医影在线

标题: CT9507:男性,28岁,请教一下 [打印本页]

作者: mzh123    时间: 2007-8-26 18:23
标题: CT9507:男性,28岁,请教一下
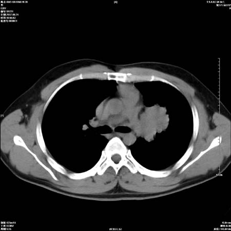
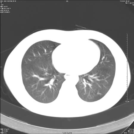
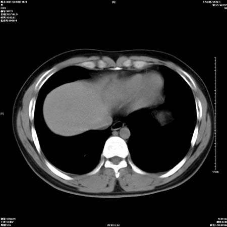
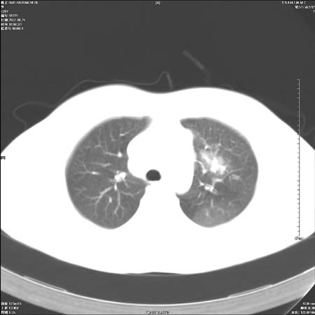
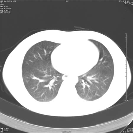
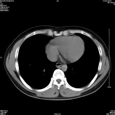
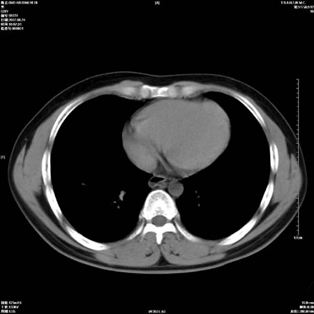
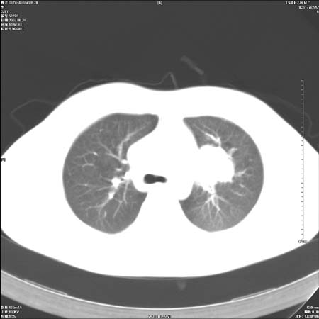
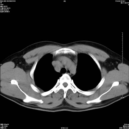
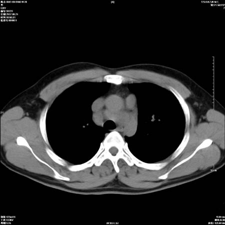
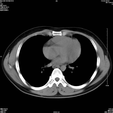
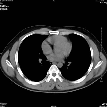
男性,28岁,体检发现左肺病变,患者只有背部隐痛感,哀哉,真不忍心下诊断啊。












































[本贴已被 jiajie 于 2007-8-26 10:39:08 修改过]

作者: yxfjnchina    时间: 2007-8-26 18:32
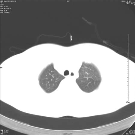
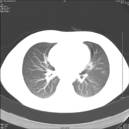
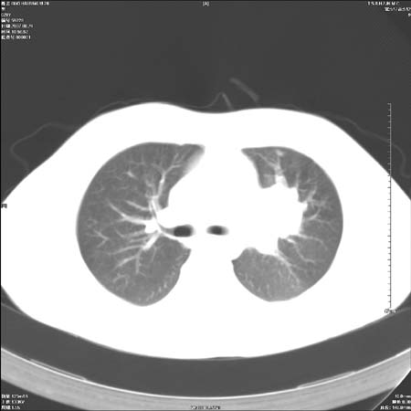
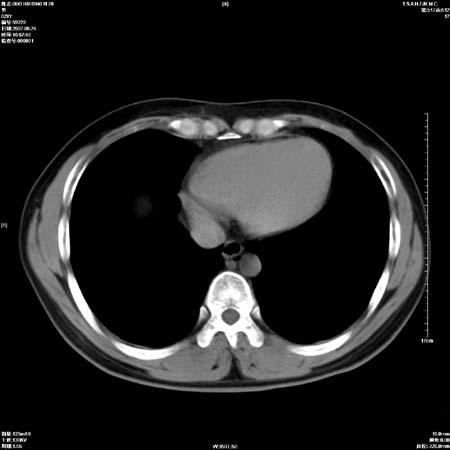
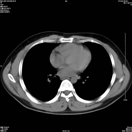
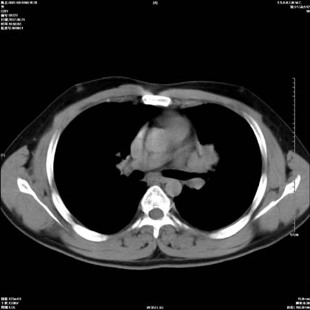
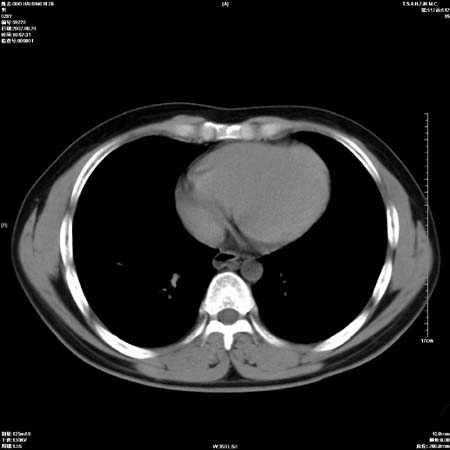
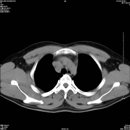
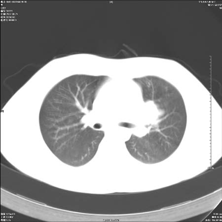
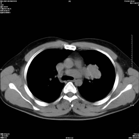
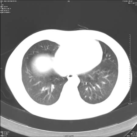
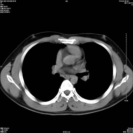
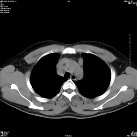
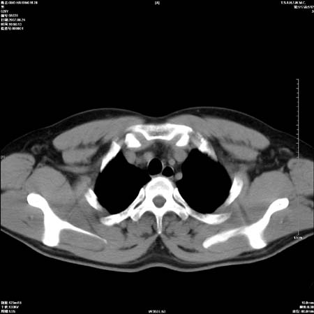
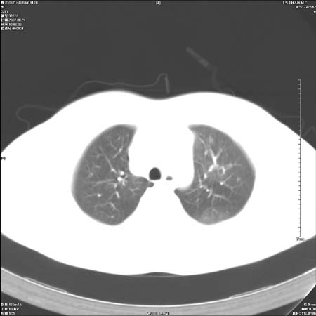
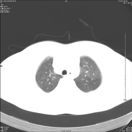
左肺门区软组织肿块,左肺上叶支气管开口消失,纵隔内见肿大淋巴结,考虑左中心型肺部,可以做纤支镜取病理确认.
作者: liuqiang    时间: 2007-8-26 18:34
左侧肺癌纵隔淋巴结转移。太年轻了,可惜。。。。。。。
作者: 天南地北    时间: 2007-8-26 18:46
左肺肺门区肿块影,分叶明显:诊断肺癌应该没有疑问。
我觉得定位中央型还是周围型这个有点难。
首先这个病例应该加薄层面扫描-可以很好显示支气管与肿块的情况。
本例倾向周围型肺癌
鉴别:中央型肺癌-肿块那么明显一般合并节段肺不张或阻塞性炎症。
本例肿块边缘外侧可见左上叶各段支气管。
期待结果。
作者: liaizhi    时间: 2007-8-26 19:33
肺癌可能性大。(有分叶,毛刺)
作者: gaoshengjiang    时间: 2007-8-26 19:36
左肺肺门区肿块影,分叶明显,左肺上叶支气管开口受压,纵隔内见肿大淋巴结,考虑左中心型肺癌。
作者: qc80012345    时间: 2007-8-26 20:23
应该诊断为肺癌。很可惜的年龄啊。
作者: zjzjr    时间: 2007-8-26 20:39
支持左上叶中央型肺癌伴纵隔淋巴结转移.
作者: ZHANGZHONGSHOU    时间: 2007-8-26 20:58
标题: 回复:ct9507:男性,28岁,请教一下
以下是引用zjzjr在2007-8-26 12:39:00的发言:[br]支持左上叶中央型肺癌伴纵隔淋巴结转移.

作者: lgl2007    时间: 2007-8-26 21:44
详细问问其生活环境生活习惯等,看能不能找到这么年轻就致ca的原因。
作者: 南沙    时间: 2007-8-26 21:55
左上叶中央型肺癌伴纵隔淋巴结转移
作者: jinguoji    时间: 2007-8-26 23:09
左上叶中央型肺癌伴纵隔淋巴结转移.
作者: 红樱枪    时间: 2007-8-26 23:52
左肺肺门区肿块影,分叶明显,左肺上叶支气管开口受压,纵隔内见肿大淋巴结,考虑左中心型肺癌。
作者: 清清楚楚    时间: 2007-8-27 00:20
诊断肺癌应该没有疑问。太年轻了,可惜。
作者: xclzq_910    时间: 2007-8-27 00:54
标题: 回复:ct9507:男性,28岁,请教一下
以下是引用lgl2007在2007-8-26 13:44:00的发言:[br]详细问问其生活环境生活习惯等,看能不能找到这么年轻就致ca的原因。


有道理,现在好象年轻人发生肿瘤越来越多了,不知道是检查手段高明了,还是肿瘤发病年龄年轻化了
作者: 栀子花开了    时间: 2007-8-27 01:27
左上叶中央型肺癌伴纵隔淋巴结转移.
作者: jinning    时间: 2007-8-27 01:49
肺癌
作者: 老爱克斯    时间: 2007-8-27 02:24
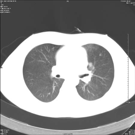
左侧肺门区见一块状病灶可见分叶,纵隔内及左肺门见肿大淋巴结,应该是周围型肺癌而不是中心型肺癌,原因有以下2点,1未见阻塞肺气肿和阻塞性炎症,这么大肿块如果是中心型肺癌就是未分化型或小细胞型肺癌不出现阻塞性肺不张也应该有阻塞炎症或阻塞性肺气肿,2如果是中心型肺癌临床出现最早的症状是咳嗽(此时可无任何异常影象),而此人这么大肿块只有背部隐痛是体检才发现无法解释.
作者: 黑白光影    时间: 2007-8-27 03:38
肿块形态影像支持左上叶中央型肺癌伴纵隔淋巴结转移。
作者: sq7600    时间: 2007-8-27 03:42
支持左上叶中央型肺癌伴纵隔淋巴结转移
作者: 吴瑜    时间: 2007-8-27 03:51
肺癌啊,红颜薄命!!!
作者: 同    时间: 2007-8-27 04:00
支持左肺上叶中央型肺癌伴纵隔淋巴结肿大.
作者: jsgdoctor    时间: 2007-8-27 05:39
考虑周围型肺癌
作者: ydx_74    时间: 2007-8-27 05:51
左侧中心型肺癌纵隔淋巴结转移。我们见一例16岁男孩,已经脑转移了。
作者: 拾荒者    时间: 2007-8-27 05:53
左肺门区分叶状软组织肿块,纵隔内有肿大淋巴结,诊断肺癌应该问题不大。
作者: 随缘的人    时间: 2007-8-27 05:57
支持左上叶中央型肺癌伴纵隔淋巴结转移
作者: chry3    时间: 2007-8-27 06:02
还是支持中央型肺癌
作者: 悟空    时间: 2007-8-27 06:37
直接下肺癌诊断还太早,病灶较大,估计5cm以上,但阻塞性改变及对临近纵隔及支气管侵犯不明显,密度较均匀,弓旁见一单个淋巴结,需要排除炎症性肿块及腺瘤,平滑肌瘤等。
作者: ZYYZZY    时间: 2007-8-27 07:12
肺癌并纵隔淋巴结转移。
作者: 宝天曼    时间: 2007-8-27 14:36
左肺肺门区肿块影,分叶明显,左肺上叶支气管开口受压,纵隔内见肿大淋巴结,考虑左中心型肺癌。
作者: zyx168    时间: 2007-8-27 15:05
左上叶中央型肺癌伴纵隔淋巴结转移.苦命!
作者: zsl6918    时间: 2007-8-27 16:16
左肺中心型肺癌并纵隔淋巴结转移!考虑为小细胞肺癌,没有手术机会了,只能进行放化了,疗效不错,但极易复发。没办法,现在肿瘤年轻化越来越明显了。
作者: xulianj    时间: 2007-8-28 04:09
左上肺癌伴纵隔淋巴结转移.




欢迎光临 医影在线 (http://bbs.radida.com/bbs/) Powered by Discuz! X3.2