医影在线

标题: CT9509:女,50岁,咳嗽,发热,38度, [打印本页]

作者: jiajie    时间: 2007-8-26 18:55
标题: CT9509:女,50岁,咳嗽,发热,38度,












与x2653同一病人:http://www.radida.com/bbs/forum.php?mod=viewthread&tid=28727





[本贴已被 jiajie 于 2007-8-26 11:00:15 修改过]

作者: liaizhi    时间: 2007-8-26 19:11
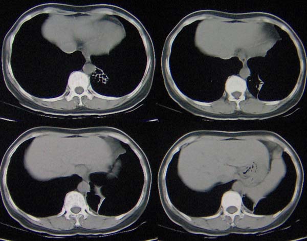
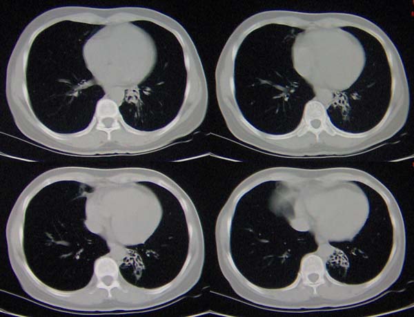
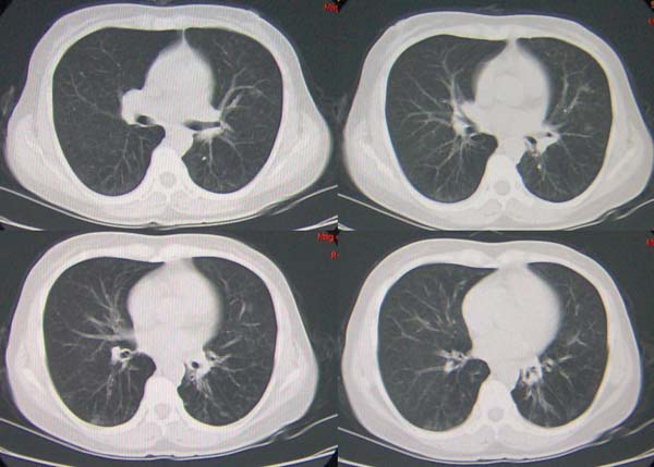
左肺下叶支气管呈囊状扩张。考虑支扩。
作者: gaoshengjiang    时间: 2007-8-26 19:17
左下肺支气管扩张;支气管炎;左下肺纤维条索并局部胸膜肥厚。
作者: jw-830    时间: 2007-8-26 19:40
左下肺支气管扩张;支气管炎;左下肺纤维条索并局部胸膜肥厚。
作者: qc80012345    时间: 2007-8-26 20:13
左下肺支气管扩张;支气管炎;左下肺纤维条索并局部胸膜肥厚
作者: zjzjr    时间: 2007-8-26 20:45
左肺下叶支气管呈囊状扩张。考虑支扩。胸膜肥厚\\粘连,建议增强除外肺隔离症.
作者: zjj328    时间: 2007-8-26 21:04
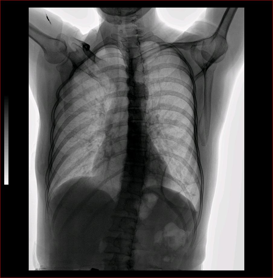
有没有增强ct片啊~~~~~~
作者: 南沙    时间: 2007-8-26 21:59
左下肺支气管扩张
作者: 天南地北    时间: 2007-8-26 22:32
左肺下叶支气管呈囊状扩张。考虑支扩
作者: jinguoji    时间: 2007-8-26 22:50
左肺下叶支气管呈囊状扩张,考虑支扩。
作者: 小初学者    时间: 2007-8-26 23:08
考虑左肺下叶基底段发育不良
作者: 清清楚楚    时间: 2007-8-27 00:25
左肺下叶支气管扩张
作者: xclzq_910    时间: 2007-8-27 00:39
左肺下叶支气管呈囊状扩张。考虑支扩伴感染
作者: 栀子花开了    时间: 2007-8-27 01:19
支持支扩
作者: wangzhanshuang    时间: 2007-8-27 01:43
左肺下叶支气管呈囊状扩张。考虑支扩
作者: jinning    时间: 2007-8-27 01:44
左下肺支气管扩张;支气管炎;左下肺纤维条索并局部胸膜肥厚。
作者: ct-mr311    时间: 2007-8-27 02:55
左下肺支气管扩张;支气管炎;左下肺纤维条索并局部胸膜肥厚。
作者: 黑白光影    时间: 2007-8-27 03:46
左下肺支气管扩张;支气管炎;左下肺纤维条索并局部胸膜肥厚。
作者: sq7600    时间: 2007-8-27 03:59
左下肺支气管扩张
作者: 同    时间: 2007-8-27 04:05
左肺下叶支气管呈囊状扩张,考虑支扩.
作者: 老爱克斯    时间: 2007-8-27 04:13
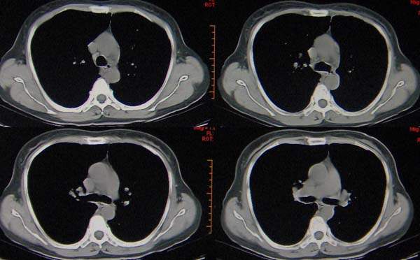
左肺上叶小片状病灶密度底,左下叶见多发小囊状病灶,周围透光增强无纹理,沿左侧膈肌旁见条带状病灶边界清晰,
  1左肺上叶炎症,左下支气管扩张伴感染,肺隔离征待除外,2肺大泡,3左下叶内基底段不张?
作者: zhaochen    时间: 2007-8-27 05:21
左肺下叶支气管呈囊状扩张,考虑支扩.
作者: ydx_74    时间: 2007-8-27 05:29
左肺下叶支气管呈囊状扩张,
作者: 随缘的人    时间: 2007-8-27 05:51
左肺下叶支气管呈囊状扩张。考虑支扩
左下肺纤维条索并局部胸膜肥厚
作者: zhangxiangjun    时间: 2007-8-27 06:06
左下肺支气管扩张;支气管炎;左下肺纤维条索并局部胸膜肥厚
作者: 悟空    时间: 2007-8-27 06:15
肺隔离症伴支扩(肺外型)或肺发育不良。
作者: jsgdoctor    时间: 2007-8-27 06:40
标题: 回复:ct9509:女,50岁,咳嗽,发热,38度,
以下是引用liaizhi在2007-8-26 11:11:00的发言:[br]左肺下叶支气管呈囊状扩张。考虑支扩。

作者: ZYYZZY    时间: 2007-8-27 07:09
左肺上叶舌段炎症,左肺下叶支气管扩张并感染
作者: 宝天曼    时间: 2007-8-27 14:40
左肺下叶支气管呈囊状扩张,考虑支扩
作者: zyx168    时间: 2007-8-27 14:59
1,左肺下叶支气管扩张?
2,肺隔离症?
作者: zsl6918    时间: 2007-8-27 16:34
现有的征象提示左肺支扩并双肺炎症。至于隔离肺可以考虑但缺少证据。
作者: 鬼影    时间: 2007-8-27 18:16
双肺炎症;左下支扩并感染,肺隔离症待排
作者: shiqingfa    时间: 2007-8-27 20:13
左肺下叶支气管呈囊状扩张,考虑支扩。
作者: clj20    时间: 2007-8-27 23:38
两肺炎症;左下支扩;左下肺副叶!
作者: 拾荒者    时间: 2007-8-28 04:23
左肺舌叶及右肺下叶背段斑片状低密度影,左肺下叶内基底段网格状阴影,周围肺野透亮度增高,结合临床咳嗽、发热,38度,无咯血及反复感染病史,考虑双肺炎症,左下肺发育不良。建议抗炎治疗后复查或增强与左下肺隔离症鉴别。
作者: xulianj    时间: 2007-8-28 04:24
支扩
作者: 国王    时间: 2007-8-28 04:28
左肺下叶囊状支扩伴感染




欢迎光临 医影在线 (http://bbs.radida.com/bbs/) Powered by Discuz! X3.2