医影在线

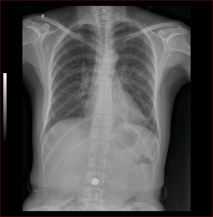
标题: X2653:女,50岁,咳嗽,发热,38度, [打印本页]

作者: jiajie    时间: 2007-8-26 18:49
标题: X2653:女,50岁,咳嗽,发热,38度,


作者: ZHANGZHONGSHOU    时间: 2007-8-26 20:39
左侧中心型肺癌并阻塞性肺炎可能性大,建议ct检查。
作者: luoyanmin    时间: 2007-8-26 22:56
有感染,肺癌不支持,有条件做ct.
作者: shiqingfa    时间: 2007-8-26 23:14
考虑炎症 ,建议抗炎后复查
作者: 清清楚楚    时间: 2007-8-26 23:51
建议ct检查。
作者: 123zhangming    时间: 2007-8-27 00:01
考虑炎症 ,建议抗炎后复查
作者: jinning    时间: 2007-8-27 01:53
考虑炎症 ,建议抗炎后复查
作者: 五阿哥yongqi    时间: 2007-8-27 03:00
标题: 回复:x2653:女,50岁,咳嗽,发热,38度,
以下是引用jinning在2007-8-26 17:53:00的发言:[br]考虑炎症 ,建议抗炎后复查

作者: yuhongjun    时间: 2007-8-27 03:08
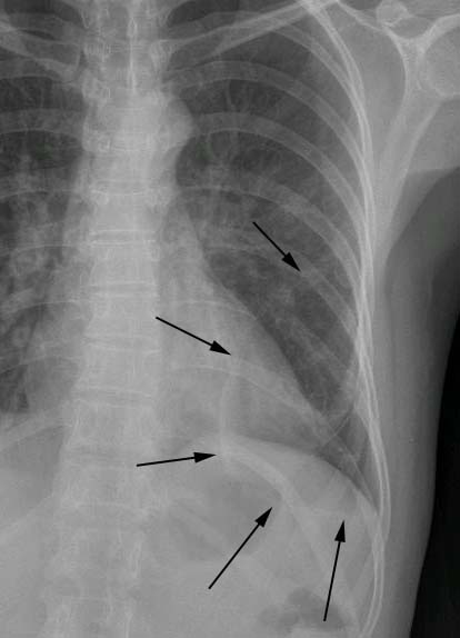
侧位片肺门团块状阴影,考虑左侧中心型肺癌并阻塞性肺炎可能性大,建议ct检查。
作者: liaizhi    时间: 2007-8-27 04:11
左下肺斑片状高密度影,与脊柱重叠,边缘模糊,正位看肺门不大。侧位看似有肿块。考虑炎症。ct待排占位。
作者: jiajie    时间: 2007-8-27 04:41
标题: 回复:x2653:女,50岁,咳嗽,发热,38度,


除有肺部感染,看看箭头所示,病人随后加照左侧位,显示不好,又照了斜位,还有ct.
ct9509:http://www.radida.com/radinet/read.php?tid=28728
作者: bjj12345678    时间: 2007-8-27 04:45
右下肺是不是有囊状影!!??
作者: sensen-hospital    时间: 2007-8-27 06:45
ct
作者: wy232326    时间: 2007-8-27 19:08
肺囊肿并感染?肺隔离症?建议ct
作者: zhangkai    时间: 2007-8-27 19:29
左中、下肺野见斑片状密度增高影,边缘较模糊,左肺门影增大,侧位呈块状。
考虑:1、左肺感染性病变,建议治疗后复查。
      2、左侧占位性病变,建议作ct检查。
作者: shiqingfa    时间: 2007-8-27 20:16
建议ct
作者: 宝天曼    时间: 2007-8-27 21:20
考虑炎症 ,建议抗炎后复查
作者: linc396    时间: 2007-8-28 00:52
支扩并感染?
作者: jiangjing    时间: 2007-8-28 04:28
考虑炎症 ,建议抗炎后复查
作者: luoxinjun    时间: 2007-8-28 04:43
支持zhang老师
作者: gyybzj    时间: 2007-8-28 05:27
支持
左侧中心型肺癌并阻塞性肺炎可能性大,建议ct检查。
作者: wangjj555    时间: 2007-8-28 05:59
支持2楼的意见.
作者: zjzjr    时间: 2007-8-28 07:06
考虑炎症 ,建议抗炎后复查
作者: dyqct    时间: 2007-8-28 17:31
侧位见肺门见分叶状肿块影,建议ct进一步检查。
作者: jinguoji    时间: 2007-11-23 20:56
侧位片肺门团块状阴影,考虑左侧中心型肺癌并阻塞性肺炎可能性大,建议ct检查。
作者: aifeige82    时间: 2007-12-13 05:05
侧位片有提示
作者: shibing    时间: 2013-8-25 14:30
建议ct检查。




欢迎光临 医影在线 (http://bbs.radida.com/bbs/) Powered by Discuz! X3.2