




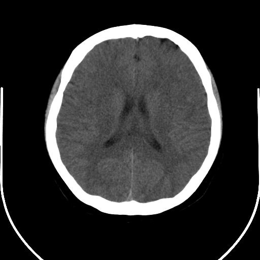
以下是引用mlxq3086在2007-8-27 13:35:00的发言:[br]单凭平扫无法诊断,请结合增强了解!
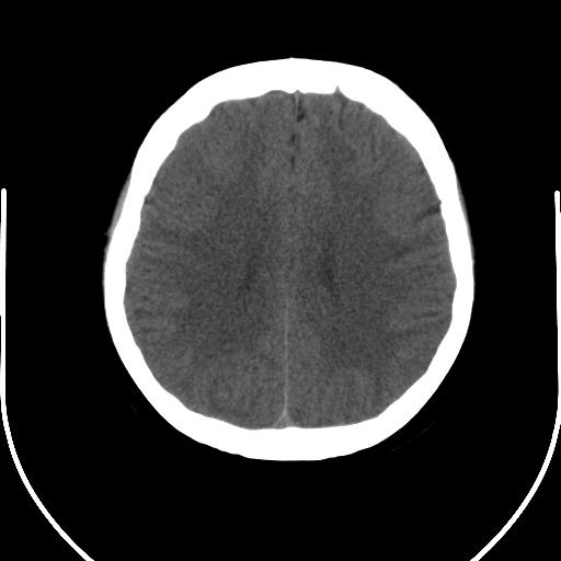
以下是引用mlxq3086在2007-8-27 13:35:00的发言:[br]单凭平扫无法诊断,请结合增强了解!
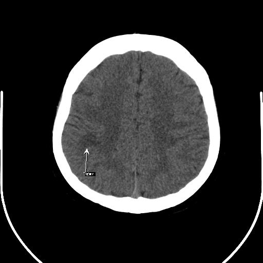
以下是引用mlxq3086在2007-8-27 13:35:00的发言:[br]单凭平扫无法诊断,请结合增强了解!
以下是引用mlxq3086在2007-8-27 13:35:00的发言:[br]单凭平扫无法诊断,请结合增强了解!
以下是引用mlxq3086在2007-8-27 13:35:00的发言:[br]单凭平扫无法诊断,请结合增强了解!
以下是引用mlxq3086在2007-8-27 13:35:00的发言:[br]单凭平扫无法诊断,请结合增强了解!
| 欢迎光临 医影在线 (http://bbs.radida.com/bbs/) | Powered by Discuz! X3.2 |