医影在线
标题: CT9512:F43Y,是肉芽肿还是胆脂瘤?诊断报告该如何出? [打印本页]
作者: zryfb7719 时间: 2007-8-27 05:09
标题: CT9512:F43Y,是肉芽肿还是胆脂瘤?诊断报告该如何出?












[本贴已被 zryfb7719 于 2007-8-26 21:10:59 修改过]
[本贴已被 jiajie 于 2007-8-26 21:15:58 修改过]
作者: zsl6918 时间: 2007-8-27 05:44
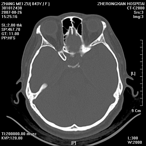
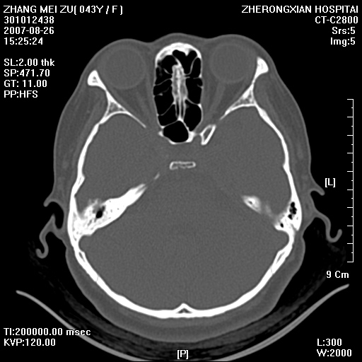
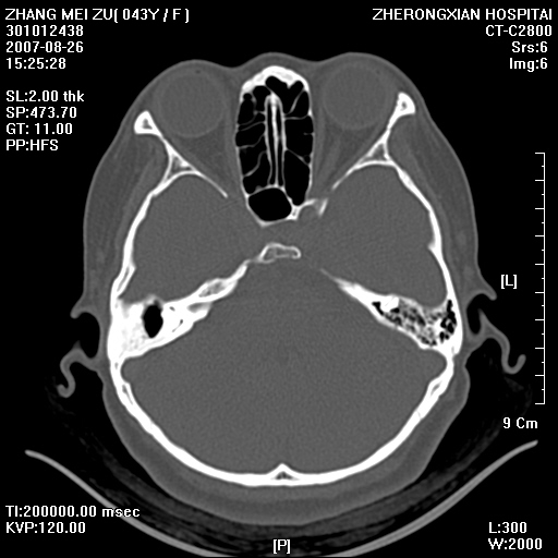
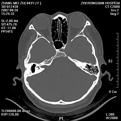
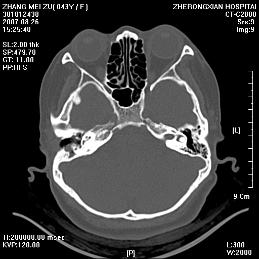
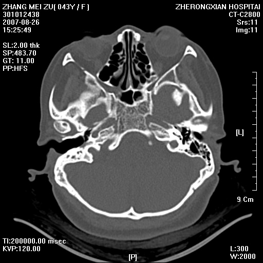
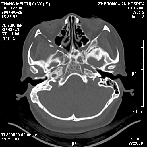
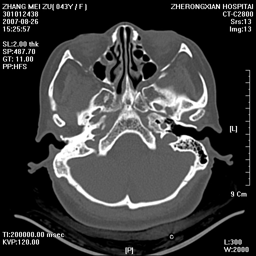
右耳硬化性乳突炎并胆脂瘤形成
作者: 天南地北 时间: 2007-8-27 05:56
标题: 回复:ct9512:f43y,是肉芽肿还是胆脂瘤?诊断报告该如何出?
以下是引用zsl6918在2007-8-26 21:44:00的发言:[br]右耳硬化性乳突炎并胆脂瘤形成
作者: ZYYZZY 时间: 2007-8-27 07:24
右耳硬化性乳突炎并鼓窦入口胆脂瘤形成,左侧乳突炎
作者: 袁张锋 时间: 2007-8-27 07:39
右侧中耳乳突炎,伴鼓窦入口胆脂瘤形成.
作者: 宝天曼 时间: 2007-8-27 14:43
右耳硬化性乳突炎并鼓窦入口胆脂瘤形成,左侧乳突炎
作者: zyx168 时间: 2007-8-27 14:46
1, 右侧中耳乳突炎,伴鼓窦入口胆脂瘤形成.
2,慢性筛窦炎
作者: jinning 时间: 2007-8-27 15:21
右耳硬化性乳突炎并胆脂瘤形成
作者: jsgdoctor 时间: 2007-8-27 16:34
标题: 回复:ct9512:f43y,是肉芽肿还是胆脂瘤?诊断报告该如何出?
以下是引用袁张锋在2007-8-26 23:39:00的发言:[br]右侧中耳乳突炎,伴鼓窦入口胆脂瘤形成.
作者: hanlongjiang 时间: 2007-8-27 17:06
从发病部位及骨质破坏应该考虑是获得性胆脂瘤
作者: lizimu 时间: 2007-8-27 17:17
右耳硬化性乳突炎并胆脂瘤形成
作者: gaoshengjiang 时间: 2007-8-27 17:47
右耳硬化性乳突炎并鼓窦入口胆脂瘤形成,左侧乳突炎.
作者: zjzjr 时间: 2007-8-27 20:40
右侧慢性中耳乳突炎伴胆质瘤形成.左侧乳突炎.
作者: ibucm 时间: 2007-8-27 21:33
标题: 回复:ct9512:f43y,是肉芽肿还是胆脂瘤?诊断报告该如何出?
应该是胆脂瘤,筛窦炎
作者: 快乐男生 时间: 2007-8-28 01:33
右侧硬化性中耳乳突炎伴胆脂瘤形成
作者: zxczxc 时间: 2007-8-28 02:37
右侧硬化型乳突。
胆脂瘤形成。
作者: xulianj 时间: 2007-8-28 04:33
右侧中耳乳突炎,伴鼓窦入口胆脂瘤形成.
作者: 拾荒者 时间: 2007-8-28 04:53
支持右侧中耳乳突炎伴鼓窦入口处胆脂瘤。
作者: 国王 时间: 2007-8-28 04:53
右耳硬化性乳突炎并鼓窦入口胆脂瘤形成
作者: 汪涛同志 时间: 2007-8-28 05:11
典型胆脂瘤,从上鼓室,乳突窦入口到乳突窦有明显光滑的骨质破坏和软组织结节均为胆脂瘤特点.而肉芽肿对骨质的破坏是轻微的.值得关注的是乳突后壁被破坏只剩薄薄的一层,如果再不尽快治疗,胆脂瘤如果突破其后壁即可能形成耳源性脑脓肿了.
| 欢迎光临 医影在线 (http://bbs.radida.com/bbs/) |
Powered by Discuz! X3.2 |