

















以下是引用鬼影在2007-8-27 10:31:00的发言:[br]双肾血管平滑肌脂肪瘤可能性大。
以下是引用zjzjr在2007-8-27 13:07:00的发言:[br]支持双肾多发错构瘤.腹腔及腹膜后多发淋巴结钙化.
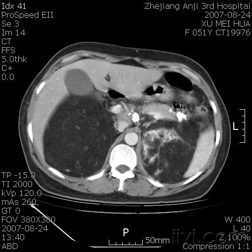
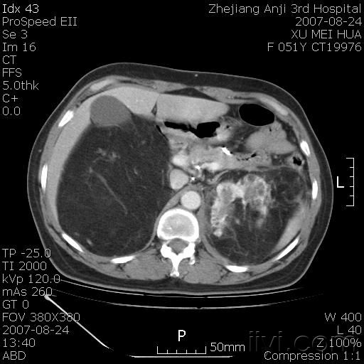
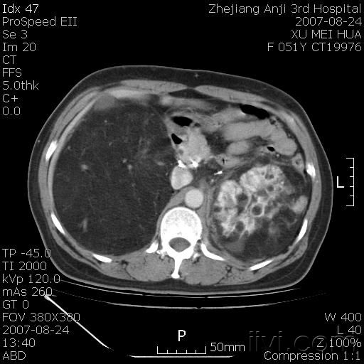
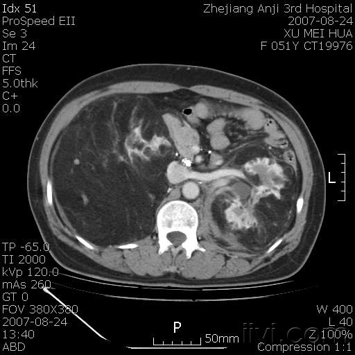
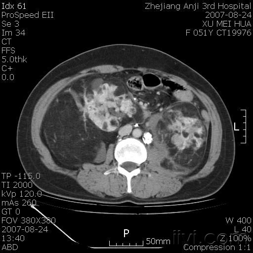
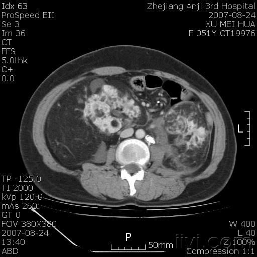
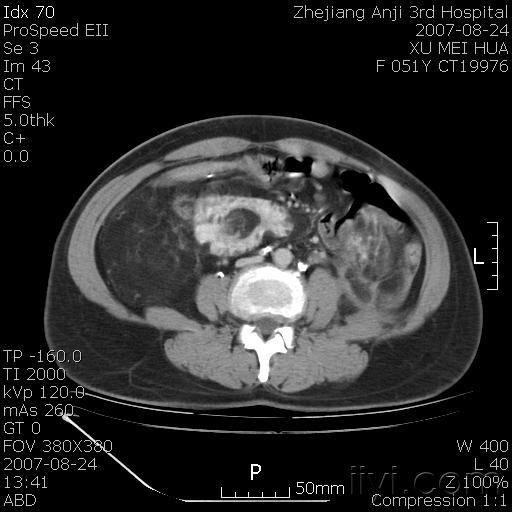
以下是引用还珠格格在2007-8-27 10:19:00的发言:[br]双侧肾脏形态失常,可见巨大的以低密度脂肪为主的混合性肿块,占据中下腹,残留的肾组织轻度强化,增强后肿块内实质部分呈峰窝状强化,低密度区无强化。另左侧肾盂轻度积水。根据病史 考虑 双肾血管平滑肌脂肪瘤可能性大。[br] 鉴别诊断 1、脂肪瘤,境界清楚,肿块内完全是脂肪,几乎没有软组织成分; 2、畸胎瘤:罕见,除有软组织成分外,另一特征是有钙化或骨化影组织。
以下是引用jiangjing在2007-8-27 20:08:00的发言:[br]双肾血管平滑肌脂肪瘤可能性大。
以下是引用还珠格格在2007-8-27 10:19:00的发言:[br]双侧肾脏形态失常,可见巨大的以低密度脂肪为主的混合性肿块,占据中下腹,残留的肾组织轻度强化,增强后肿块内实质部分呈峰窝状强化,低密度区无强化。另左侧肾盂轻度积水。根据病史 考虑 双肾血管平滑肌脂肪瘤可能性大。[br] 鉴别诊断 1、脂肪瘤,境界清楚,肿块内完全是脂肪,几乎没有软组织成分; 2、畸胎瘤:罕见,除有软组织成分外,另一特征是有钙化或骨化影组织。
| 欢迎光临 医影在线 (http://bbs.radida.com/bbs/) | Powered by Discuz! X3.2 |