











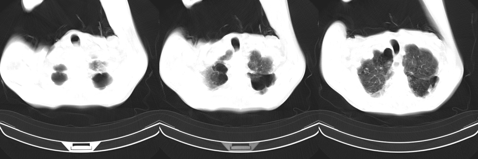
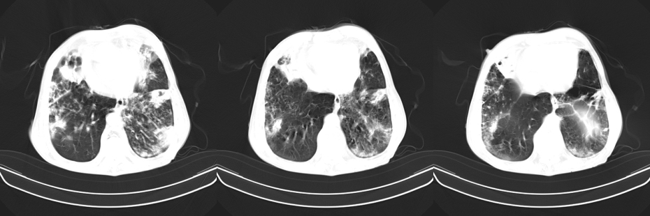
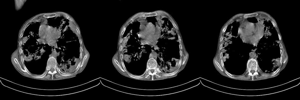
以下是引用mzh123在2007-8-26 19:58:00的发言:[br]两肺弥漫性斑片改变,其中可见大小不等之不规则空洞,结合既往病史还是考虑结核复发及感染。
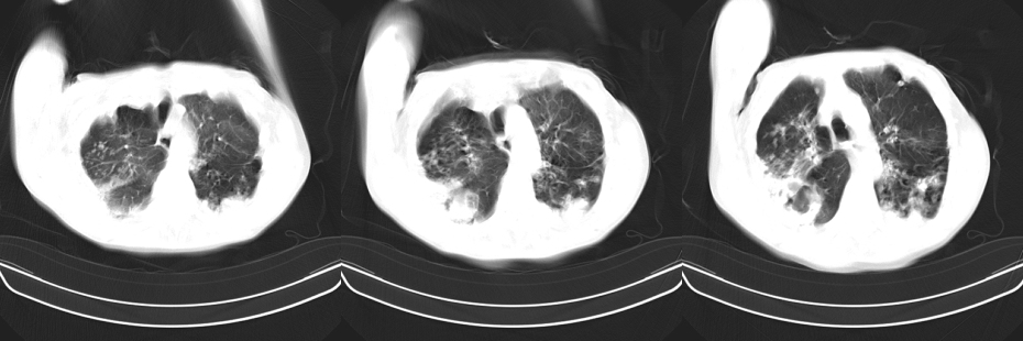
以下是引用mzh123在2007-8-26 19:58:00的发言:[br]两肺弥漫性斑片改变,其中可见大小不等之不规则空洞,结合既往病史还是考虑结核复发及感染。
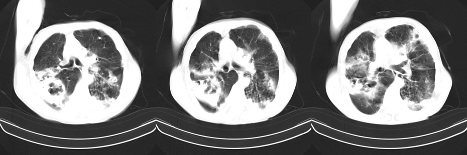
以下是引用mzh123在2007-8-26 19:58:00的发言:[br]两肺弥漫性斑片改变,其中可见大小不等之不规则空洞,结合既往病史还是考虑结核复发及感染。
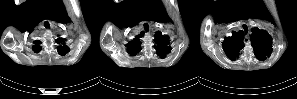
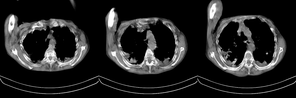
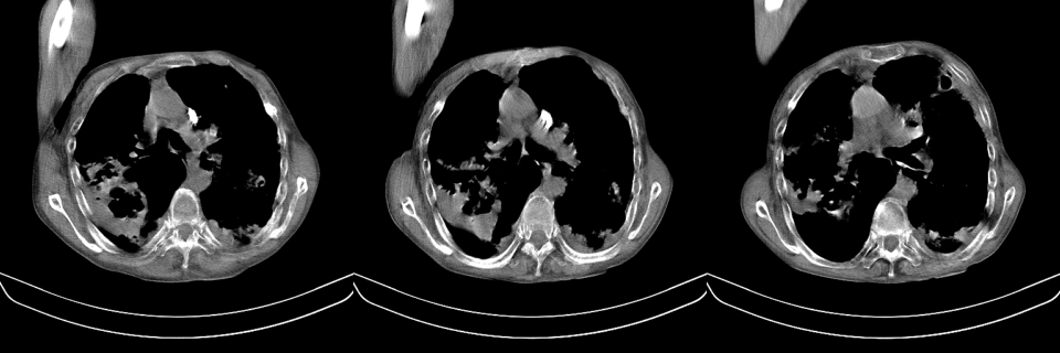
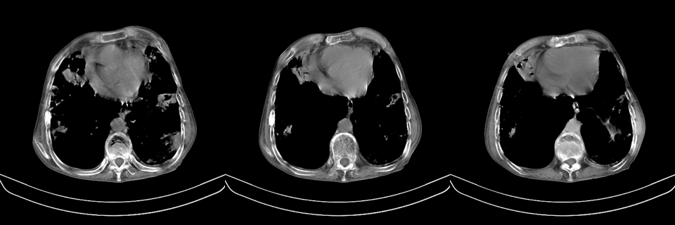
以下是引用云翔在2007-8-26 20:54:00的发言:[br]这是44岁的肺吗?是否有先天病的基础?干酪性肺炎?
| 欢迎光临 医影在线 (http://bbs.radida.com/bbs/) | Powered by Discuz! X3.2 |