肿瘤
以下是引用假如在2005-1-28 13:55:30的发言:[br]a瘤样骨囊肿:[br]1.干骺端囊状[br]2.其内可见密度较高的网格影
作者: jiajie 时间: 2005-1-30 16:16
支持动脉瘤样骨囊肿。
作者: budaowong 时间: 2005-1-31 00:54
骨纤维异常增植症
作者: rlyfanc 时间: 2005-1-31 03:53
偶要求病理结果![emb10]
作者: yxfjnchina 时间: 2005-1-31 04:18
干骺端膨胀性病变明显,有病理骨折,局部有变形,个人认为:骨纤维异常增殖症放在首位,骨囊肿放在第二位好一些
作者: hongbo1025 时间: 2005-1-31 21:52
1.内生骨软骨瘤2.骨纤3.囊肿
作者: 潘建华 时间: 2005-2-2 00:35
骨纤的可能性大
作者: 894072 时间: 2005-2-2 04:36
动脉瘤样骨囊
作者: xmcyyy 时间: 2005-2-3 21:35
[emb6]动脉瘤样骨囊肿。
作者: panjww 时间: 2005-2-3 21:44
动脉瘤样骨囊
作者: 向医生 时间: 2005-2-3 23:22
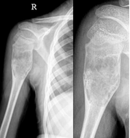
本例显示右肱骨上段干骺端明显膨胀,骨皮质变薄,其内可见不规则网纹状骨性间隔,病灶边缘有轻度硬化,似有骨小梁中断,病变段骨皮质未穿破,无明显软组织肿块及骨膜反应.
意见:右肱骨上段纤维结构不良.
骨纤维结构不良又称骨纤维异常增殖症。是一种以骨纤维异常增殖症变性为特征的骨病。病因至今尚未明了。骨纤维异常增殖症为常见病、多发病。全身骨骼均可发病,多骨型好发于同侧肢体,呈单侧发病的趋势,多骨型受累数目不等。以股骨、胫骨、颌骨三个部位常见。其它部位次之。
骨纤维异常增殖症可分为单骨型和多骨型两种。( 1 )单骨性病变或病变的早期常无症状。但累及股骨上段时,由于负重而引起弯曲畸形、跛行及间歇性疼痛。如病变部位表浅,局部可显示肿胀或硬性肿块,少数病例在发生病理性骨折后被发现。( 2 )多骨性的骨骼病变出现越早,临床症状越明显。形成各种畸形,发现下肢者出现肢体延长、弯曲、缩短、跛行,行走困难及疼痛。
病变位于头颅及颜面骨时,出现头颅及颜面部的不对称性畸形,且逐渐加重,并且出现头疼、眼球受压突出、鼻塞、视神经受压萎缩、听力障碍及颅神经压迫等症状。发生在上肢的病变,病变出现迟而不明显。
( 1 )囊状膨胀的骨纤维异常增殖症:可呈单囊和多囊形。以单囊形多见,表面为边缘硬化而清晰的透光区,骨皮质轻度膨胀变薄,外缘光滑,内缘呈波浪状或较粗糙。透光区内有条状骨纹及斑点状致密影,为本病特征性表现,以长骨及肋骨多见。多囊形病变则表现为圆形或椭圆形透光区,大小不等,与正常骨质分界清楚,有较短的骨嵴致边缘伸向囊腔,呈舌状或梅花瓣状。
( 2 )磨玻璃状的骨纤维异常增殖症:由于纤维组织直接化生为不成熟的骨小梁。表现为正常骨纹消失,髓腔密度如磨玻璃样,髓腔闭塞,其中可见数量不等,程度不同的骨化阴影,呈粗大之条状骨纹和钙化斑点相互交错。此症常见于四肢长骨及肋骨。
作者: wksh 时间: 2005-2-4 02:07
骨母细胞瘤
作者: ctm 时间: 2005-2-4 16:59
标题: 回复:x176:一例肱骨肿瘤
至今未见病理
作者: wangzhenkk 时间: 2005-2-4 23:52
[emb6]动脉瘤样骨囊肿。
作者: 阿秋 时间: 2005-2-5 00:11
我考虑骨纤可能性大
作者: 刘煜 时间: 2005-2-19 16:36
[emb6]瘤样骨囊肿
作者: chongsuzhi 时间: 2005-2-20 04:21
中心型肺膨胀,而非偏心,不太支持动脉瘤样骨囊肿,考虑骨粘液样纤维瘤。
作者: 小宝 时间: 2005-2-20 18:47
右肱骨干骺端见一呈膨胀性生长的透光区,其内可见骨性间隔,放大图像似可见“骨片陷入”征,骨皮质变薄,病变长轴与肱骨一致,病变未突破骺板,多考虑动脉瘤样骨囊肿
鉴别诊断:骨纤维异常增殖症
作者: 黄恩辉 时间: 2005-2-21 02:01
[emb6]瘤样骨囊肿
作者: sbb 时间: 2005-4-30 06:08
a瘤样骨囊肿,骨纤维异常增殖症,骨囊肿象吗?
作者: yzh9939 时间: 2005-5-1 06:36
右肱骨上段膨胀性占位,肿瘤内有紊乱的骨质和“磨玻璃”样肿瘤组织,考虑骨纤维瘤可能性大。[emb25][emb25]
作者: wuyingke 时间: 2005-5-1 20:56
骨纤维异常增生
作者: 大头 时间: 2005-5-6 18:04
骨纤维异常增殖症.[emb6]
作者: aaa1210 时间: 2005-5-7 01:12
肱骨上端膨胀囊状透亮区,呈皂泡样,囊内有骨嵴
初步诊断:动脉瘤样骨囊肿
作者: ctm 时间: 2005-5-7 07:33
动脉瘤样骨囊肿为偏心性膨胀,皮质菲薄,程泡沫状改变。支持骨纤
作者: 大漠孤烟 时间: 2005-6-16 06:59
[emb6]动脉瘤样骨囊肿。
作者: 大漠孤烟 时间: 2005-6-16 07:01
[emb5]骨片最难诊断。
作者: juwen73 时间: 2005-6-17 06:40
向医生分析的已经很明白了,是骨纤无议。
作者: SD黄医生 时间: 2005-6-18 05:33
没病理吗?
作者: CLNIHAOWAN 时间: 2005-6-19 01:00
[emb6]
作者: ctm 时间: 2005-6-19 20:06
病理结果没有追查到,病人认为是骨纤。毛玻璃样改变,皮质菲薄,发生于干骺端,程膨胀性改变。
骨囊肿持点:密度更低,膨胀性不强。
动脉瘤样骨囊肿特点:偏心性膨胀,膨胀性更强,皮质更薄。
作者: jinguoji 时间: 2005-9-29 08:21
a瘤样骨囊肿或骨囊肿[emb18]
作者: fyh 时间: 2005-9-30 04:19
1骨纤维异常增殖征.2骨巨细胞瘤[emb2]
作者: 水晶0267 时间: 2006-1-18 06:06
考虑骨囊肿
作者: 天南地北 时间: 2006-1-18 06:25
考虑骨纤
作者: xcc106 时间: 2006-1-19 02:13
x线表现:右肱骨近骨骺端见有囊状膨胀透亮区,骨皮质明显变薄,其内可见有粗细不一的骨嵴及钙化影,边缘可见硬化缘,外侧似见骨皮质不连续,周围软组织未见明显肿胀。
诊断:右肱骨良性肿瘤或肿瘤样变,考虑内生软骨瘤可能性大。
分析与鉴别:内生软骨瘤可单发也可多发。指骨多见。可与其他部位的内生软骨瘤同时存在。限局性膨胀变形,呈单房或多房破坏,其周围可环以硬化缘,病变区有钙化影。一般来说病变区比骨纤维异常增值症短。
1、骨纤维异常增值症:多为单骨骨纤维异常增值症,也可为多骨骨纤维异常增值症的一部分表现。在单骨骨纤维异常增值症中以下颌骨和肋骨较常见。病变密度主要取决于类骨成分的多少。少数病例可恶变为肉瘤。
2、软骨粘液样纤维瘤。发病部位在骨骺,而不在骨骺端,硬化缘以髓腔多见。
作者: mhdsj 时间: 2006-1-19 03:49
骨纤维结构不良
作者: ty82 时间: 2006-1-26 04:09
首先考虑a瘤样骨囊肿
作者: sxsxs 时间: 2006-1-26 04:30
支持骨纤
作者: zjh196425 时间: 2006-1-27 04:24
x线表现:右肱骨近骨骺端见有囊状膨胀透亮区,骨皮质明显变薄,其内可见有粗细不一的骨嵴及钙化影,边缘可见硬化缘,外侧似见骨皮质不连续,周围软组织未见明显肿胀。
诊断:右肱骨良性肿瘤或肿瘤样变,考虑:1.骨纤维异常增殖征.2动脉瘤样骨囊肿,3.骨巨细胞瘤骨瘤可能性大。
作者: 周杭 时间: 2006-1-27 04:45
54楼兄弟正合我意,只是骨巨细胞瘤可能性不大
作者: 周杭 时间: 2006-1-27 04:47
软骨母细胞瘤也有可能
作者: caihe 时间: 2006-1-27 05:08
标题: 回复:x0176:一例肱骨肿瘤
认为是典型骨纤维异常增生症。
[本贴已被 caihe 于 2006-1-26 21:11:23 修改过]
作者: coldnut 时间: 2006-1-30 21:21
考虑动脉瘤样骨囊肿可能性要大一些,因为患者年龄不大,影像学表现更支持a瘤样骨囊肿
作者: wk8888 时间: 2006-3-19 04:01
骨巨细胞瘤
作者: philip 时间: 2006-3-25 23:56
x线表现:右肱骨近骨骺端见有囊状膨胀骨质破坏,骨皮质明显变薄,其内可见有粗细不一的骨嵴及钙化影,边缘可见硬化缘,外侧似见骨皮质不连续,周围软组织未见明显肿胀。
诊断:右肱骨良性肿瘤或肿瘤样变,考虑:1.骨纤维异常增殖征.2骨囊肿
作者: Bobytin 时间: 2006-3-26 01:19
骨纤可能性大
作者: lipingsan 时间: 2006-3-27 02:51
a瘤样骨囊肿:
作者: 实习医生 时间: 2006-3-27 19:48
a瘤样骨囊肿
作者: liuyongbinking 时间: 2006-3-27 21:07
支持典型骨纤维异常增生症
作者: 郑加民 时间: 2006-3-28 21:17
支持瘤样骨囊肿
作者: shitou2006 时间: 2006-3-28 22:09
a瘤样骨囊肿
作者: Bobytin 时间: 2006-3-28 22:19
骨纤可能性大
作者: 衡医的药丸 时间: 2006-4-4 23:19
支持三楼
作者: china 时间: 2006-6-6 08:09
骨囊肿
作者: yrjw 时间: 2007-8-1 05:48
诊断:a瘤样骨囊肿.
作者: yuhongjun 时间: 2007-8-1 13:47
骨纤维异常增殖症.
作者: adaxupu 时间: 2007-8-2 08:15
学习
作者: jsmctmri 时间: 2007-8-7 17:54
支持骨纤,abc不典型.
作者: qjg1040 时间: 2007-8-9 07:33
是否为内生软骨瘤?
作者: zxczxc 时间: 2007-8-9 17:38
骨纤维异常增殖症。
作者: wy232326 时间: 2007-8-27 20:04
诊断:右肱骨良性肿瘤或肿瘤样变,考虑:1.骨纤维异常增殖征.2动脉瘤样骨囊肿,3.内生软骨瘤可能性大。
作者: glf666 时间: 2007-8-29 04:24
骨纤维异常增殖症。
作者: 保华 时间: 2007-8-29 05:11
考虑:骨纤维异常增殖症,骨囊肿
作者: peijunlong 时间: 2008-6-5 05:48
xfxf结果呢?
作者: yrjw 时间: 2008-6-20 04:49
认为是典型骨纤维异常增生症
作者: ytxman89 时间: 2008-6-23 03:42
考虑abc.好像有骨折征象。
作者: hexue 时间: 2009-8-6 04:22
学习了,谢谢
作者: zhanggenliang 时间: 2009-8-27 06:19
骨纤。动脉瘤样骨囊肿不能除外
作者: wufeisheng 时间: 2009-10-11 00:03
病理?
作者: zhanggenliang 时间: 2009-10-11 08:57
骨纤。学习了。其实此例确是偏心性。仔细看看吧
作者: lqxhl 时间: 2009-10-11 20:11
诊断:a瘤样骨囊肿.
作者: ydx_74 时间: 2011-9-14 21:32
骨纤可能性大
| 欢迎光临 医影在线 (http://bbs.radida.com/bbs/) |
Powered by Discuz! X3.2 |